Rentgen – badanie RTG, wskazania i przeciwwskazania

Rentgen (RTG) to bezbolesne i mało inwazyjne badanie obrazowe stosowane w diagnostyce wielu różnych schorzeń. Wykorzystuje promieniowanie rentgenowskie do uwidocznienia ewentualnych zmian i patologii wewnątrz ciała. Co to RTG? Czy rentgen jest szkodliwy i ile się czeka na wynik RTG?

Rentgen to jednostka dawki promieniowania jonizującego, aparat emitujący promieniowanie rentgenowskie, a także wynik badania radiologicznego, czyli zdjęcie RTG.Rentgen to jednostka dawki promieniowania jonizującego, aparat emitujący promieniowanie rentgenowskie, a także wynik badania radiologicznego, czyli zdjęcie RTG.
Źródło zdjęć: © Pixabay

Co to jest rentgen?

Rentgen to potoczne określenie zdjęcia rentgenowskiego, inaczej rentgenogramu (skrót RTG). To szybkie, bezbolesne i mało inwazyjne badanie radiologiczne i jedna z najbardziej popularnych technik obrazowania wykorzystująca promienie rentgenowskie.

Jak działa rentgen? Badanie RTG (rentgenografia) polega na krótkotrwałym napromieniowaniu ciała promieniami rentgenowskimi, czyli rodzajem promieniowania jonizującego. Dzięki temu możliwe jest zobrazowanie zmian i nieprawidłowości wewnątrz organizmu. Zdjęcie RTG przedstawia precyzyjny obraz narządów wewnętrznych prześwietlanego obszaru.

Prześwietlenie RTG wykorzystuje zróżnicowaną zdolność tkanek do pochłaniania promieniowania, co jest widoczne na wynikach w postaci różnych odcieni szarości. Kości, z uwagi na wysoką zawartość wapnia, absorbują dużą ilość promieniowania, na zdjęciu z prześwietlenia (zdjęciu wykonanego aparatem rentgenowskim) są widoczne jako jasne miejsca.

W odwrotny sposób zostają zobrazowane tkanki miękkie, które występują jako ciemne obszary na wynikach. Czasem w celu lepszego uwidocznienia ewentualnych patologii podaje się środek cieniujący, czyli kontrast. Wówczas przeprowadzane badanie określane jest mianem RTG z kontrastem (rentgenem z kontrastem).

Wskazania do badania RTG

Badanie rentgenowskie ma szerokie zastosowanie, pozwala na wykrycie różnych nieprawidłowości i zmian: zapalnych, pourazowych, zwyrodnieniowych, jak również nowotworowych w wielu różnych narządach. Na podstawie wykonanego prześwietlenia rentgenowskiego możliwe jest postawienie diagnozy bądź wykluczenie choroby.

Wskazania do wykonania badania z wykorzystaniem promieniowania RTG to:

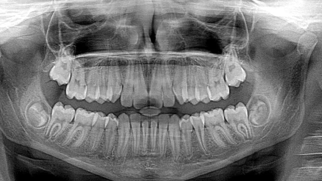
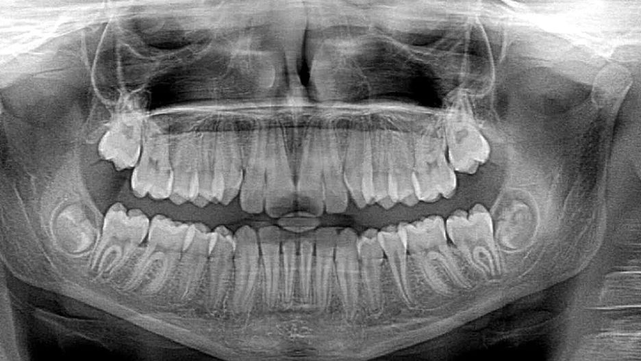
  • rentgen zęba (rentgen pantomograficzny, cefalometryczny lub punktowy) to badanie wykonywane podczas leczenia kanałowego czy ortodontycznego, przed ekstrakcją zęba, przy diagnozowaniu próchnicy oraz stanów zapalnych zębów,
  • rentgen kręgosłupa (inaczej rentgen pleców) wykonuje się przy podejrzeniu zmian zwyrodnieniowych, pourazowych, zapalnych, jak również w celu oceny wad postawy. RTG kręgosłupa (szyjnego, lędźwiowo-krzyżowego) zleca się zwykle w przypadku nasilonych dolegliwościach bólowych,
  • rentgen klatki piersiowej to między innymi rentgen serca i RTG płuc, badanie wykonuje się przy podejrzeniu zapalenia płuc, odmy, płynu w opłucnej, gruźlicy czy zmian nowotworowych,
  • RTG jamy brzusznej wykonuje się w przypadku ostrych dolegliwości bólowych, przy podejrzeniu perforacji, niedrożności oraz stanów zapalnych,
  • rentgen zatok - w celach diagnostycznych zwykle wykonuje się kilka zdjęć pod różnymi kątami, dzięki temu możliwe jest zobrazowanie zatok położonych w różnych rejonach twarzoczaszki. To projekcja Watersa (inaczej: potyliczno-bródkowa), projekcja Caldwella (inaczej: potyliczno-czołowa), projekcja podstawy czaszki czy projekcja boczna, w tym rentgen oka (RTG oczodołu),
  • rentgen kolana. Badanie jest wykonywane w przypadku podejrzenia uszkodzenia stawu kolanowego, jak również przy nieokreślonych bólach zogniskowanych w jego obrębie,
  • rentgen nosogardla - RTG nosogardla to przykład rentgena dziecka (RTG dzieci) wykonywanego w diagnostyce przerostu migdałka gardłowego,
  • rentgen ręki - prześwietlenie ręki umożliwia rozpoznanie złamania oraz pęknięcia, a także zmiany zwyrodnieniowych czy reumatycznych, wykonywany jest także rentgen przedramienia.

