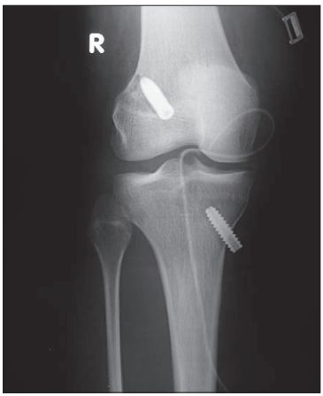
Migracja piszczelowej śruby interferencyjnej po rekonstrukcji więzadła krzyżowego

Skuteczna rekonstrukcja ACL wymaga odpowiedniej stabilizacji przeszczepu w kanałach kostnych za pomocą śrub interferencyjnych. Nieadekwatna stabilizacja lub wczesna jej utrata może prowadzić do nawrotu przedniej niestabilności kolana. Czas wgajania przeszczepu zależy w znacznej mierze od ukrwienia miejscowego. Według doniesień niektórych autorów zadowalające pod względem mechanicznym wgajanie na granicy kość-ścięgno może wystąpić już w tak wczesnym okresie jak 6 do 15 tygodni. W prezentowanym przypadku migracja śruby piszczelowej w 8 miesięcy po zabiegu nie spowodowała pogorszenia stabilności kolana.

Migracja piszczelowej śruby interferencyjnej po  rekonstrukcji więzadła krzyżowegoMigracja piszczelowej śruby interferencyjnej po rekonstrukcji więzadła krzyżowego

Migracja śruby piszczelowej poza kanał kostny

22 letnia pacjentka zgłosiła się do poradni Kliniki w styczniu 2007 roku z powodu objawów przedniej niestabilności prawego kolana. W grudniu 2006 roku doznała urazu skrętnego kolana podczas jazdy na nartach. Podawała również podobny epizod urazowy przed 2 laty. Ze względu na nieskuteczność leczenia zachowawczego i utrzymującego się „uciekania” kolana podjęto decyzję o leczeniu operacyjnym. Przeprowadzono artroskopową rekonstrukcję ACL z użyciem allogenicznego, głęboko mrożonego i sterylizowanego radiacyjnie przeszczepu ze ścięgna Achillesa. Przeszczep przygotowany został w Centralnym Banku Tkanek Akademii Medycznej w Warszawie. Stabilizację przeszczepu w kanałach kostnych uzyskano za pomocą tytanowych śrub interferencyjnych (2×9 mm, Medgal, Białystok). Zabieg operacyjny przebiegł bez powikłań. Po zdjęciu zacisku zakres ruchu biernego kolana wynosił 0–135 stopni a objawy szuflady przedniej, Lachmana i pivot shift były ujemne. Jednakże na kontrolnym zdjęciu RTG zaobserwowano wystawanie śruby piszczelowej ponad warstwę korową kości. Włączono standardową procedurę rehabilitacji dla pacjentów po pierwotnej rekonstrukcji ACL z zastosowaniem allogenicznych przeszczepów kość–ścięgno–kość lub ze ścięgna Achillesa, stosowaną w naszym ośrodku. Po 6 tygodniach od operacji pacjentka chodziła z pełnym obciążaniem kończyny, z niewielkimi dolegliwościami bólowymi stawu kolanowego (2 pkt. w skali VAS), bez jakichkolwiek dolegliwości z obszaru wystającej śruby piszczelowej. Nie zgłaszała „uciekania” kolana. W badaniu klinicznym staw był stabilny.

W 8 tygodniu po zabiegu pacjentka zgłosiła się do poradni Kliniki skarżąc się na ból i obrzęk okolicy przednio-przyśrodkowej podudzia, w sąsiedztwie otworu kanału piszczelowego. Objawy pojawiły się przed 3 dniami i były związane ze zwiększeniem obciążenia w ćwiczeniach aktywnego wyprostu i intensyfikacji rehabilitacji.W kontrolnym badaniu RTG zaobserwowano migrację śruby piszczelowej poza kanał kostny. Śruba była wyczuwalna palpacyjnie w tkance podskórnej. Zdarzenie to nie wpłynęło na stabilność stawu. Testy kliniczne pozostały ujemne a pacjentka nie zgłaszała „uciekania” kolana. Śruba została usunięta operacyjnie, a pacjentce zalecono wstrzymanie się od nasilonej aktywności fizycznej przez miesiąc.

Tempo wgajania allograftów

Obok prawidłowego położenia kanałów kostnych, integracja przeszczepu kością jest uważana za jeden z najważniejszych czynników wpływających na satysfakcjonujący wynik rekonstrukcji ACL. Wykazano iż wgajanie przeszczepu ze ścięgien mięśni gęsiej stopki stabilizowanego śrubami interferencyjnymi jest zależne od wyjściowej gęstości tkanki kostnej. Istotny jest również stosunek średnic przeszczepu i kanału kostnego, jako iż ciaśniejsze dopasowanie przeszczepu wiąże się szybszą integracją na granicy kość–przeszczep. W jednym z badań preparaty pobrane podczas rewizyjnych rekonstrukcji ACL poddano badaniu pod kątem włókien kolagenowych łączących kość z przeszczepem ścięgna. Wykazano iż w przypadku autologicznego przeszczepu ze ścięgien mięśni gęsiej stopki stabilizowanego śrubami interferencyjnymi może on być wgojony w stopniu zadowalającym pod względem wytrzymałości mechanicznej już w okresie od 6 do 15 tygodni po operacji.

