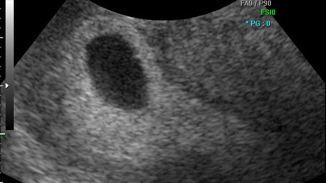
Płód w 9 tygodniu ciąży (bliźniaki jednokosmówkowe) -zdjęcia

W 9 tygodniu kształtują się nos, usta, powieki. Zanika charakterystyczny dla embriona ogonek

Obraz

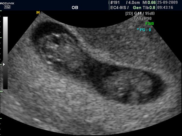
/ 3Płód w 9 tygodniu ciąży (bliźniaki jednokosmówkowe) - organy wewnętrzne

Obraz

Serce dziecka posiada cztery komory, kształtują się organy wewnętrzne płodu

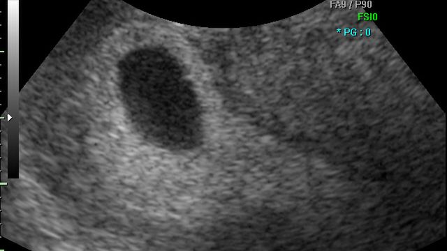
/ 3Płód w 9 tygodniu ciąży (bliźniaki jednokosmówkowe) - rozwój dziecka

Obraz

Formują się oczy i ząbki dziecka

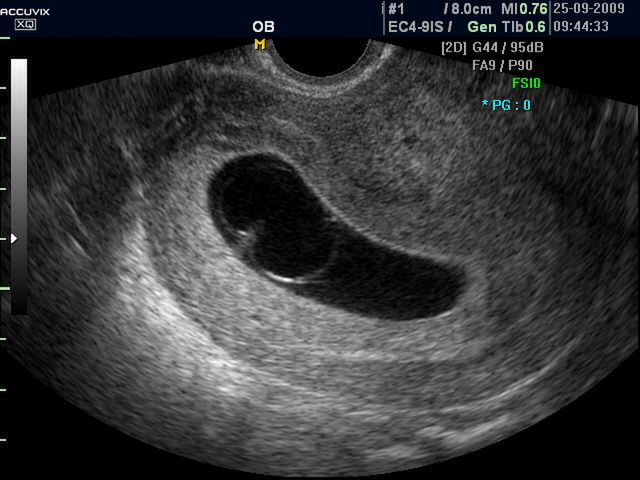
/ 3Płód w 9 tygodniu ciąży (bliźniaki jednokosmówkowe) - wielkość płodu

Obraz

W 9 tygodniu dziecko waga dziecka zaczyna dynamiczniej rosnąć

Źródło artykułu: WP abcZdrowie
Wybrane dla Ciebie
Auchan wycofuje popularną przekąskę. Sprawdź numer partii
Auchan wycofuje popularną przekąskę. Sprawdź numer partii
Choroba, która zabiła Beethovena. Analiza DNA ujawniła niespodziewanego winowajcę
Choroba, która zabiła Beethovena. Analiza DNA ujawniła niespodziewanego winowajcę
Długie siedzenie szkodzi naczyniom. Zimowy napój pomaga w zapobieganiu zmianom
Długie siedzenie szkodzi naczyniom. Zimowy napój pomaga w zapobieganiu zmianom
Rak coraz częściej staje się chorobą przewlekłą. To sukces medycyny, ale też wyzwania dla systemu
Rak coraz częściej staje się chorobą przewlekłą. To sukces medycyny, ale też wyzwania dla systemu
Błagała o cesarskie cięcie. Dziś jej synek jest niepełnosprawny, a rodzice walczą o sprawiedliwość
Błagała o cesarskie cięcie. Dziś jej synek jest niepełnosprawny, a rodzice walczą o sprawiedliwość
Chudną przez Ozempic. Potem pojawiają się skutki uboczne. Specjaliści apelują ws. oznaczeń
Chudną przez Ozempic. Potem pojawiają się skutki uboczne. Specjaliści apelują ws. oznaczeń
Zwiększa ryzyko nowotworów. Wpływa na procesy zapalne i uszkadza DNA komórek
Zwiększa ryzyko nowotworów. Wpływa na procesy zapalne i uszkadza DNA komórek
Szpital w Bielsku-Białej zamknięty. W maju doszło tam do tragedii
Szpital w Bielsku-Białej zamknięty. W maju doszło tam do tragedii
Król Karol III apeluje, by badać się pod kątem chorób nowotworowych. Sam zmaga się z rakiem
Król Karol III apeluje, by badać się pod kątem chorób nowotworowych. Sam zmaga się z rakiem
Unikaj w czasie infekcji. Nasilają objawy choroby i spowalniają powrót do zdrowia
Unikaj w czasie infekcji. Nasilają objawy choroby i spowalniają powrót do zdrowia
Otwierasz oczy, zanim zadzwoni poranny alarm? To dlatego ciało czasem wyprzedza budzik
Otwierasz oczy, zanim zadzwoni poranny alarm? To dlatego ciało czasem wyprzedza budzik
Więcej pieniędzy, ale rosnąca dziura w budżecie NFZ. Mija dwa lata rządu Donalda Tuska
Więcej pieniędzy, ale rosnąca dziura w budżecie NFZ. Mija dwa lata rządu Donalda Tuska