Projekt "topografia łez" - czym jest i co mówi o naszych łzach

Płaczemy z wielu powodów. Czasem łzy są efektem naszej radości, złości lub smutku, a czasem pojawiają się na skutek działania czynników zewnętrznych - mocnego słońca, silnego wiatru, czy np. krojenia cebuli. Do tej pory nikt nie zastanawiał się nad tym, czy ludzkie łzy czymś się od siebie różnią. Zmienił to projekt "Topografia łez".

Łzy wyrażające tęsknotęŁzy wyrażające tęsknotę
Źródło zdjęć: © http://rose-lynnfisher.com/tears.html
Kinga Olchowy

Dlaczego płaczemy?

Łzy są odzwierciedleniem naszego stanu emocjonalnego. Wiele osób nadaje im moc oczyszczającą - płacząc pozbywamy się emocji.

Przyczyn płaczu nie należy jednak szukać tylko w emocjach, ale także w ludzkiej fizjologii - nasze oczy łzawią, kiedy dostanie się do nich drażniąca substancja, kiedy są zbyt mocno wysuszone i potrzebują nawilżenia. Łzy pojawiają się także podczas krojenia cebuli, a także bardzo silnego kaszlu.

Łzy podstawowe i łzy emocji - czym się od siebie różnią?

Łzy, w zależności od tego, czy powstają na skutek radości, smutku, czy spaceru po mieście w wietrzny dzień, różnią się od siebie przede wszystkim składem chemicznym. Ogólnie rzecz biorąc, pojedyncza łza to wodny roztwór soli z dodatkiem składników, które w organizmie pełną określone funkcje.

Łzy pojawiające się podczas krojenia cebuli
Łzy pojawiające się podczas krojenia cebuli © http://rose-lynnfisher.com/tears.html

W zależności od rodzaju łez, dodatkowe składniki będą inne.

Łzy podstawowe

Łzy podstawowe są naturalną reakcją organizmu na niesprzyjające czynniki zewnętrzne. Ich zadaniem jest zapewnienie odpowiedniego poziomu nawilżenia rogówki i ochronić są przed zanieczyszczeniami.

Łzy podstawowe zawierają w sobie lizozym, który działa przeciwbakteryjnie, a także laktoferynę. Jej zadaniem jest ochrona oka przed chorobotwórczymi patogenami.

Jeśli na oczy działają czynniki drażniące, takie jak silny zapach, dym czy słońce, wytwarzane łzy są bardziej wodniste. Ich zadanie to przede wszystkim przepłukanie oka i uwolnienie go od substancji drażniącej.

Łzy śmiechu
Łzy śmiechu © http://rose-lynnfisher.com/tears.html

We łzach podstawowych zawarte są także ochronne przeciwciała.

Łzy emocji

Jeżeli odczuwamy silne emocje i to one, a nie czynniki zewnętrzne, prowokują płacz, skład łez znacznie się różni. Inna jest także ich gęstość. Zamiast ochronnych składników, zawierają głównie hormony i neuroprzekaźniki.

Ich rodzaj różni się w zależności od tego, z jakiego powodu płaczemy. Najczęściej jednak w składzie łez emocjonalnych znajdziemy prolaktynę, czyli hormon wydzielany podczas porodu i orgazmu. Jest to substancja opioidowa, co oznacza, że działa silnie przeciwbólowo.

Dodatkowo we łzach często pojawia się także hormon ACTH (adrenokortykotropowy). Pobudza on wydzielanie dwóch hormonów stresu - adrenaliny i kortyzolu.

Projekt "Topografia łez" - co to jest i jak powstał

Łzy okazały się na tyle fascynującym zjawiskiem, że zainspirowały pewną artystkę do przeprowadzenia eksperymentu.

Amerykańska fotografka Rose-Lynn Fisher po śmierci swojej przyjaciółki postanowiła zbadać łzy i ocenić, czy ich wygląd różni się w zależności od powodu płaczu.

Była zafascynowana różnorodnością łez i dlatego postanowiła, że będzie fotografować wszystkie, które wypłacze.

Projekt "Topografia łez" rozpoczął się w 2008 roku, wtedy też zmarła przyjaciółka Rose-Lynn. Od tego czasu za każdym razem, kiedy fotografka płakała z jakiegokolwiek powodu, obrazowała swoje łzy.

