Biopsja węzłów chłonnych - cel biopsji, przebieg, wynik

Biopsja węzłów chłonnych polega na pobraniu niewielkiego ich wycinka w celu przeprowadzenia na nim badania pod mikroskopem. Węzły chłonne są niewielkimi gruczołami produkującymi białe krwinki (limfocyty). W przypadku raka może dojść do jego przerzutów do węzłów chłonnych.

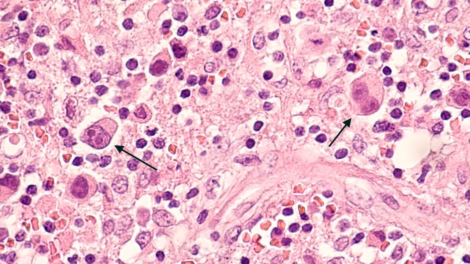
Obraz mikroskopowy węzła chłonnego u pacjenta z chorobą Hodgkina (chłoniaka), przedstawiający dwie komórki Reeda Sternberga w tym samym polu.Obraz mikroskopowy węzła chłonnego u pacjenta z chorobą Hodgkina (chłoniaka), przedstawiający dwie komórki Reeda Sternberga w tym samym polu.
Źródło zdjęć: © AdobeStock

Cel biopsji węzłów chłonnych

Wskazaniem do biopsji są powiększone węzły chłonne oraz ich obecność na obrazie tomografii komputerowej lub rezonansu magnetycznego. Badanie można wykonać także w celu wykrycia przyczyny takich objawów, jak: ciągła gorączka, poty nocne, spadek wagi. Biopsja węzłów chłonnych ma zastosowanie w diagnostyce raka oraz infekcji. Należy wykonać ją przy potwierdzonej obecności komórek nowotworowych w organizmie, w celu wykrycia ewentualnych przerzutów, szczególnie u osób cierpiących na raka piersi lub czerniaka.

Przebieg biopsji węzłów chłonnych

Przed biopsją węzłów chłonnych należy poinformować osobę przeprowadzającą badanie o:

  • ciąży lub o jej podejrzeniu;
  • uczuleniu na leki, szczególnie na środki znieczulające;
  • skłonności do krwawień (skazie krwotocznej);
  • uczuleniu na lateks;
  • przyjmowanych lekach, w tym również suplementach diety i lekach bez recepty.

Jak zapobiec zachorowaniu na raka?

Bezpośrednio przed biopsją nie powinno się jeść ani pić. Lekarz może także poprosić pacjenta o odstawienie leków rozrzedzających krew na 5 - 7 dni przed zabiegiem.

Wykonywane są także badania poprzedzające, do których zaliczamy badanie krwi oraz RTG.

Jest wiele sposobów przeprowadzania biopsji. Możemy wyróżnić tutaj rdzeniową igłową, cienkoigłową aspiracyjną oraz tzw. otwartą (biopsja chirurgiczna). Podczas biopsji igłowej pacjent ułożony jest w pozycji leżącej, a osoba przeprowadzająca badanie przemywa przygotowane miejsce i podaje znieczulenie miejscowe. Następnie za pomocą igły przekłuwa się do węzła, z którego pobierana jest próbka.

Biopsja cienkoigłowa zajmuje około 10 minut, jednak często nie zapewnia wystarczającej ilości komórek do badania na raka. Czasami wykonuje się ją podczas całkowitego lub częściowego usunięcia węzła chłonnego w czasie operacji, tzw. otwarta biopsja. Jeżeli wycięciu ulega więcej niż jeden węzeł chłonny, zabieg ten nazywany jest „sekcją” węzłów chłonnych. W otwartej biopsji uzyskuje się dużo większy materiał biologiczny do badań niż w przypadku biopsji igłowej.

Najczęstszym skutkiem ubocznym biopsji węzłów chłonnych jest krwawienie. Znacznie rzadziej dochodzi do infekcji lub uszkodzenia nerwu.

