Złamanie awulsyjne – przyczyny, objawy i leczenie

Złamanie awulsyjne polega na przerwaniu ciągłości tkanki kostnej. Mówi się o nim, gdy dochodzi do oderwania się fragmentu kostnego z przyczepem więzadła czy ścięgna od głównego masywu kości. Powstaje w wyniku silnego skurczu mięśnia lub niefizjologicznego ruchu stawu. Najczęstszym miejscem patologii są kości skokowe, kości śródstopia i palców, kość łonowa. Na czym polega jego leczenie?

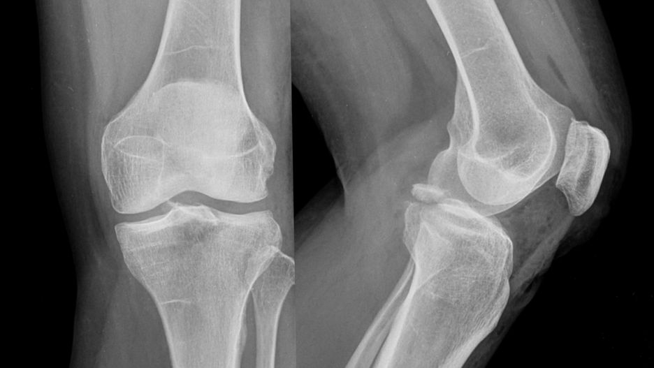
Złamanie awulsyjne najczęściej dotyczy okolic przynasadowychZłamanie awulsyjne najczęściej dotyczy okolic przynasadowych
Źródło zdjęć: © Adobe Stock

Co to jest złamanie awulsyjne?

Złamanie awulsyjne to utrata ciągłości struktury kości z przemieszczeniem lub oderwaniem fragmentu kości w pobliżu większych grup mięśniowych. Jego istotą jest oderwanie fragmentu kości pod wpływem działania dużych sił ze strony aparatu mięśniowego. Mówi się, że to złamanie z szarpnięcia (siła szarpnięcia prowadzi do wyrwania fragmentu kostnego).

Złamanie (łac. fractura) oznacza przerwanie ciągłości kości. Gdy dochodzi do przerwania niecałkowitego, określa się je jako nadłamanie. W zależności od mechanizmu urazu wyróżnia się złamania:

  • na skutek zgięcia,
  • na skutek skręcenia,
  • na skutek przesunięcia,
  • na skutek oderwania (tak zwane złamanie awulsyjne).

8-latek z wrodzoną łamliwością kości podbija internet

Złamanie awulsyjne występuje w miejscach umocowania ścięgien i więzadeł do kości. Najczęściej dotyczy okolic przynasadowych: kości skokowej, guza kulszowego czy kolca biodrowego.

Do złamań awulsyjnych dochodzi najczęściej w obrębie:

  • kości udowej (kolec biodrowy przedni dolny, krętarz mniejszy),
  • kości kulszowej (guz kulszowy),
  • stawu kolanowego (rzepki),
  • stopy (kość skokowa, V kość śródstopia i palców),
  • kości łonowej.

Przyczyny złamania awulsyjnego

Złamanie awulsyjne powstaje, gdy ścięgno lub więzadło wyrywa fragment kostny. Dzieje się tak, gdy przyczepy więzadeł i mięśni są mocniejsze niż kość, a siła mięśniowa jest dużo większa niż wytrzymałość kostna.

Złamanie awulsyjne to zarówno skutek jednorazowego zadziałania siły, jak i konsekwencja wielu mikrourazów (niemniej należy je różnicować ze złamaniem zmęczeniowym). Bywa konsekwencją urazu skrętnego w obrębie stawu, dynamicznego i znacznego rozciągnięcia mięśnia czy bardzo silnego skurczu.

Ryzyko złamania awulsyjnego rośnie w przypadku nowotworu kości, uprawiania sportów wysokiego ryzyka, osteoporozy i podeszłego wieku. Złamanie z szarpnięcia to częsty uraz u dzieci i sportowców.

Objawy awulsyjnego złamania kości

Typowe objawy złamania awulsyjnego to:

  • ból w okolicy złamania, zarówno samoistny, pulsujący i rozpierający, jak i pojawiający się podczas badania palpacyjnego,
  • tkliwość przy dotykaniu w okolicy złamania,
  • brak ograniczenia rozciągania mięśnia,
  • ocieplenie tkanek,
  • obrzęk tkanek powyżej lub poniżej złamania,
  • krwiak, zasinienie,
  • zniekształcenie w obrębie złamania,
  • osłabienie siły mięśniowej,
  • trudności z wykonywaniem ruchu, problem z poruszaniem, obciążaniem kończyny, bolesne ograniczenie ruchomości danego stawu, dyskomfort podczas podejmowania prób w poruszaniu się, czyli utrata funkcji kończyny.

