Choroby serca (prezentacja edukacyjna)

Jak pracuje serce?

Serce, jak każdy inny mięsień, wymaga stałej dostawy krwi, tlenu i składników odżywczych by mogło właściwie funkcjonować. Bije około 100 000 razy dziennie, pompując krew rozprowadzającą tlen i substancje odżywcze do tkanek. Krew również transportuje dwutlenek węgla – produkt uboczny pracy organizmu. Bez tego całego procesu nasze ciało nie byłoby w stanie utrzymać się przy życiu.

Obraz
Źródło zdjęć: © Vintage Collective, lic. CC BY 2.0

/ 15Choroby serca - co to jest?

Obraz
© Rennett Stowe, lic. CC BY 2.0

Co to jest choroba serca?

Choroba serca (choroba niedokrwienna serca, miażdżyca) pojawia się, gdy cholesterol, tłuszcze i wapń odkładają się w tętnicach. Kiedy dochodzi do tego zjawiska, tętnice, przez które dostarczane są krew, a wraz z nią tlen i substancje odżywcze do serca, zwężają się bądź nawet zatykają, co z kolei powoduje ograniczenie dostaw niezbędnego do funkcjonowania tlenu. W tym momencie może pojawić się ból w klatce piersiowej, zwany też dławicą piersiową.

/ 15Choroby serca - zawał

Obraz
© Euthman, lic. CC BY 2.0

Choroby serca a zawał

W momencie, gdy następuje zwężenie tętnic (odkłada się w nich cholesterol), a skrzep krwi w tętnicy wieńcowej zupełnie zatyka ją, uniemożliwiając dostawę krwi i tlenu do mięśnia sercowego, następuje zawał serca, co w najgorszym wypadku prowadzi do zgonu.

/ 15Choroby serca - śmiertelność

Obraz
© richardmasoner, lic. CC BY-SA 2.0

Choroby serca – numer jeden wśród zabójców

Schorzenie to dotyka około 14 milionów mężczyzn i kobiet w samych tylko Stanach Zjednoczonych. Wskaźnik śmiertelności jest także równie duży.

/ 15Choroby serca - czynniki ryzyka

Obraz
© ar&m, lic. CC BY-ND 2.0

Czynniki ryzyka chorób serca:

Najpowszechniejszymi czynnikami ryzyka są:
– palenie papierosów,
– nadciśnienie,
– wysoki poziom cholesterolu,
– cukrzyca,
– choroby serca u krewnych,
– otyłość.

/ 15Choroby serca - styl życia

Obraz
© avlxyz, lic. CC BY-SA 2.0

Źródła chorób serca wynikające ze stylu życia

Do choroby serca może się przyczynić nasz tryb życia, jak np.:
– brak ćwiczeń fizycznych,
– dieta wysokotłuszczowa,
– stres,
– cechy osobowości: agresja, brak cierpliwości, skłonność do nieustannej rywalizacji.

/ 15Choroby serca - nagły zgon sercowy

Obraz
© mark sebastian, lic. CC BY-SA 2.0

Nagły zgon sercowy jako konsekwencja chorób serca

Objawy chorób serca są różne. Jedni doświadczają duszności, braku tchu czy bólu w klatce piersiowej i udaje im się dotrzeć do szpitala w porę. Inni nie mają tyle szczęścia. Nagłe zatrzymanie akcji serca może być pierwszym i śmiertelnym objawem choroby.

/ 15Choroby serca - objawy

Obraz
© erix!, lic. CC BY 2.0

Objawy chorób serca

Symptomy choroby serca zwykle pojawiają się podczas wysiłku fizycznego, gdyż wówczas serce wymaga zwiększonej dawki tlenu i substancji odżywczych, którym organizm nie jest w stanie sprostać z powodu zatkanych tętnic. Nadchodzący atak serca znamionują:
– bóle serca (bóle w klarce piersiowej),
– bezdech, duszność,
– ból szczęki,
– ból pleców, szczególnie po lewej stronie.

/ 15Choroby serca - objawy

Obraz
© Claus Rebler, lic. CC BY-SA 2.0

Jakie są inne symptomy choroby serca?