Wyniki biopsji węzła chłonnego

Jeśli w jednym węźle chłonnym nie wykryto komórek rakowych, najprawdopodobniej nie ma ich także w węzłach sąsiadujących. Nieprawidłowe wyniki mogą wskazywać na wiele różnych chorób, zarówno łagodnych, jak i poważnych. Przyczyną powiększenia węzłów chłonnych może być między innymi:

Nowotwory często prowadzą do przerzutów do węzłów chłonnych. Biopsja pozwala na ich wykrycie i dobranie sposobu leczenia odpowiedniego dla danego stadium raka.

Źródła

  1. Rozpoznawanie gruźlicy
  2. Brydges G, Handbook of Diagnostic Tests, 3rd ed. 2003, Philadelphia: Lippincott Williams and Wilkins.
  3. Antczak A. Wielka interna - pulmonologia, Medical Tribune Polska, Warszawa 2010, ISBN 978-83-60135-76-1
  4. Szczeklik A. (red.), Choroby wewnętrzne, Medycyna Praktyczna, Kraków 2011, ISBN 978-83-7430-289-0

Treści w naszych serwisach służą celom informacyjno-edukacyjnym i nie zastępują konsultacji lekarskiej. Przed podjęciem decyzji zdrowotnych skonsultuj się ze specjalistą.

Wybrane dla Ciebie
Choroba, która zabiła Beethovena. Analiza DNA ujawniła niespodziewanego winowajcę
Choroba, która zabiła Beethovena. Analiza DNA ujawniła niespodziewanego winowajcę
Długie siedzenie szkodzi naczyniom. Zimowy napój pomaga w zapobieganiu zmianom
Długie siedzenie szkodzi naczyniom. Zimowy napój pomaga w zapobieganiu zmianom
Rak coraz częściej staje się chorobą przewlekłą. To sukces medycyny, ale też wyzwania dla systemu
Rak coraz częściej staje się chorobą przewlekłą. To sukces medycyny, ale też wyzwania dla systemu
Błagała o cesarskie cięcie. Dziś jej synek jest niepełnosprawny, a rodzice walczą o sprawiedliwość
Błagała o cesarskie cięcie. Dziś jej synek jest niepełnosprawny, a rodzice walczą o sprawiedliwość
Chudną przez Ozempic. Potem pojawiają się skutki uboczne. Specjaliści apelują ws. oznaczeń
Chudną przez Ozempic. Potem pojawiają się skutki uboczne. Specjaliści apelują ws. oznaczeń
Zwiększa ryzyko nowotworów. Wpływa na procesy zapalne i uszkadza DNA komórek
Zwiększa ryzyko nowotworów. Wpływa na procesy zapalne i uszkadza DNA komórek
Szpital w Bielsku-Białej zamknięty. W maju doszło tam do tragedii
Szpital w Bielsku-Białej zamknięty. W maju doszło tam do tragedii
Król Karol III apeluje, by badać się pod kątem chorób nowotworowych. Sam zmaga się z rakiem
Król Karol III apeluje, by badać się pod kątem chorób nowotworowych. Sam zmaga się z rakiem
Unikaj w czasie infekcji. Nasilają objawy choroby i spowalniają powrót do zdrowia
Unikaj w czasie infekcji. Nasilają objawy choroby i spowalniają powrót do zdrowia
Otwierasz oczy, zanim zadzwoni poranny alarm? To dlatego ciało czasem wyprzedza budzik
Otwierasz oczy, zanim zadzwoni poranny alarm? To dlatego ciało czasem wyprzedza budzik
Więcej pieniędzy, ale rosnąca dziura w budżecie NFZ. Mija dwa lata rządu Donalda Tuska
Więcej pieniędzy, ale rosnąca dziura w budżecie NFZ. Mija dwa lata rządu Donalda Tuska
Nowy pasożyt w Polsce. Przybył z Ameryki, a szkodzić może nie tylko przyrodzie
Nowy pasożyt w Polsce. Przybył z Ameryki, a szkodzić może nie tylko przyrodzie