Jednakże kwestia różnic w tempie wgajania przeszczepów auto i allogenicznych pozostaje wciąż niejasna. Liczne badania wykazują iż wgajanie allograftu jest wolniejsze od przeszczepu autogennego. Z kolei ostatnie badania na zwierzętach donoszą o niewielkich różnicach wgajania przeszczepów allogenicznych i autogenicznych we wczesnym okresie pooperacyjnym (6 tygodni). Różnice te mają tendencję do zwiększania się wraz z upływem czasu. W 12 tygodniu zaobserwowano istotnie większą w gęstość miofibroblastów w autografcie a po upływie roku bardziej zaawansowaną przebudowę w grupie autograftu. Jednakże badanie przeprowadzone przez Lomasneya może sugerować iż szybkość wgajania podobna dla obu rodzajów przeszczepów. Pomiary wgajania bloczka kostnego zarówno autogennego jak i allogenicznego przeszczepu przeprowadzano w 1 tygodniu, 2 miesiącu i 5 miesiącu po zabiegu za pomocą CT. Nie zaobserwowano istotnej statystycznie różnicy pomiędzy stopniem wgajania auto i allograftu. Nasze własne badania wykazują iż impregnacja przeszczepu allogenicznego za pomocą osocza bogatopłytkowego może wpływać na stopień wgajania przeszczepu, osiągając stopień wgajania porównywalny z przeszczepem autogennym. Wgajanie przeszczepu oceniano za pomocą MRI w 6 i 12 tygodniu po operacji. W 6 tygodniu po zabiegu nie obserwowano obrzęku szpiku ani torbieli płynowych. W 12 tygodniu badanie wykazało brak wyraźnej linii demarkacyjnej pomiędzy przeszczepem a kością biorcy. Ponadto sygnał wewnątrzstawowej części więzadła był zbliżony do sygnału więzadła krzyżowego tylnego. Badania eksperymentalne przeprowadzone na zwierzętach wykazały, iż maksymalna wytrzymałość mechaniczna przeszczepu allogenicznego w 12 tygodniu po operacji to 17,5% wytrzymałości kontralateralnego więzadła. Wartość ta wzrasta do 20,9% w 24 tygodniu i do 32% w 52 tygodniu.

Prezentowany przypadek jest prawdopodobnie pierwszym w literaturze opisem migracji pozastawowej piszczelowej śruby interferencyjnej. Kazuistyką jest również fakt, iż wystąpienie powikłania we wczesnym okresie pooperacyjnym nie spowodowało nawrotu niestabilności kolana. Przypadek ten wraz z doniesieniami dostępnymi w piśmiennictwie wydaje się potwierdzać zdolność połączenia przeszczepu ze ścięgnem we wczesnym okresie pooperacyjnym do wytrzymania obciążeń związanych z codziennymi czynnościami. Jednakże ze względu na wciąż ograniczony stan wiedzy dotyczącej różnic w przebudowie i wgajaniu przeszczepów allogenicznych i autogenicznych stosowanych w rekonstrukcji ACL, rehabilitacja pacjentów u których zastosowano allografty powinna być prawdopodobnie ostrożniejsza a na pewno zmodyfikowana pod kątem pacjenta i rodzaju przeszczepu.

Treści w naszych serwisach służą celom informacyjno-edukacyjnym i nie zastępują konsultacji lekarskiej. Przed podjęciem decyzji zdrowotnych skonsultuj się ze specjalistą.

Źródło artykułu: WP abcZdrowie
Wybrane dla Ciebie
Obwód uda może świadczyć o ryzyku zgonu? Naukowcy wiedzą, ile cm to minimum
Obwód uda może świadczyć o ryzyku zgonu? Naukowcy wiedzą, ile cm to minimum
Polacy przejadają się w święta. "Zapalenie trzustki, żołądka czy przełyku"
Polacy przejadają się w święta. "Zapalenie trzustki, żołądka czy przełyku"
Izba bez lekarza zamiast porodówki? MZ nie chce dopłacać do nierentownych oddziałów
Izba bez lekarza zamiast porodówki? MZ nie chce dopłacać do nierentownych oddziałów
Uważaj na tę rybę. GIS ostrzega przed alternatywą dla karpia
Uważaj na tę rybę. GIS ostrzega przed alternatywą dla karpia
Tysiące chorych bez finansowania z NFZ. Eksperci alarmują o niedoszacowanych kontraktach
Tysiące chorych bez finansowania z NFZ. Eksperci alarmują o niedoszacowanych kontraktach
Dla tych Polaków grypa jest szczególnie niebezpieczna. Rośnie ryzyko zawału
Dla tych Polaków grypa jest szczególnie niebezpieczna. Rośnie ryzyko zawału
Tak objawia się rak trzustki. Trzeba być niezwykle czujnym
Tak objawia się rak trzustki. Trzeba być niezwykle czujnym
Nie bierz tego leku. Może zagrażać życiu. Jest pilna reakcja GIF
Nie bierz tego leku. Może zagrażać życiu. Jest pilna reakcja GIF
Nowe zasady finansowania rezonansu i tomografii. Zmiany od 1 stycznia
Nowe zasady finansowania rezonansu i tomografii. Zmiany od 1 stycznia
Tu na karetkę czeka się najdłużej. GUS wskazuje, gdzie przekracza to nawet 20 minut
Tu na karetkę czeka się najdłużej. GUS wskazuje, gdzie przekracza to nawet 20 minut
Łatwo przekroczyć ten limit. ZUS może wtedy pobrać pieniądze z automatu
Łatwo przekroczyć ten limit. ZUS może wtedy pobrać pieniądze z automatu
Trzy promile na dyżurze. Lekarz z Poniatowej pod lupą prokuratury po interwencji policji
Trzy promile na dyżurze. Lekarz z Poniatowej pod lupą prokuratury po interwencji policji