Inne objawy choroby serca to:
– zawroty głowy,
– osłabienie w stanie spoczynku,
– nieregularny rytm serca,
– nudności,
– ból brzucha,
– złe samopoczucie,
– zmęczenie.

/ 15Choroby serca - echo serca

Obraz
© rosmary, lic. CC BY 2.0

Co to jest echokardiografia?

Echokardiografia jest to obrazowa metoda badania serca i naczyń krwionośnych za pomocą ultradźwięków. Badanie to umożliwia w sposób nieinwazyjny ocenę pracy serca. Pokazuje ruch mięśnia sercowego i zastawek wewnątrzsercowych, a także przepływ krwi w obrębie przedsionków i komór serca.

10 / 15Choroby serca - tomografia

Obraz
© robinvanmourik, lic. CC BY-SA 2.0

Tomografia komputerowa w diagnostyce chorób serca

Tomografia komputerowa pozwala uzyskać szczegółowy obraz naczyń krwionośnych, by móc stwierdzić, czy są one zwężone. Badanie to wykonuje się w celu wykluczenia choroby serca.

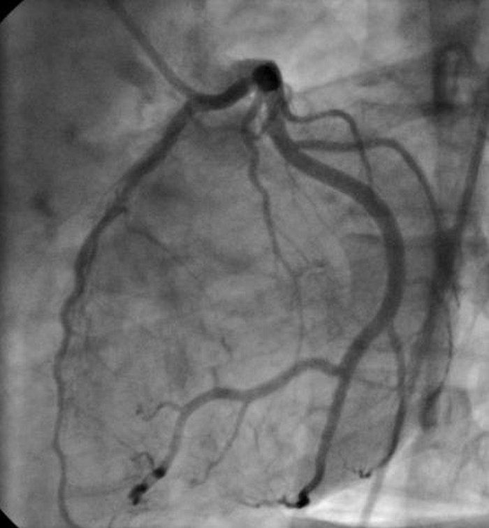
11 / 15Choroby serca - koronarografia

Obraz
© cath lab, lic. CC BY 3.0

Koronarografia

Koronarografia jest to badanie naczyń wieńcowych cewnikiem wprowadzonym przez tętnicę udową. Następnie dodawany jest kontrast umożliwiający uwidocznienie tętnic za pomocą promieniowania rentgenowskiego. Obrazy z angiografii dokładnie wskazują zakres i ciężkość wszelkich zatorów tętnic wieńcowych.

12 / 15Choroby serca - metody leczenia

Obraz
© tjmwatson, lic. CC BY 2.0

Metody leczenia chorób serca

Nie istnieje jedna uniwersalna metoda leczenia chorób serca, która byłaby dobra dla wszystkich. W terapii tej dolegliwości niezbędne jest wieloaspektowe podejście, tzn.: zmiana diety i stylu życia, ćwiczenia oraz leki farmakologiczne. Leczenie musi być dopasowane do potrzeb pacjenta oraz jego indywidualnego przypadku.

13 / 15Choroby serca - leki

Obraz
© michaeln3, lic. CC BY-SA 2.0

Powszechnie stosowane leki:

– beta-blokery (beta-adrenolityki), które zmniejszają częstość akcji serca i ciśnienie krwi,
– nitrogliceryna, która rozszerza naczynia wieńcowe, co ułatwia przepływ krwi,
– blokery kanału wapniowego (antagoniści wapnia), które pomogają spowolnić pracę serca, dzięki czemu bije ono bardziej efektywnie,
– inhibitory ACE (inhibitory konwertazy angiotensyny II), które rozszerzają naczynia krwionośne, aby zwiększyć przepływ krwi, i łagodzą nacisk na serce,
– statyny, które zmniejszają ilość lipidów (zawartych w cholesterolu) we krwi, w celu zmniejszenia prawdopodobieństwa kształtowania się zatorów w tętnicy.