Topografia łez - metody badawcze

Przez to, że łzy są małe i nietrwałe, Rose-Lynn Fisher zbierała je na szkiełko i pozwalała wyschnąć. Następnie przy pomocy swojego aparatu fotograficznego robiła im zdjęcia. Montowała swój sprzęt na specjalnym, bardzo staromodnym mikroskopie. Dzięki temu uzyskała stokrotnie powiększony obraz.

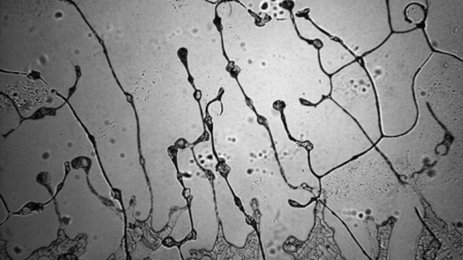
Łzy przytłoczenia
Łzy przytłoczenia

Fisher sfotografowała między innymi łzy żalu, przytłoczenia, uniesienia, a także te wypłakane z radości i podczas krojenia cebuli.

Topografia łez - wnioski

Efekt eksperymentu był zaskakujący. Okazało się, że ludzkie łzy różnią się nie tylko składem, ale także wyglądem. W zależności od powodu płaczu pojedyncze łzy mogły być większe lub mniejsze, bardziej lub mniej gęste.

Część z nich rozlewało się w formie plamy, inne przypominały kawałki sznurka. Wszystkie ukazane przez nią łzy miały niezwykłe kształty, niektóre nawet układały się we wzory przypominające płatki śniegu.

Eksperyment Rose-Lynn Fisher pokazał, że ludzkie łzy są jeszcze bardziej niezwykłe i różnorodne nie tylko z perspektywy chemicznej, ale także wizualnej.

Treści w naszych serwisach służą celom informacyjno-edukacyjnym i nie zastępują konsultacji lekarskiej. Przed podjęciem decyzji zdrowotnych skonsultuj się ze specjalistą.

Wybrane dla Ciebie
Izba bez lekarza zamiast porodówki? MZ nie chce dopłacać do nierentownych oddziałów
Izba bez lekarza zamiast porodówki? MZ nie chce dopłacać do nierentownych oddziałów
Uważaj na tę rybę. GIS ostrzega przed alternatywą dla karpia
Uważaj na tę rybę. GIS ostrzega przed alternatywą dla karpia
Tysiące chorych bez finansowania z NFZ. Eksperci alarmują o niedoszacowanych kontraktach
Tysiące chorych bez finansowania z NFZ. Eksperci alarmują o niedoszacowanych kontraktach
Dla tych Polaków grypa jest szczególnie niebezpieczna. Rośnie ryzyko zawału
Dla tych Polaków grypa jest szczególnie niebezpieczna. Rośnie ryzyko zawału
Tak objawia się rak trzustki. Trzeba być niezwykle czujnym
Tak objawia się rak trzustki. Trzeba być niezwykle czujnym
Nie bierz tego leku. Może zagrażać życiu. Jest pilna reakcja GIF
Nie bierz tego leku. Może zagrażać życiu. Jest pilna reakcja GIF
Nowe zasady finansowania rezonansu i tomografii. Zmiany od 1 stycznia
Nowe zasady finansowania rezonansu i tomografii. Zmiany od 1 stycznia
Tu na karetkę czeka się najdłużej. GUS wskazuje, gdzie przekracza to nawet 20 minut
Tu na karetkę czeka się najdłużej. GUS wskazuje, gdzie przekracza to nawet 20 minut
Łatwo przekroczyć ten limit. ZUS może wtedy pobrać pieniądze z automatu
Łatwo przekroczyć ten limit. ZUS może wtedy pobrać pieniądze z automatu
Trzy promile na dyżurze. Lekarz z Poniatowej pod lupą prokuratury po interwencji policji
Trzy promile na dyżurze. Lekarz z Poniatowej pod lupą prokuratury po interwencji policji
Białko ratunkiem dla serca? Badacze sprawdzili, że może spowalniać niewydolność
Białko ratunkiem dla serca? Badacze sprawdzili, że może spowalniać niewydolność
Jednorazowa terapia może obniżać LDL i trójglicerydy. "To piękny nowy świat"
Jednorazowa terapia może obniżać LDL i trójglicerydy. "To piękny nowy świat"