Krwiak podtwardówkowy – przyczyny, charakterystyka, rodzaje

Krwiak podtwardówkowy (podoponowy) najczęściej jest skutkiem silnego urazu głowy, gdy doszło do złamania kości czaszkowych. Wszystkie krwiaki, a więc także krwiak podtwardówkowy, jest skutkiem powikłań po wszelkich urazach mózgu. Krwiaki uznaje się za najcięższe komplikacje pourazowe. Mogą one wystąpić nawet jako powikłania po upadku.

Krwiak podtwardówkowy – przyczyny, charakterystyka, rodzajeKrwiak podtwardówkowy – przyczyny, charakterystyka, rodzaje

Krwiak podtwardówkowy – przyczyny

Powodem powstania krwiaka podtwardówkowego, zwanego również podoponowym, jest bardzo silny uraz głowy. Najczęściej odnotowuje się jego formowanie wtedy, gdy uderzenie spowodowało złamanie kości czaszkowych.

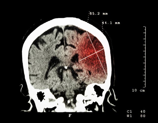
Krwiak podtwardówkowy – charakterystyka

Krwiak podtwardówkowy charakteryzuje się zbieraniem krwi żylnej między oponami. Mowa tu o oponie twardej i pajęczej. Krwiak podtwardówkowy jest bardzo niebezpieczny, bowiem owe gromadzenie się krwi może doprowadzić nawet do pęknięcia żył w mózgu.

Krwiak podtwardówkowy daje o sobie znać w różnoraki sposób. Warto podkreślić, iż jego objawy zależą głównie od tego, gdzie jest usytuowany. Pierwszym i zdaje się najbardziej oczywistym powodem do obaw jest przewlekły ból głowy. Dużo poważniejsze są różne niedowłady. Oprócz tego można doświadczyć rozmaitych zaburzeń w obrębie różnorakich sfer: zaczynając od kłopotów z mówieniem i chodzeniem po zaburzenia świadomości. Osoby, które mają krwiak podtwardówkowy mogą także cierpieć na zakłócenia snu, a nawet doświadczać napadów padaczki.

Krwiak podtwardówkowy powstaje w wyniku urazu głowy.
Krwiak podtwardówkowy powstaje w wyniku urazu głowy.

Leczenie krwiaka podtwardówkowego zwykle nie obywa się bez ingerencji chirurgicznej. Warto podkreślić, iż leczenie owego krwiaka to co innego, niż leczenie jego powikłań. Kiedy zaburzony został rytm fizjologiczny organizmu, wówczas próbujemy go przywrócić do stanu normalności tymi samami metodami, których używa się w leczeniu udaru mózgu. Głównie chodzi tu o zaburzenia w obrębie mowy oraz wszelkich niedowładów.

Warto jeszcze wspomnieć o mieszczącym się w obrębie krwiaka podtwardówkowego krwotoku podpajęczynówkowym. Powstaje on na skutek stłuczenia mózgu i polega na wylewie krwi do przestrzeni, która znajduje się między pajęczynówką a oponą miękką. Objawy takiego stanu rzeczy są zbliżone do tego, w którym występuje krwotok podpajęczynówkowy. Jest on powodowany pęknięciem tętniaka mózgu. W obu sytuacjach można zaobserwować nieznośny ból głowy, zwłaszcza z tyłu, a także wymioty. Ponadto może wystąpić sztywnienie karku, utrata świadomości, a nawet drgawki i upośledzenie ruchowe gałek ocznych. Wiąże się to prawdopodobnie z porażeniem nerwów okołoruchowych.

Krwiak podtwardówkowy – inne

Oprócz krwiaka podtwardówkowego mogą wystąpić inne, to jest:

  • Krwiak nadtwardówkowy, czyli wylew krwi do przestrzeni, która znajduje się między kością czaszki a oponą twardą. Jest on bardzo niebezpieczny, bowiem wylew krwi narasta, co powoduje ucisk na mózg. Ci, którzy go mają wymagają bezzwłocznie operacji.
  •  Krwiak śródmózgowy, czyli krwotoczny udar mózgu. Polega na gromadzeniu się krwi w obszarze mózgowia. On również jest bardzo niebezpieczny, zwłaszcza, gdy umiejscowi się w móżdżku, bowiem wówczas wywiera nacisk na ośrodek oddechowy, zatem może powodować śmierć.

Treści w naszych serwisach służą celom informacyjno-edukacyjnym i nie zastępują konsultacji lekarskiej. Przed podjęciem decyzji zdrowotnych skonsultuj się ze specjalistą.

Źródło artykułu: WP abcZdrowie
Wybrane dla Ciebie
Izba bez lekarza zamiast porodówki? MZ nie chce dopłacać do nierentownych oddziałów
Izba bez lekarza zamiast porodówki? MZ nie chce dopłacać do nierentownych oddziałów
Uważaj na tę rybę. GIS ostrzega przed alternatywą dla karpia
Uważaj na tę rybę. GIS ostrzega przed alternatywą dla karpia
Tysiące chorych bez finansowania z NFZ. Eksperci alarmują o niedoszacowanych kontraktach
Tysiące chorych bez finansowania z NFZ. Eksperci alarmują o niedoszacowanych kontraktach
Dla tych Polaków grypa jest szczególnie niebezpieczna. Rośnie ryzyko zawału
Dla tych Polaków grypa jest szczególnie niebezpieczna. Rośnie ryzyko zawału
Tak objawia się rak trzustki. Trzeba być niezwykle czujnym
Tak objawia się rak trzustki. Trzeba być niezwykle czujnym
Nie bierz tego leku. Może zagrażać życiu. Jest pilna reakcja GIF
Nie bierz tego leku. Może zagrażać życiu. Jest pilna reakcja GIF
Nowe zasady finansowania rezonansu i tomografii. Zmiany od 1 stycznia
Nowe zasady finansowania rezonansu i tomografii. Zmiany od 1 stycznia
Tu na karetkę czeka się najdłużej. GUS wskazuje, gdzie przekracza to nawet 20 minut
Tu na karetkę czeka się najdłużej. GUS wskazuje, gdzie przekracza to nawet 20 minut
Łatwo przekroczyć ten limit. ZUS może wtedy pobrać pieniądze z automatu
Łatwo przekroczyć ten limit. ZUS może wtedy pobrać pieniądze z automatu
Trzy promile na dyżurze. Lekarz z Poniatowej pod lupą prokuratury po interwencji policji
Trzy promile na dyżurze. Lekarz z Poniatowej pod lupą prokuratury po interwencji policji
Białko ratunkiem dla serca? Badacze sprawdzili, że może spowalniać niewydolność
Białko ratunkiem dla serca? Badacze sprawdzili, że może spowalniać niewydolność
Jednorazowa terapia może obniżać LDL i trójglicerydy. "To piękny nowy świat"
Jednorazowa terapia może obniżać LDL i trójglicerydy. "To piękny nowy świat"