Rewizyjna rekonstrukcja więzadła krzyżowego przedniego

Zdjęcia radiologiczne pacjenta w 5 tygodniu po rekonstrukcji kolana po ponownym urazie skrętnym

Obraz

/ 8Badanie TK

Obraz

Badanie TK, rekonstrukcja wielopłaszczyznowa (MPR)

/ 8Pobrania przeszczepu

Obraz

Pobranie przeszczepu allogenicznego z więzadła rzepki

/ 8Przeszczep allogeniczny z więzadła rzepki

Obraz

Przeszczep allogeniczny z więzadła rzepki po opracowaniu w Centralnym Banku Tkanek Akademii Medycznej w Warszawie

/ 8Tkanka do przeszczepu

Obraz

Obszyty przeszczep allogeniczny

/ 8"Kąpiel" w osoczy bogatopłytkowym

Obraz

Przeszczep w trakcie „kąpieli” w osoczu bogatopłytkowym

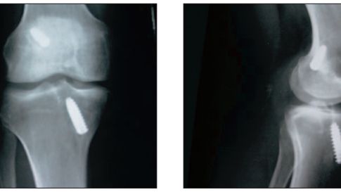
/ 8Zdjęcie RTG

Obraz

Rtg pacjenta po rewizynej rekonstrukcji ACL z zastosowaniem allograftu

/ 8Badanie MR 6 tygodniach od zabiegu

Obraz

Badanie MR 6 tygodniach od zabiegu – (A) widoczny kanał piszczelowy, (B) część śródstawowa więzadła, (C) kanał udowy

/ 8Badanie MR 12 tygodnie od zabiegu

Obraz

Badanie MR 12 tygodnie od zabiegu (A) kanał piszczelowy, (B) część śródstawowa więzadła, (C) kanał udowy

Źródło artykułu: WP abcZdrowie
Wybrane dla Ciebie
Izba bez lekarza zamiast porodówki? MZ nie chce dopłacać do nierentownych oddziałów
Izba bez lekarza zamiast porodówki? MZ nie chce dopłacać do nierentownych oddziałów
Uważaj na tę rybę. GIS ostrzega przed alternatywą dla karpia
Uważaj na tę rybę. GIS ostrzega przed alternatywą dla karpia
Tysiące chorych bez finansowania z NFZ. Eksperci alarmują o niedoszacowanych kontraktach
Tysiące chorych bez finansowania z NFZ. Eksperci alarmują o niedoszacowanych kontraktach
Dla tych Polaków grypa jest szczególnie niebezpieczna. Rośnie ryzyko zawału
Dla tych Polaków grypa jest szczególnie niebezpieczna. Rośnie ryzyko zawału
Tak objawia się rak trzustki. Trzeba być niezwykle czujnym
Tak objawia się rak trzustki. Trzeba być niezwykle czujnym
Nie bierz tego leku. Może zagrażać życiu. Jest pilna reakcja GIF
Nie bierz tego leku. Może zagrażać życiu. Jest pilna reakcja GIF
Nowe zasady finansowania rezonansu i tomografii. Zmiany od 1 stycznia
Nowe zasady finansowania rezonansu i tomografii. Zmiany od 1 stycznia
Tu na karetkę czeka się najdłużej. GUS wskazuje, gdzie przekracza to nawet 20 minut
Tu na karetkę czeka się najdłużej. GUS wskazuje, gdzie przekracza to nawet 20 minut
Łatwo przekroczyć ten limit. ZUS może wtedy pobrać pieniądze z automatu
Łatwo przekroczyć ten limit. ZUS może wtedy pobrać pieniądze z automatu
Trzy promile na dyżurze. Lekarz z Poniatowej pod lupą prokuratury po interwencji policji
Trzy promile na dyżurze. Lekarz z Poniatowej pod lupą prokuratury po interwencji policji
Białko ratunkiem dla serca? Badacze sprawdzili, że może spowalniać niewydolność
Białko ratunkiem dla serca? Badacze sprawdzili, że może spowalniać niewydolność
Jednorazowa terapia może obniżać LDL i trójglicerydy. "To piękny nowy świat"
Jednorazowa terapia może obniżać LDL i trójglicerydy. "To piękny nowy świat"