Koronawirus. Pokazał zdjęcia, na których widać obraz płuc chorego na COVID-19

Lekarze od miesięcy przekonują, że koronawirus powoduje w płucach chorego ogromne spustoszenia. By uciąć spekulacje, publikują na to dowody - zdjęcia RTG, na których widać zmiany wywołane przez SARS-CoV-2. Tak też zrobił Tomasz Rezygent, lekarz w trakcie specjalizacji z chorób wewnętrznych, publikując w sieci 2 fotografie, na których widać stan płuc pacjenta z COVID-19.

Obraz płuc, na którym widać zapalenie płucObraz płuc, na którym widać zapalenie płuc
Źródło zdjęć: © TomaszRezydent/FB
Ewa Rycerz

Obraz płuc chorego

Zdjęcię RTG należy do dość popularnych badań diagnostycznych, które są zlecane w przebiegu chorób układu oddechowego. Lekarze zlecają je, by zdiagnozować np. zapalenie płuc czy właśnie zakażenie koronawirusem. Choć w tym drugim przypadku specjaliści bazują także na tomografii bez kontrastu, ponieważ pozwala ona ocenić procentową ilość zajętego miąższu płuc.

Lekarz podkreśla, że badanie RTG wykonywane jest obecnie rzadziej, ponieważ ma dla lekarzy mniejszą wartość. "Jednak czasem w toku innej diagnostyki (np. kontrola po założeniu wkłucia centralnego) można uchwycić "ładną" progresję zmian również w RTG" - czytamy w wpisie.

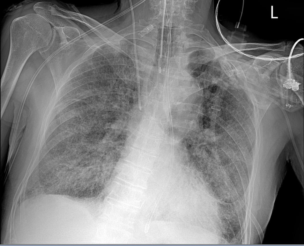
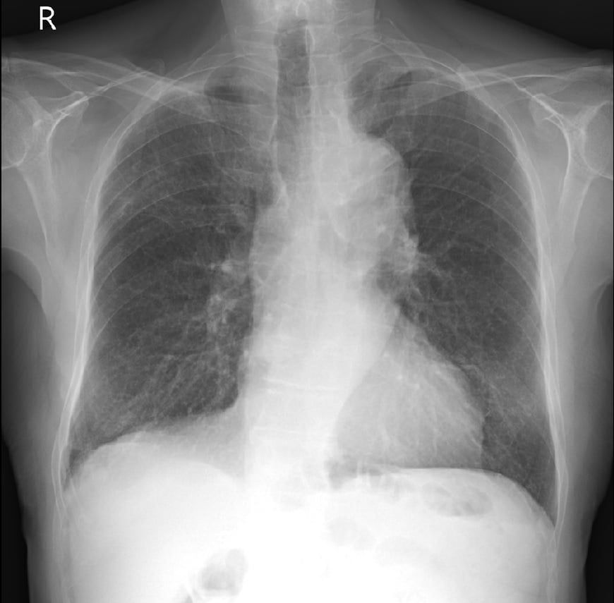
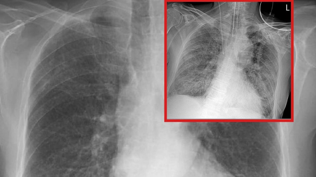
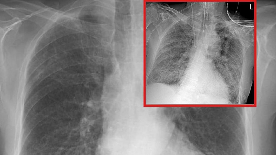
Rezydent opublikował dwie fotografie RTG, które były wykonane u jednego chorego z pozytywnym wynikiem na koronawirusa. "Pierwsze RTG wykonano przy przyjęciu do szpitala, u pacjenta dodatniego z osłabieniem i gorączką, jeszcze bez duszności. Drugie wykonano u tego samego chorego po 7 dniach hospitalizacji, już w skrajnej niewydolności oddechowej wymagającej respiratoroterapii" - opisuje lekarz.

Poznaj ich od kuchni: Kuba Jankowski

Obraz płuc przed wystąpieniem duszności
Obraz płuc przed wystąpieniem duszności © Tomasz-Rezydent
Obraz płuc, w którym 80 proc. powierzchni narządu jest zajęte przez wirusa
Obraz płuc, w którym 80 proc. powierzchni narządu jest zajęte przez wirusa © Tomasz-Rezydent

Wyjaśnia, że ciemnie obszary płuca na pierwszym zdjęciu są w większości z niezmienionej jeszcze chorobowo tkanki, natomiast nakrapiane mlecznie płuca są praktycznie w całości zajęte (odpowiadają 80 proc. zajętego miąższu w tomografii komputerowej).

