Choroba Kawasakiego - przyczyny, objawy, przebieg, rozpoznanie, leczenie

Choroba Kawasakiego może być łatwo pomylona z innym schorzeniem, a skutki źle dobranego leczenia mogą być tragiczne. Dzieci często chorują, a infekcjom czasami towarzyszy wysoka gorączka. W każdym przypadku rodzice i opiekunowie powinni zachować czujność, a wszelkie wątpliwości należy konsultować z lekarzem.

Choroba Kawasakiego i koronawirus mogą dawać podobne objawyChoroba Kawasakiego i koronawirus mogą dawać podobne objawy
Źródło zdjęć: © Getty Images

Co to jest choroba Kawasakiego

Choroba Kawasakiego lub zespół Kawasakiego (tzw. zespół skórno-śluzówkowo-węzłowy) to ostra choroba zakaźna, w przebiegu której dochodzi do uogólnionego zapalenia tętnic różnego kalibru – główne znaczenie ma zajęcie dużych naczyń wieńcowych, z towarzyszącymi zmianami błon śluzowych i powiększeniem węzłów chłonnych.

W 80 proc. przypadków choroba Kawasakiego dotyka dzieci poniżej 5 roku życia - szczyt zachorowań przypada między 1. a 2. rokiem życia, do rzadkości należą pacjenci powyżej 8. roku życia i dorośli. Nieco częściej chorują chłopcy.

Brak właściwej opieki lekarskiej może skończyć się śmiercią. Według statystyk 2 na 100 chorujących dzieci umiera. Główną przyczyną zgonu jest zawał serca. Chorych męczy wysoka gorączka oraz inne symptomy np. wysypka, podwyższone wskaźniki morfologii. Zarówno w trakcie choroby, jak i po niej pacjent powinien przebywać pod ścisłą obserwacją lekarską.

Przyczyny choroby Kawasakiego

Etiologia choroby Kawasakiego nadal pozostaje zagadką. Rozważa się rolę czynników infekcyjnych, indukujących układ odpornościowy do nadmiernej aktywacji.

Za tą hipotezą przemawia pewna sezonowość występowania choroby - najwięcej przypadków odnotowuje się jesienią i wiosną, czyli w okresie nasilenia u dzieci wszelkich innych infekcji. Nie bez znaczenia pozostają również predyspozycje genetyczne.

Objawy choroby Kawasakiego

W ostrej fazie choroby Kawasakiego stwierdza się następujące objawy kliniczne:

  • gorączka – 39°-40°C, trwająca co najmniej 5 dni i nieodpowiadająca na leczenie antybiotykiem,
  • zapalenie spojówek – obustronne, nieropne, objawiające się zaczerwienieniem oka bez wysięku i bolesności, często z towarzyszącym światłowstrętem,
  • powiększenie 1,5 cm i tkliwość węzłów chłonnych (najczęściej szyjnych) – jednostronne.
  • polimorficzna wysypka - od zmian obserwowanych w pokrzywce, do plamek i grudek charakterystycznych dla odry na tułowiu i kończynach,
  • zmiany na śluzówkach jamy ustnej i wargach – przekrwienie błony śluzowej jamy ustnej i gardła, malinowy język, przekrwienie, obrzęk, popękanie i suchość warg,
  • zmiany skórne na kończynach - rumień skóry dłoni i podeszew, obrzęk rąk i stóp, po 2-3 tygodniach masywne złuszczanie naskórka wokół paznokci.

Poza klasyczną, istnieje także atypowa postać choroby Kawasakiego, którą powinno się podejrzewać u każdego dziecka do 5. roku życia, jeżeli występuje u niego gorączka niewiadomego pochodzenia trwającą ponad 5 dni.

Objawy występują w 3 fazach. Na początku pojawia się wysoka gorączka i wysypka, w kolejnej fazie - ból brzucha, wymioty oraz biegunka. Ostatnia faza objawia się zmęczeniem, ogólnym osłabieniem i brakiem energii.

Przebieg choroby Kawasakiego

Wszystkie nieprawidłowości występujące w ostrym okresie choroby Kawasakiego mają charakter łagodny i tendencję do samoograniczania się, nawet w przypadku braku leczenia.

Największy problem kliniczny stanowi natomiast zapalenie tętnic, zwłaszcza wieńcowych, którego cechą charakterystyczną jest powstawanie miejscowych poszerzeń i tętniaków (u 15–25 proc. chorych nieleczonych).

Z tego względu u każdego dziecka z podejrzeniem choroby Kawasaki konieczne jest wykonanie badania echokardiograficznego serca, w celu oceny stanu tętnic wieńcowych. Badanie to należy powtarzać co 10–14 dni w ostrym okresie choroby, a następnie w czasie długotrwałej obserwacji dziecka.