Rentgen - jak się przygotować do badania?

Badanie RTG zwykle nie wymaga specjalnego przygotowania. Zazwyczaj wystarczy zdjęcie ozdób: kolczyków, spinek, łańcuszków czy pasów zawierających metalowe elementy.

Wyjątkiem jest diagnostyka przewodu pokarmowego oraz odcinka lędźwiowo-krzyżowego. W przypadku rentgena jamy brzusznej oraz prześwietlenia kręgosłupa lędźwiowego należy być na czczo i zadbać o dietę lekkostrawną.

Dobę przed badaniem należy również zażyć preparat przeczyszczający. Badanie RTG jest bezbolesne i trwa zwykle kilka minut. Po zakończonym rentgenie pacjent otrzymuje zdjęcie lub jego zapis na płycie. W późniejszym terminie dołącza się do niego opis diagnostyczny.

Rentgen - przeciwwskazania i środki ostrożności

RTG wykonuje się wyłącznie z polecenia lekarza wyłącznie w sytuacjach, gdy jest to konieczne. Ponieważ żadna dawka promieniowania rentgenowskiego nie jest obojętna dla zdrowia, przeciwwskazany jest rentgen w ciąży, zwłaszcza w trzecim trymestrze, z uwagi na ryzyko uszkodzenia płodu.

W przypadku wysokiej konieczności stosuje się specjalne środki ostrożności. Na wszelki wypadek kobiety w wieku rozrodczym powinny poddawać się RTG w pierwszej połowie cyklu.

Ponieważ u dzieci i młodzieży działanie szkodliwego promieniowania jest o wiele większe niż u dorosłych, w ich przypadku badanie RTG jest wykonywane jedynie w sytuacjach, kiedy jest to absolutnie konieczne.

Należy pamiętać, że szczególnie niebezpieczna może być częsta ekspozycja na promieniowanie. Badanie powinno być zlecane przez lekarza jedynie w uzasadnionych przypadkach. Co istotne skierowanie na RTG, zarówno w ramach NFZ, jak i odpłatne, nie posiada ściśle określonej liczby dni, po których ustaje jego ważność.

Jak często można robić RTG?

Czy RTG jest szkodliwe? Prześwietlenie rentgenowskie nie jest całkowicie obojętne dla organizmu, szkodliwość promieniowania rentgenowskiego jest zależna od dawki skumulowanej, czyli ilości promieniowania przyjętej w ciągu całego życia.

Na stężenie ma również wpływ praca zawodowa i tzw. promieniowanie tła (pochodzące z kosmosu i ziemi). Badanie RTG wymaga użycia niewielkiej ilości promieni Roentgena i nie wywołuje żadnych powikłań.

Szkodliwość RTG wykonywanego na wskazanie lekarza jest bardzo niska, badanie rentgenowskie może być również wykorzystywane w diagnostyce dzieci (RTG u dzieci, RTG niemowlaka, rentgen niemowlaka).

Treści w naszych serwisach służą celom informacyjno-edukacyjnym i nie zastępują konsultacji lekarskiej. Przed podjęciem decyzji zdrowotnych skonsultuj się ze specjalistą.

Wybrane dla Ciebie
Katalog usług na Akademii NFZ. Spore ułatwienie dla pacjentów
Katalog usług na Akademii NFZ. Spore ułatwienie dla pacjentów
Mąka, która wspiera odchudzanie. Jeszcze niedawno egzotyka, dziś hit wśród dbających o jelita
Mąka, która wspiera odchudzanie. Jeszcze niedawno egzotyka, dziś hit wśród dbających o jelita
Pozwala szybko wychwycić spadki i nagłe wzrosty cukru we krwi. Dane od razu w telefonie
Pozwala szybko wychwycić spadki i nagłe wzrosty cukru we krwi. Dane od razu w telefonie
RPO alarmuje. Zmiany w ochronie zdrowia psychicznego za bardzo ograniczą prawa obywateli?
RPO alarmuje. Zmiany w ochronie zdrowia psychicznego za bardzo ograniczą prawa obywateli?
Jak barszcz to tylko taki. Przepis, który podreperuje zdrowie
Jak barszcz to tylko taki. Przepis, który podreperuje zdrowie
Wstrzymanie w obrocie leku stosowanego w stanach lękowych. Jest decyzja GIF
Wstrzymanie w obrocie leku stosowanego w stanach lękowych. Jest decyzja GIF
Witaminy, których absolutnie nie należy brać na noc. Niewiele osób o tym wie, stąd problemy
Witaminy, których absolutnie nie należy brać na noc. Niewiele osób o tym wie, stąd problemy
Nowy wariant wirusa grypy. W USA rośnie liczba chorych
Nowy wariant wirusa grypy. W USA rośnie liczba chorych
Lekarze alarmują: Limitowanie wizyt uderzy w pacjentów. NFZ się tłumaczy
Lekarze alarmują: Limitowanie wizyt uderzy w pacjentów. NFZ się tłumaczy
Zatrucie po popularnym daniu. Ministerstwo zdrowia WKS podało bilans ofiar
Zatrucie po popularnym daniu. Ministerstwo zdrowia WKS podało bilans ofiar
Zmarł ceniony ginekolog. "Wielu z nas powitał na świecie"
Zmarł ceniony ginekolog. "Wielu z nas powitał na świecie"
Najbardziej oblegane specjalizacje lekarskie. Prof. Filipiak prezentuje zestawienie
Najbardziej oblegane specjalizacje lekarskie. Prof. Filipiak prezentuje zestawienie