"Jeden pacjent, siedem dni różnicy. Jeden wredny wirus. Czy miał choroby współistniejące? Tak. Czy to one go zabiły? Nie. Tylko covid" - podsumowuje rezydent.

Pandemia nie wygasa

Lekarz odnosi się także do mniejszych liczb osób z potwierdzonym wynikiem na koronawirusa oraz do mniejszej liczby wykonywanych testów. Czy to faktycznie oznacza, że epidemia wygasa i możemy już odetchnąć z ulgą?

"W pracy wcale nie odczuwam, że jest lepiej. Przeciwnie, w ciągu ostatnich moich dyżurów mam wrażenie, że ilość ciężkich i komplikujących się pacjentów wzrosła, rośnie też ilość osób, które po przebytym covidzie mają przewlekła niewydolność oddechową. Mam nadzieję, że stan części z nich po rehabilitacji ulegnie poprawie, dla reszty może to jednak oznaczać trwałe obniżenie jakości życia lub konieczność domowej tlenoterapii" - pisze rezydent.

I zaleca, byśmy nie rezygnowali z przestrzegania obostrzeń. Nadal konieczna jest dezynfekcja dłoni, noszenie masek oraz trzymanie dystansu społecznego.

"Ja też chciałbym już przestać tyle pracować i wziąć moje córki na basen, ale nie mogę. Pandemia jeszcze nie wygasa, przynajmniej nie teraz. Niedługo wigilia. Trzymajmy się obostrzeń, tak aby móc spędzić ten czas bezpiecznie w gronie najbliższych" - zaleca lekarz.

Treści w naszych serwisach służą celom informacyjno-edukacyjnym i nie zastępują konsultacji lekarskiej. Przed podjęciem decyzji zdrowotnych skonsultuj się ze specjalistą.

Źródło artykułu: WP abcZdrowie
Wybrane dla Ciebie
Izba bez lekarza zamiast porodówki? MZ nie chce dopłacać do nierentownych oddziałów
Izba bez lekarza zamiast porodówki? MZ nie chce dopłacać do nierentownych oddziałów
Uważaj na tę rybę. GIS ostrzega przed alternatywą dla karpia
Uważaj na tę rybę. GIS ostrzega przed alternatywą dla karpia
Tysiące chorych bez finansowania z NFZ. Eksperci alarmują o niedoszacowanych kontraktach
Tysiące chorych bez finansowania z NFZ. Eksperci alarmują o niedoszacowanych kontraktach
Dla tych Polaków grypa jest szczególnie niebezpieczna. Rośnie ryzyko zawału
Dla tych Polaków grypa jest szczególnie niebezpieczna. Rośnie ryzyko zawału
Tak objawia się rak trzustki. Trzeba być niezwykle czujnym
Tak objawia się rak trzustki. Trzeba być niezwykle czujnym
Nie bierz tego leku. Może zagrażać życiu. Jest pilna reakcja GIF
Nie bierz tego leku. Może zagrażać życiu. Jest pilna reakcja GIF
Nowe zasady finansowania rezonansu i tomografii. Zmiany od 1 stycznia
Nowe zasady finansowania rezonansu i tomografii. Zmiany od 1 stycznia
Tu na karetkę czeka się najdłużej. GUS wskazuje, gdzie przekracza to nawet 20 minut
Tu na karetkę czeka się najdłużej. GUS wskazuje, gdzie przekracza to nawet 20 minut
Łatwo przekroczyć ten limit. ZUS może wtedy pobrać pieniądze z automatu
Łatwo przekroczyć ten limit. ZUS może wtedy pobrać pieniądze z automatu
Trzy promile na dyżurze. Lekarz z Poniatowej pod lupą prokuratury po interwencji policji
Trzy promile na dyżurze. Lekarz z Poniatowej pod lupą prokuratury po interwencji policji
Białko ratunkiem dla serca? Badacze sprawdzili, że może spowalniać niewydolność
Białko ratunkiem dla serca? Badacze sprawdzili, że może spowalniać niewydolność
Jednorazowa terapia może obniżać LDL i trójglicerydy. "To piękny nowy świat"
Jednorazowa terapia może obniżać LDL i trójglicerydy. "To piękny nowy świat"