Oprócz tętniaków może również rozwinąć się zapalenie wsierdzia, zapalenie mięśnia sercowego i osierdzia. Zmiany na tętnicach wieńcowych w 50 proc. przypadków cofają się, jednak ich następstwem w wieku dorosłym może być choroba niedokrwienna serca.

Ponadto w 3 proc. przypadków mogą one nawet doprowadzić do zgonu dziecka w ostrym okresie choroby z powodu zawału. Dlatego tak ważna jest świadomość istnienia choroby Kawasakiego - tak wśród rodziców, jak i lekarzy, zwłaszcza pierwszego kontaktu - umożliwiająca szybkie rozpoznanie i podjęcie stosownej terapii.

Rozpoznanie choroby Kawasakiego

Nie istnieją żadne specyficzne testy laboratoryjne potwierdzające diagnozę choroby Kawasakiego. Dlatego podstawą prawidłowego rozpoznania pozostaje doświadczenie lekarza i uważne badanie chorego.

Warunkiem rozpoznania choroby Kawasakiego jest stwierdzenie pierwszego (wysoka gorączka) i co najmniej 4 z pozostałych 5 objawów. W badaniach dodatkowych można stwierdzić ponadto:

  • podwyższony poziom OB i CRP,
  • nadpłytkowość (prawie zawsze),
  • podwyższoną leukocytozę,
  • nieznaczną niedokrwistość,
  • obniżony poziom albumin,
  • niewielkiego stopnia białkomocz, jałowy ropomocz.

Natomiast do rozpoznania postaci atypowej choroby Kawasakiego upoważnia stwierdzenie - oprócz gorączki - 3 z 5 charakterystycznych objawów klinicznych, jeśli towarzyszą im zdiagnozowane zmiany w naczyniach wieńcowych lub więcej niż 2 spośród następujących wskaźników laboratoryjnych:

  • niskie stężenie albumin w osoczu,
  • niski hematokryt,
  • wysoka aktywność ALAT,
  • podwyższone OB.

Leczenie choroby Kawasakiego

Leczenie ostrego okresu choroby Kawasakiego ma przede wszystkim na celu ograniczenie stanu zapalnego w tętnicach wieńcowych, by zapobiec rozwojowi tętniaków i zakrzepów w świetle tych naczyń. Terapia choroby Kawasakiego obejmuje:

  • hospitalizację,
  • dożylne podawanie dużych dawek immunoglobulin,
  • zastosowanie aspiryny, przez różnie długi okres w zależności od przebiegu choroby, czasem nawet do końca życia (co ciekawe, choroba Kawasakiego jest jednym z dwóch schorzeń, w których dopuszcza się podawanie kwasu acetylosalicylowego dzieciom).

Ze względu na możliwość wystąpienia poważnych powikłań, leczenie choroby Kawasakiego powinno być bardzo intensywne i należy rozpocząć je jak najwcześniej po rozpoznaniu tego schorzenia.

Choroba Kawasakiego a koronawirus

Lekarze odnotowują na całym świecie coraz więcej przypadków choroby przypominającej zespół Kawasakiego. U części chorych dzieci testy potwierdziły również zakażenie koronawirusem.

Naukowcy zastanawiają się, czy istnieje związek pomiędzy obiema chorobami, czy dodatkowo pojawił się nowy patogen, który atakuje przede wszystkim najmłodszych. Większość odnotowanych do tej pory przypadków dotyczy dzieci poniżej 5. roku życia.

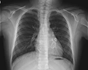
Tętniakowate zmiany i zwapnienia naczyń wieńcowych widoczne na przeglądowym radiogramie klatki piersiowej pacjenta z chorobą Kawasakiego
Tętniakowate zmiany i zwapnienia naczyń wieńcowych widoczne na przeglądowym radiogramie klatki piersiowej pacjenta z chorobą Kawasakiego © Wikipedia

Do tej pory przypadki "nietypowej choroby" zgłaszali lekarze z Wielkiej Brytanii, Francji i Stanów Zjednoczonych. W USA jest na razie 15 dzieci, które cierpią na zespół Kawasakiego i zakażenie koronawirusem.

Na razie oficjalnie nie potwierdzono, że u dzieci, które są zarażone wirusem SARS-CoV-2 może wystąpić dodatkowo zespół Kawasakiego. Obie choroby mogą dawać podobne objawy, co w niektórych przypadkach może prowadzić początkowo do błędnej diagnozy. U chorych dzieci może pojawić się wysoka gorączka, wysypka i biegunka.

