Taka grudka to znak, że ugryzł cię "latający kleszcz"

Strzyżak jelenica, potocznie określany terminem "latający kleszcz", jest owadem blisko związanym z tymi popularnymi pajęczakami. Tak samo jak kleszcz żywi się ludzką krwią, a jego ugryzienie może powodować nieprzyjemne i potencjalnie groźne objawy. Jak rozpoznać ugryzienie strzyżaka i rozróżnić je od tych, które pozostawia po sobie kleszcz?

Uważaj na nie w lesie, zostawiają bolesny ślad na skórzeUważaj na nie w lesie, zostawiają bolesny ślad na skórze
Źródło zdjęć: © Getty Images, archiwum prywatne
Aleksandra Zaborowska

Strzyżak sarni. Coraz więcej "latających kleszczy" w lasach

Strzyżak sarni, inaczej strzyżak jelenica (Lipoptena cervi), nazywany też strzyżakiem jelenim, "latającym kleszczem", bądź wszą jelenią jest drobnym 5-6-milimetrowym owadem z rzędu muchówek, a nie pajęczaków jak kleszcze. Jest większy, posiada trzy pary nóg zamiast czterech, a także skrzydła, które odrzuca po znalezieniu żywiciela. Gryzie, wbijając się mocno w skórę, a jego chitynowa zbroja może przysparzać kłopotów przy wyciąganiu owada. Strzyżaki atakują chmarami, dość agresywnie: mogą wchodzić we włosy, do uszu czy nosa.

Lasy Państwowe podkreślają istotne różnice między strzyżakami a kleszczami, prezentując porównawczą grafikę.

- Pasożyt ten najczęściej bytuje właśnie na sierści jelenia lub sarny, żyjąc tam, wyciera skrzydła. Tam też następuje rozmnażanie. Samice rodzą żywe larwy, które później zmieniają się w poczwarki, a te w młode osobniki. Strzyżaki żywią się krwią – wyjaśniał w rozmowie z abcZdrowie dr Jarosław Pacoń z Zakładu Parazytologii na Uniwersytecie Przyrodniczym we Wrocławiu.

Kleszcze nie gryzą wszystkich tak samo

"Latające kleszcze" chmarami atakują w polskich lasach
"Latające kleszcze" chmarami atakują w polskich lasach © Materiały własne

Ten gatunek owada faktycznie często występuje w polskich lasach i, w sprzyjających warunkach pogodowych, może być aktywny nawet do listopada.

- Strzyżaki to bardzo natrętne stworzenia. Są niewielkie, ale potrafią nieźle zdenerwować. Po pierwsze dlatego, że gdy atakują, siadają na różne części ciała, wchodzą we włosy czy pod ubranie. To wywołuje panikę. Po drugie, nie można ich strzepać czy przegonić machnięciem ręki – podkreślał dr Pacoń.

Jak rozpoznać atak strzyżaka?

Ugryzienia strzyżaków mogą wywołać ból, a skóra w miejscu ich żerowania szybko staje się swędząca. Pojawia się typowa różowa grudka, która może utrzymywać się od dwóch do trzech tygodni, ale w skrajnych przypadkach nawet rok. Możliwy jest również silny rumień powstały w wyniku reakcji alergicznej.

Zjawisko to zostało omówione przez polskich badaczy z Uniwersytetu Przyrodniczego w Lublinie oraz Uniwersytetów Medycznych w Lublinie i Śląsku. W artykule podkreślają oni wzrost populacji Lipoptena cervi i fakt, że owady te mogą być nosicielami chorobotwórczych patogenów, takich jak Bartonella schoenbuchensis.

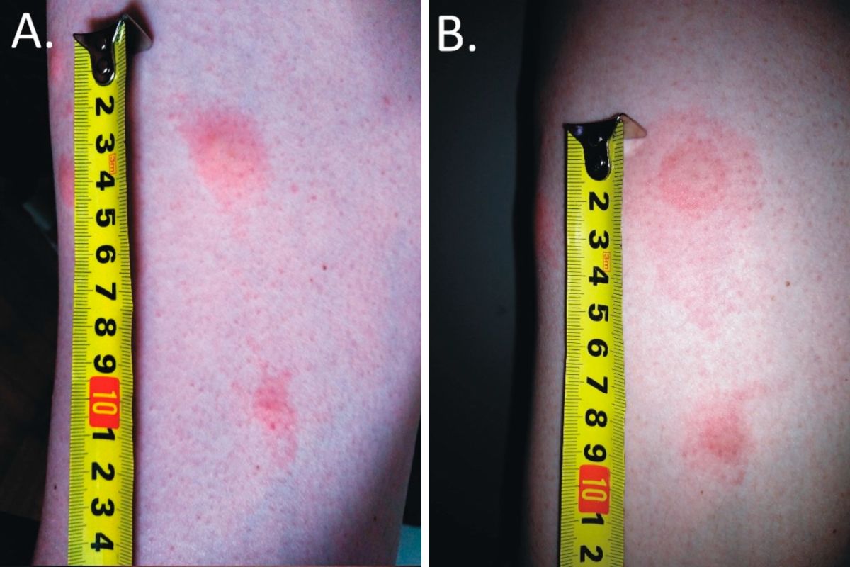
Takie zmiany mogą pojawić się na skórze po ukąszeniu przez strzyżaka
Takie zmiany mogą pojawić się na skórze po ukąszeniu przez strzyżaka © Insects 2020, 11(12), 859