14 / 15Choroby serca - leczenie

Obraz
© expertinfantry, lic. CC BY 2.0

Zabiegi wykorzystywane w leczeniu chorób serca:

– Angioplastyka polegająca na rozszerzeniu naczyń krwionośnych, które zostały zwężone lub zamknięte z powodu choroby.
– Implantacje stentu. Stent, czyli niewielka „sprężynka”, najczęściej ze stali lub stopu chromowo-kobaltowego, umieszczany jest wewnątrz naczynia krwionośnego w celu przywrócenia drożności naczynia.
– Brachyterapia – metoda ta polega na bezpośrednim napromienianiu zmian chorobowych, w tym przypadku skrzepów krwi blokujących tętnice.

15 / 15Choroby serca - profilaktyka

Obraz
© lululemon athletica, lic. CC BY 2.0

Jak uniknąć choroby serca?

– Jedz zdrowo, niech twoja codzienna dieta obfituje w produkty pełnoziarniste, owoce, warzywa, ryby, artykuły sojowe, ciecierzyce i fasole, oliwę z oliwek, czosnek, awokado. Orzechy, takie jak migdały czy orzechy włoskie, podniosą poziom dobrego cholesterolu.
– Ogranicz ilość spożywanego alkoholu.
– Ogranicz palenie papierosów.
– Ćwicz regularnie.
– Monitoruj ciśnienie krwi.
– Zanim jednak przystąpisz do stosowania jakichkolwiek leków czy programu ćwiczeń fizycznych, skonsultuj się z lekarzem.

Źródło artykułu: WP abcZdrowie
Wybrane dla Ciebie
Choroba, która zabiła Beethovena. Analiza DNA ujawniła niespodziewanego winowajcę
Choroba, która zabiła Beethovena. Analiza DNA ujawniła niespodziewanego winowajcę
Długie siedzenie szkodzi naczyniom. Zimowy napój pomaga w zapobieganiu zmianom
Długie siedzenie szkodzi naczyniom. Zimowy napój pomaga w zapobieganiu zmianom
Rak coraz częściej staje się chorobą przewlekłą. To sukces medycyny, ale też wyzwania dla systemu
Rak coraz częściej staje się chorobą przewlekłą. To sukces medycyny, ale też wyzwania dla systemu
Błagała o cesarskie cięcie. Dziś jej synek jest niepełnosprawny, a rodzice walczą o sprawiedliwość
Błagała o cesarskie cięcie. Dziś jej synek jest niepełnosprawny, a rodzice walczą o sprawiedliwość
Chudną przez Ozempic. Potem pojawiają się skutki uboczne. Specjaliści apelują ws. oznaczeń
Chudną przez Ozempic. Potem pojawiają się skutki uboczne. Specjaliści apelują ws. oznaczeń
Zwiększa ryzyko nowotworów. Wpływa na procesy zapalne i uszkadza DNA komórek
Zwiększa ryzyko nowotworów. Wpływa na procesy zapalne i uszkadza DNA komórek
Szpital w Bielsku-Białej zamknięty. W maju doszło tam do tragedii
Szpital w Bielsku-Białej zamknięty. W maju doszło tam do tragedii
Król Karol III apeluje, by badać się pod kątem chorób nowotworowych. Sam zmaga się z rakiem
Król Karol III apeluje, by badać się pod kątem chorób nowotworowych. Sam zmaga się z rakiem
Unikaj w czasie infekcji. Nasilają objawy choroby i spowalniają powrót do zdrowia
Unikaj w czasie infekcji. Nasilają objawy choroby i spowalniają powrót do zdrowia
Otwierasz oczy, zanim zadzwoni poranny alarm? To dlatego ciało czasem wyprzedza budzik
Otwierasz oczy, zanim zadzwoni poranny alarm? To dlatego ciało czasem wyprzedza budzik
Więcej pieniędzy, ale rosnąca dziura w budżecie NFZ. Mija dwa lata rządu Donalda Tuska
Więcej pieniędzy, ale rosnąca dziura w budżecie NFZ. Mija dwa lata rządu Donalda Tuska
Nowy pasożyt w Polsce. Przybył z Ameryki, a szkodzić może nie tylko przyrodzie
Nowy pasożyt w Polsce. Przybył z Ameryki, a szkodzić może nie tylko przyrodzie