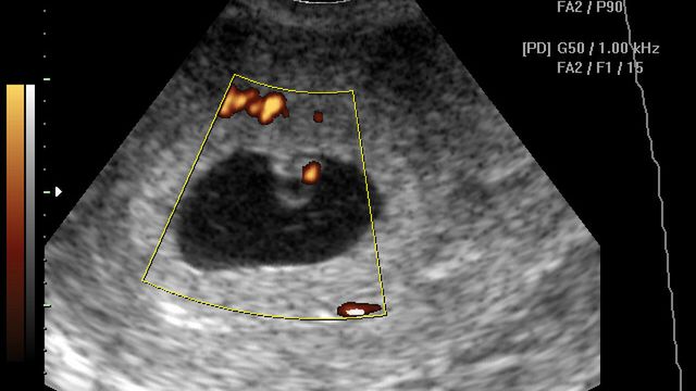
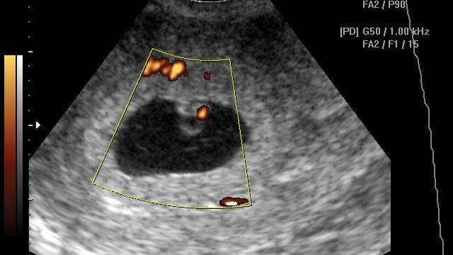
Płód w 6 tygodniu ciąży

Dziecko w 6 tygodniu ciąży ma kompletny układ nerwowy, dynamicznie rozwija się wątroba

Obraz

/ 1Płód w 6 tygodniu ciąży - obraz USG

Obraz

Rozpoczyna się rozwój łożyska, które wkrótce przejmie funkcję hormonów

Źródło artykułu: WP abcZdrowie
Wybrane dla Ciebie
Symbol świąt. Jemioła jest trująca, ale może wspomagać ciśnienie krwi
Symbol świąt. Jemioła jest trująca, ale może wspomagać ciśnienie krwi
Obwód uda może świadczyć o ryzyku zgonu? Naukowcy wiedzą, ile cm to minimum
Obwód uda może świadczyć o ryzyku zgonu? Naukowcy wiedzą, ile cm to minimum
Polacy przejadają się w święta. "Zapalenie trzustki, żołądka czy przełyku"
Polacy przejadają się w święta. "Zapalenie trzustki, żołądka czy przełyku"
Izba bez lekarza zamiast porodówki? MZ nie chce dopłacać do nierentownych oddziałów
Izba bez lekarza zamiast porodówki? MZ nie chce dopłacać do nierentownych oddziałów
Uważaj na tę rybę. GIS ostrzega przed alternatywą dla karpia
Uważaj na tę rybę. GIS ostrzega przed alternatywą dla karpia
Tysiące chorych bez finansowania z NFZ. Eksperci alarmują o niedoszacowanych kontraktach
Tysiące chorych bez finansowania z NFZ. Eksperci alarmują o niedoszacowanych kontraktach
Dla tych Polaków grypa jest szczególnie niebezpieczna. Rośnie ryzyko zawału
Dla tych Polaków grypa jest szczególnie niebezpieczna. Rośnie ryzyko zawału
Tak objawia się rak trzustki. Trzeba być niezwykle czujnym
Tak objawia się rak trzustki. Trzeba być niezwykle czujnym
Nie bierz tego leku. Może zagrażać życiu. Jest pilna reakcja GIF
Nie bierz tego leku. Może zagrażać życiu. Jest pilna reakcja GIF
Nowe zasady finansowania rezonansu i tomografii. Zmiany od 1 stycznia
Nowe zasady finansowania rezonansu i tomografii. Zmiany od 1 stycznia
Tu na karetkę czeka się najdłużej. GUS wskazuje, gdzie przekracza to nawet 20 minut
Tu na karetkę czeka się najdłużej. GUS wskazuje, gdzie przekracza to nawet 20 minut
Łatwo przekroczyć ten limit. ZUS może wtedy pobrać pieniądze z automatu
Łatwo przekroczyć ten limit. ZUS może wtedy pobrać pieniądze z automatu