Leishmania – co to jest, objawy, leczenie

Leishmania to rodzaj pasożytniczych pierwotniaków, wywołujących chorobę nazywaną leiszmaniozą (zarażają się nią zazwyczaj osoby podróżujące do krajów tropikalnych). Choroba przenoszona jest przez samice muchówek (z rodzaju Lutzomyia i Phlebotomus). Według statystyk Światowej Organizacji Zdrowia, każdego roku z powodu leiszmaniozy umiera około 20-30 tysięcy osób. U zarażonych wiciowcami z rodzaju Leishmania mogą pojawić się różne zmiany i dolegliwości, zazwyczaj są to zmiany skórne.

Leishmania to pasożytnicze wiciowce, które wywołują chorobę tropikalną, leiszmaniozę. Leishmania to pasożytnicze wiciowce, które wywołują chorobę tropikalną, leiszmaniozę.
Źródło zdjęć: © Gettyimages
Katarzyna Wąś-Zaniuk

Leishmania – niebezpieczne pasożyty, które wywołują leiszmaniozę

Leishmania to pasożytnicze wiciowce, które wywołują groźną chorobę tropikalną leiszmaniozę. Pasożytami) możemy zarazić się poprzez ukąszenie samic muchy piaskowej (z rodzaju Lutzomyia i Phlebotomu). Dolegliwość dotyka zazwyczaj osoby podróżujące do krajów tropikalnych, a także zawodowych kierowców ciężarówek, powracających z Bliskiego Wschodu.

Nazwa choroby pochodzi od nazwiska szkockiego patologa, Williama Booga Leishmana, który w 1901 roku opublikował swoje spostrzeżenia na temat obcych organizmów w śledzionie zmarłych na „gorączkę Dum-Dum”.

Do zarażenia pasożytami Leishmania dochodzi poprzez ukąszenie samicy muchówki lub poprzez rozgniecenie zainfekowanego owada obrębie ran i skaleczeń na skórze.

Uważaj na te ryby. Mogą mieć pasożyty

Wyróżniamy leiszmaniozę trzewną (wywoływaną pasożytami Leishmania donovani oraz L. infantu), leiszmaniozę skórną(wywoływaną przez wiciowce L. tropica, L. mexicana, L. major, L. aeothiopica), a także leiszmaniozę skórno-śluzówkową(wywoływaną przez pasożyty L. brasiliensis).

Leiszmanioza trzewna, nazywana również „gorączką Dum-Dum” lub czarną febrą występuje przede wszystkim w Brazylii, Bangladeszu, Indiach oraz w Sudanie. Leiszmanioza skórna, nazywana też białym trądem, zazwyczaj spotykana jest na terenie Iranu, Peru, Afganistanu, Brazylii, Syrii oraz Arabii Saudyjskiej. Leiszmanioza skórno-śluzówkowa, zwana również pendynką dotyka przede wszystkim mieszkańców Brazylii, Peru, a także Boliwii.

Należy nadmienić, że do zakażenia może dojść również w niektórych krajach europejskich. Najwyższe ryzyko zachorowania występuje w Portugalii, Hiszpanii, Bułgarii, Grecji, Chorwacji, Serbii, Turcji, na południu Francji oraz na południu Rosji.

Według szacunków Światowej Organizacji Zdrowia, z chorobą boryka się ponad 12 milionów osób na całym świecie.

Zobacz także:

Objawy

U zakażonych leiszmaniozą trzewną mogą wystąpić następujące objawy chorobowe:

Leiszmanioza skórna może objawiać się:

  • owrzodzeniami skóry,
  • martwicą tkanek,
  • problematycznymi, niegojącymi się ranami.

Zmiany chorobowe pojawiają się zazwyczaj w obrębie twarzy, szyi, a także kończyn.

U chorych na leiszmaniozę skórno-śluzówkową możemy zaobserwować następujące objawy:

  • zniekształcenia twarzy,
  • uszkodzenia występujące w obrębie tkanek miękkich, chrząstek, a także kości nosa.