Diagnostyka, leczenie i rehabilitacja

Objawów złamań awulsyjnych nie należy bagatelizować, ponieważ wpływa to nie tylko na komfort funkcjonowania, ale i może skutkować powikłaniami.

Badania wykorzystywane w diagnostyce złamań awulsyjnych to RTG, rezonans magnetyczny (MRI), tomografia komputerowa (TK) i badanie ultrasonograficzne (USG). W przypadku urazu należy zasięgnąć porady ortopedy.

Większość złamań awulsyjnych leczy się zachowawczo. Kluczowe jest unieruchomienie miejsca złamania i odciążenie go przy pomocy opatrunku gipsowego lub ortezy na czas od 4 do 12 tygodni.

Czas gojenia złamania awulsyjnego jest różny, co zależy od wielu czynników, głównie rodzaju i lokalizacji złamania, wieku i stanu pacjenta, chorób współtowarzyszących i tempa gojenia. Średnio trwa około 6 tygodni.

Gdy istnieje u pacjenta duże ryzyko choroby zakrzepowej, zlecana jest farmakologiczna profilaktyka przeciwzakrzepowa. Stosowana jest także terapia przeciwbólowa. Pomaga także utrzymywanie kończyny w elewacji (unoszenie jej) oraz chłodzące okłady.

W przypadku bardziej skomplikowanych złamań zalecana jest operacja chirurgiczna przeprowadzona metodą otwartej redukcji złamań. Wskazaniem jest szczelina złamania przebiega przezstawowo, złamanie znacznie przemieszczone, ale i sytuacja, gdy fragment oderwanej kości jest duży, co wiąże się z ryzykiem konfliktu z innymi strukturami.

Niezależnie od sposobu leczenia złamania awulsyjnego, w celu powrotu do zdrowia i odzyskania pełnej sprawności konieczna jest rehabilitacja i ćwiczenia, co wspiera odtworzenie kości, ale i wzmocnienie mięśni oraz powrót do pełnej sprawności. Ponadto zapobieganie zastojom krwi i limfy.

Treści w naszych serwisach służą celom informacyjno-edukacyjnym i nie zastępują konsultacji lekarskiej. Przed podjęciem decyzji zdrowotnych skonsultuj się ze specjalistą.

Źródło artykułu: WP abcZdrowie
Wybrane dla Ciebie
Choroba, która zabiła Beethovena. Analiza DNA ujawniła niespodziewanego winowajcę
Choroba, która zabiła Beethovena. Analiza DNA ujawniła niespodziewanego winowajcę
Długie siedzenie szkodzi naczyniom. Zimowy napój pomaga w zapobieganiu zmianom
Długie siedzenie szkodzi naczyniom. Zimowy napój pomaga w zapobieganiu zmianom
Rak coraz częściej staje się chorobą przewlekłą. To sukces medycyny, ale też wyzwania dla systemu
Rak coraz częściej staje się chorobą przewlekłą. To sukces medycyny, ale też wyzwania dla systemu
Błagała o cesarskie cięcie. Dziś jej synek jest niepełnosprawny, a rodzice walczą o sprawiedliwość
Błagała o cesarskie cięcie. Dziś jej synek jest niepełnosprawny, a rodzice walczą o sprawiedliwość
Chudną przez Ozempic. Potem pojawiają się skutki uboczne. Specjaliści apelują ws. oznaczeń
Chudną przez Ozempic. Potem pojawiają się skutki uboczne. Specjaliści apelują ws. oznaczeń
Zwiększa ryzyko nowotworów. Wpływa na procesy zapalne i uszkadza DNA komórek
Zwiększa ryzyko nowotworów. Wpływa na procesy zapalne i uszkadza DNA komórek
Szpital w Bielsku-Białej zamknięty. W maju doszło tam do tragedii
Szpital w Bielsku-Białej zamknięty. W maju doszło tam do tragedii
Król Karol III apeluje, by badać się pod kątem chorób nowotworowych. Sam zmaga się z rakiem
Król Karol III apeluje, by badać się pod kątem chorób nowotworowych. Sam zmaga się z rakiem
Unikaj w czasie infekcji. Nasilają objawy choroby i spowalniają powrót do zdrowia
Unikaj w czasie infekcji. Nasilają objawy choroby i spowalniają powrót do zdrowia
Otwierasz oczy, zanim zadzwoni poranny alarm? To dlatego ciało czasem wyprzedza budzik
Otwierasz oczy, zanim zadzwoni poranny alarm? To dlatego ciało czasem wyprzedza budzik
Więcej pieniędzy, ale rosnąca dziura w budżecie NFZ. Mija dwa lata rządu Donalda Tuska
Więcej pieniędzy, ale rosnąca dziura w budżecie NFZ. Mija dwa lata rządu Donalda Tuska
Nowy pasożyt w Polsce. Przybył z Ameryki, a szkodzić może nie tylko przyrodzie
Nowy pasożyt w Polsce. Przybył z Ameryki, a szkodzić może nie tylko przyrodzie