Światowa Organizacja Zdrowia zaapelowała do lekarzy na całym świecie o zwiększoną czujność i zgłaszanie wszystkich takich przypadków.

Choroba Kawasakiego u dzieci w USA

Koronawirus w USA nie daje za wygraną. Władze Nowego Jorku ogłosiły alert zdrowotny w związku z pojawieniem się kolejnych przypadków dzieci z objawami choroby Kawasakiego.

W poniedziałek burmistrz Bill de Blasio poinformował media, że u 4 z 15 przyjętych pacjentów w wieku dziecięcym, wynik testu na obecność koronawirusa był pozytywny. U 6 stwierdzono obecność przeciwciał.

Następnie władze potwierdziły, że kolejnych 25 dzieci jest hospitalizowanych w związku z objawami podobnymi do choroby Kawasakiego. 11 wymagało podłączenia do respiratorów, w stanie ciężkim trafiły na oddział intensywnej terapii. Dziś wiadomo, że w Nowym Jorku już 64 dzieci ma objawy wieloukładowego zespołu zapalnego.

Podobne przypadki zaczęli zgłaszac również lekarze w krajach europejskich dotkniętych pandemią koronawirusa - w Wielkiej Brytanii, Hiszpanii, we Francji i we Włoszech.

Masz newsa, zdjęcie lub filmik? Prześlij nam przez dziejesie.wp.pl

Źródła

  1. Szczeklik A. (red.), Choroby wewnętrzne, Medycyna Praktyczna, Kraków 2011, ISBN 978-83-7430-289-0
  2. Brzosko M. Reumatologia kliniczna, Pomorska Akademia Medyczna, Szczecin 2010, ISBN 978-83-89318-33-7
  3. Milanowski A. (red.), Pediatria, Urban & Partner, Wrocław 2009, ISBN 978-83-7609-098-6
  4. Kawalec W., Kubicka K. Pediatria, Wydawnictwo Lekarskie PZWL, Warszawa 2006, ISBN 83-200-3253-9

Treści w naszych serwisach służą celom informacyjno-edukacyjnym i nie zastępują konsultacji lekarskiej. Przed podjęciem decyzji zdrowotnych skonsultuj się ze specjalistą.

Źródło artykułu: WP abcZdrowie
Wybrane dla Ciebie
Genetyczna tajemnica Hitlera. Mógł mieć zespół Kallmanna
Genetyczna tajemnica Hitlera. Mógł mieć zespół Kallmanna
Brak światła słonecznego osłabia zimą. Ekspert radzi, jak sobie pomóc
Brak światła słonecznego osłabia zimą. Ekspert radzi, jak sobie pomóc
Stosowany od lat na dnę moczanową. Popularny lek może zmniejszać ryzyko zawału
Stosowany od lat na dnę moczanową. Popularny lek może zmniejszać ryzyko zawału
Naukowcy powiązali toczeń z wirusem. Jego nosicielem jest prawie każdy
Naukowcy powiązali toczeń z wirusem. Jego nosicielem jest prawie każdy
Uznański-Wiśniewski spotkał się z przyszłymi lekarzami. Mówił o medycynie kosmicznej
Uznański-Wiśniewski spotkał się z przyszłymi lekarzami. Mówił o medycynie kosmicznej
Lekarze chcą udziału w obradach Zespołu Trójstronnego. Ministerstwo odmawia
Lekarze chcą udziału w obradach Zespołu Trójstronnego. Ministerstwo odmawia
Ten czynnik ogranicza ryzyko zaburzeń psychicznych. Wyniki 20-letniego badania
Ten czynnik ogranicza ryzyko zaburzeń psychicznych. Wyniki 20-letniego badania
Choroba sprzed lat powróciła w Ukrainie. "Widzimy powikłania, których nie widział żaden żyjący człowiek"
Choroba sprzed lat powróciła w Ukrainie. "Widzimy powikłania, których nie widział żaden żyjący człowiek"
Polio wykryte w ściekach w Niemczech. Eksperci uspokajają
Polio wykryte w ściekach w Niemczech. Eksperci uspokajają
Wycofanie ze sklepu Biedronka. Powodem błąd produkcyjny
Wycofanie ze sklepu Biedronka. Powodem błąd produkcyjny
Stanisław Tym zmagał się z rakiem. "Miałem 3 proc. szans na przeżycie"
Stanisław Tym zmagał się z rakiem. "Miałem 3 proc. szans na przeżycie"
Influencer zachęca dzieci do kupowania. Produktem już interesują się dietetycy i UOKiK
Influencer zachęca dzieci do kupowania. Produktem już interesują się dietetycy i UOKiK