Leishmania – rozpoznanie i leczenie

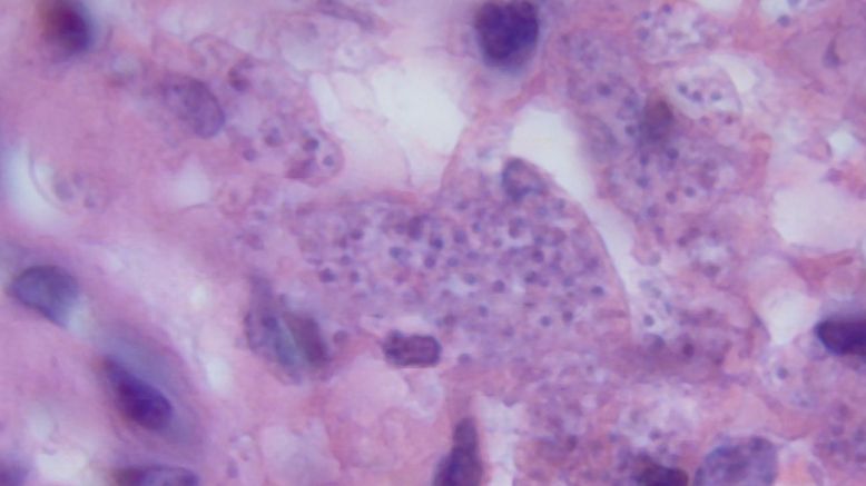
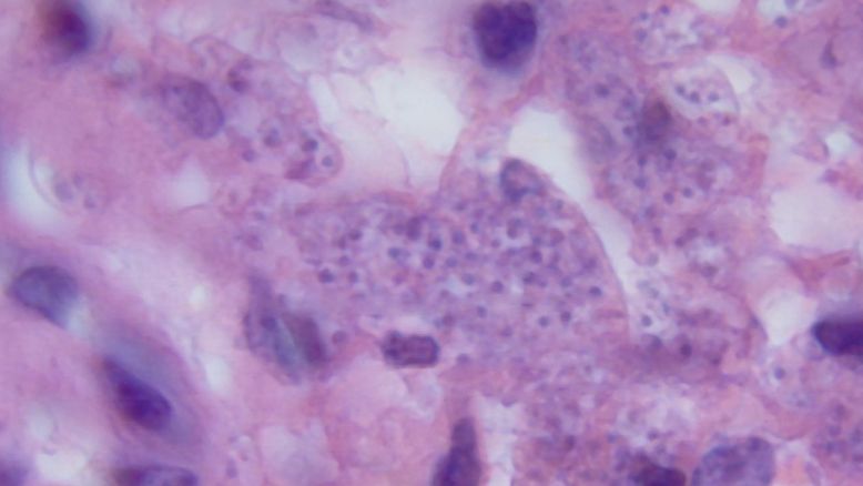
Proces diagnostyczny polega zazwyczaj na przeprowadzeniu dokładnego wywiadu lekarskiego oraz wykonaniu badania mikrobiologicznego. Od pacjenta pobierany jest wycinek owrzodzenia.

Badanie pozwala bez problemu zdiagnozować postać skórną lub skórno-śluzówkową. W rozpoznaniu i diagnostyce leiszmaniozy pomocne jest również barwienie metodą Giemsy. Nieco rzadziej stosowane są też badania serologiczne. Leiszmanię trzewną diagnozuje się na podstawie badania histopatologicznego. U pacjentów przeprowadzona zostaje biopsja śledziony, wątroby lub szpiku.

Nieleczone zakażenie pasożytami Leishmania może być przyczyną śmierci. W celu wyeliminowania choroby stosowana jest kuracja antybiotykowa. W wielu przypadkach konieczne jest też podawanie następujących związków: antymonu, ketokonazolu. Dodatkowo leczenie opiera się na podawaniu leku cytostatycznego, miltofezyny.

Nie istnieje żadna szczepionka przeciw leiszmaniozie, dlatego bardzo ważna jest profilaktyka. Osoby podróżujące do krajów, w których występuje najwyższe ryzyko zachorowania powinny stosować ochronne aerozole i płyny przeciw groźnym owadom. W oknach warto zamontować moskitiery. Należy również pamiętać o odpowiedniej odzieży i nakryciu głowy.

Treści w naszych serwisach służą celom informacyjno-edukacyjnym i nie zastępują konsultacji lekarskiej. Przed podjęciem decyzji zdrowotnych skonsultuj się ze specjalistą.

Wybrane dla Ciebie
Globisz przeszedł rozległy udar. Dziś mówi o sobie: Jestem szczęśliwy
Globisz przeszedł rozległy udar. Dziś mówi o sobie: Jestem szczęśliwy
Ser i śmietana mogą obniżać ryzyko demencji? Zaskakujące wyniki badań
Ser i śmietana mogą obniżać ryzyko demencji? Zaskakujące wyniki badań
"Pierwszy sygnał" uszkodzenia nerek, wątroby. Kluczowe badanie
"Pierwszy sygnał" uszkodzenia nerek, wątroby. Kluczowe badanie
Suplementy, które mogą podnosić ciśnienie krwi. Ważne ostrzeżenie dla sercowców
Suplementy, które mogą podnosić ciśnienie krwi. Ważne ostrzeżenie dla sercowców
Denga i chikungunya coraz częstsze. Tak można się ochronić
Denga i chikungunya coraz częstsze. Tak można się ochronić
Symbol świąt. Jemioła jest trująca, ale może wspomagać ciśnienie krwi
Symbol świąt. Jemioła jest trująca, ale może wspomagać ciśnienie krwi
Obwód uda może świadczyć o ryzyku zgonu? Naukowcy wiedzą, ile cm to minimum
Obwód uda może świadczyć o ryzyku zgonu? Naukowcy wiedzą, ile cm to minimum
Polacy przejadają się w święta. "Zapalenie trzustki, żołądka czy przełyku"
Polacy przejadają się w święta. "Zapalenie trzustki, żołądka czy przełyku"
Izba bez lekarza zamiast porodówki? MZ nie chce dopłacać do nierentownych oddziałów
Izba bez lekarza zamiast porodówki? MZ nie chce dopłacać do nierentownych oddziałów
Uważaj na tę rybę. GIS ostrzega przed alternatywą dla karpia
Uważaj na tę rybę. GIS ostrzega przed alternatywą dla karpia
Tysiące chorych bez finansowania z NFZ. Eksperci alarmują o niedoszacowanych kontraktach
Tysiące chorych bez finansowania z NFZ. Eksperci alarmują o niedoszacowanych kontraktach
Dla tych Polaków grypa jest szczególnie niebezpieczna. Rośnie ryzyko zawału
Dla tych Polaków grypa jest szczególnie niebezpieczna. Rośnie ryzyko zawału