Naukowcy opisali przypadek, który miał miejsce w gronie ich zespołu badawczego: pierwsze objawy po ugryzieniu strzyżaka obejmowały swędzenie, pieczenie i wystąpienie rozsianych grudek pokrzywkowych. Po dobie zaobserwowano silną reakcję alergiczną. Skutki ugryzienia utrzymywały się przez trzy miesiące.

"Zmiany skórne rozwijające się po ukąszeniach Lipoptena są bolesne i często prowadzą do rozwoju stanu zapalnego skóry, charakteryzującego się obecnością charakterystycznych skrzepów z towarzyszącym świądem" – precyzują naukowcy.

Czy "kleszcze ze skrzydłami" zarażają boreliozą?

Ani silna reakcja skórna po ugryzieniu strzyżaka, ani kleszcza nie oznacza automatycznego zakażenia boreliozą. Charakterystyczny jest tu obraz rumienia wędrującego.

- To jest taki placek na skórze, mający średnicę co najmniej 5 cm. Niekoniecznie ma równy obwód, ale posiada za to centralny punkt wyznaczający miejsce wkłucia się kleszcza. Przypomina bawole oko: jaśniejsza centralna część i okręgi różowe. Zdarzają się też rumienie w wielu miejscach jednocześnie i wtedy te punkty nie są widoczne – informowała w rozmowie z WP abcZdrowie specjalistka chorób zakaźnych, prof. Anna Boroń-Kaczmarska.

Badania wskazują, że strzyżaki mogą być nosicielami patogenów takich jak Borrelia burgdorferi i Anaplasma phagocytophilum oraz Trypanosoma, przy czym najwięcej obaw budzi Borrelia, jednak, według informacji podanych przez Lasy Państwowe, nie ma udokumentowanych przypadków boreliozy wywołanej ugryzieniem strzyżaka.

Masz newsa, zdjęcie lub filmik? Prześlij nam przez dziejesie.wp.pl

Treści w naszych serwisach służą celom informacyjno-edukacyjnym i nie zastępują konsultacji lekarskiej. Przed podjęciem decyzji zdrowotnych skonsultuj się ze specjalistą.

Źródło artykułu: WP abcZdrowie
Wybrane dla Ciebie
Spotkanie na szczycie. Prezydent ma zdecydować o przekazaniu 3,6 mld zł na NFZ
Spotkanie na szczycie. Prezydent ma zdecydować o przekazaniu 3,6 mld zł na NFZ
Wspiera jelita, serce i daje uczucie sytości. Po ten napój warto sięgać codziennie
Wspiera jelita, serce i daje uczucie sytości. Po ten napój warto sięgać codziennie
Farmaceutka ostrzega przed brakiem leku. "Mogą nie mieć ciągłego dostępu do terapii"
Farmaceutka ostrzega przed brakiem leku. "Mogą nie mieć ciągłego dostępu do terapii"
Do niedawna mieliśmy "zero" zachorowań. Obecnie chorują dziesiątki tysięcy osób
Do niedawna mieliśmy "zero" zachorowań. Obecnie chorują dziesiątki tysięcy osób
Innowacyjne terapie raka trzustki. "To może być największy od 30 lat krok w leczeniu"
Innowacyjne terapie raka trzustki. "To może być największy od 30 lat krok w leczeniu"
Wirus z dzieciństwa, rak w dorosłości? BK na celowniku naukowców
Wirus z dzieciństwa, rak w dorosłości? BK na celowniku naukowców
Powikłania po wypełniaczach. Jak ultrasonografia może im zapobiec?
Powikłania po wypełniaczach. Jak ultrasonografia może im zapobiec?
Leki, które mogą niszczyć kości. Ciche ryzyko, o którym warto wiedzieć
Leki, które mogą niszczyć kości. Ciche ryzyko, o którym warto wiedzieć
Pomagają sercu i poprawiają trawienie. Sięgaj po nie codziennie
Pomagają sercu i poprawiają trawienie. Sięgaj po nie codziennie
Kardiolożka ostrzega. To "subtelne objawy zawału", od razu wzywaj pomoc
Kardiolożka ostrzega. To "subtelne objawy zawału", od razu wzywaj pomoc
Wczesne wykrycie raka z krwi. Na czym polega test Galleri?
Wczesne wykrycie raka z krwi. Na czym polega test Galleri?
Świadczenie wspierające w 2026 roku. Nawet 4134 zł miesięcznie
Świadczenie wspierające w 2026 roku. Nawet 4134 zł miesięcznie