Przełom w leczeniu raka? Rewolucyjny nowy lek DWUKROTNIE efektywniejszy w leczeniu raka piersi, płuc oraz prostaty

Istniejące na rynku leki na poszczególne rodzaje raka, uzyskują coraz lepsze wyniki w zwalczaniu tej choroby. Bardzo dobrą informacją z ostatnich dni jest fakt odkrycia leku, który jest uniwersalny i mogą go przyjmować osoby chorujące na wiele odmian raka.

Przełom w leczeniu raka? Rewolucyjny nowy lek DWUKROTNIE efektywniejszy w leczeniu raka piersi, płuc oraz prostatyPrzełom w leczeniu raka? Rewolucyjny nowy lek DWUKROTNIE efektywniejszy w leczeniu raka piersi, płuc oraz prostaty

Najbardziej istotne jest jednak to, że ten nowy lek, jest dwukrotnie skuteczniejszy od tych już znanych na rynku.

Oto najciekawsze informacje dotyczące leków na raka, które zostały przekazane na wielkiej konferencji w Chicago, zorganizowanej przez Amerykańskie Stowarzyszenie Onkologii Klinicznej.

Lek Zytiga firmy Janssen spowodował wydłużenie życia i opóźnił rozwój raka o 18 miesięcy, kiedy został zastosowany podczas bieżącego leczenia 1200 mężczyzn, dotkniętych bardzo zaawansowanym rakiem prostaty. Zaobserwowano, że lek zwalcza guzy, które opierały się leczeniu hormonalnemu.

Shannen Doherty: "Każdy może zachorować na raka. Ta choroba nie wybiera!"

Czeka nas przełom w leczeniu raka?
Czeka nas przełom w leczeniu raka?

Rak Prostaty

Rak prostaty
Rak prostaty

Badania wykazały, że 66 proc. mężczyzn, którzy przyjmowali Zytigę, żyło nawet 3 lata dłużej, niż mężczyźni nie przyjmujący tego leku. Zytiga spowodowała spowolnienie postępowania choroby u przyjmujących lek. Rozwój choroby u przyjmujących lek wynosił 33 miesiące, w porównaniu do 15 miesięcy, dla osób nie przyjmujących leku.

W innym badaniu wzięło udział 1900 mężczyzn, u których świeżo zdiagnozowano raka prostaty. Po przyjmowaniu przez nich Zytigi, również zaobserwowano spowolnienie rozwoju choroby. Aż 86 proc. mężczyzn przyjmujących lek, przeżyło dodatkowe 3 lata, w porównaniu do 76 proc. mężczyzn, którzy nie przyjmowali Zytigi. Jednocześnie zaobserwowano zahamowanie nawrotu choroby oraz schorzeń kości.

- "Rezultaty tych badań, wpłyną bardzo pozytywnie na leczenie raka" – powiedział Dr. Richard Schilsky, szef biura medycznego przygotowujących konferencję.

Coraz więcej mężczyzn, którzy chorują na raka prostaty, będzie obejmowanych leczeniem Zytigą. Zytiga kosztuje około 10 tys. dolarów w Stanach Zjednoczonych.

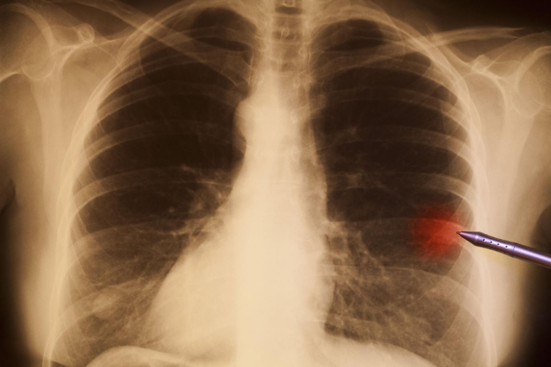
Rak płuc

Rak płuc
Rak płuc

Lek Alecensa zahamował rozwój raka płuc o 15 miesięcy, w porównaniu do leku Xalkori, który był podawany 303 osobom chorującym na tą chorobę. Alecensa również spowodował zmniejszenie pogarszania się stanu zdrowia pacjenta o kolejne 26 miesięcy, w porównaniu do 11 miesięcy, dla osób zażywających Xalkori. Tylko 9 proc. pacjentów którym podawano Alecensę, miało przerzuty choroby do mózgu. Dla porównania, aż 41 proc. pacjentów przyjmujących Xalkori, doświadczyło przejścia choroby z płuc do mózgu.

Koszt Xalkori w Stanach Zjednoczonych to 10 tys.dolarów, natomiast Alecensy 12 tys. dolarów.

Rak piersi

Rak piersi
Rak piersi

Po raz pierwszy, nowy typ leku o nazwie PARP inhibitor, okazał się obiecujący w zwalczaniu dziedzicznego genu BRCA, który powoduje wzrost ryzyka wystąpienia raka piersi.

Koncern AstraZeneca zrealizował badania na 302 kobietach, którym podano lek Lynparza. Kobiety chorowały na zaawansowaną formę raka piersi i nie kwalifikowały się na leczenie lekiem Herceptin. Połowie z tych kobiet nie pomagał lek Herceptin oraz inne leki, które blokowały dwa główne hormony odpowiedzialne za rozwój choroby. Wszystkie kobiety były wcześniej leczone chemioterapią.

Efektami ubocznymi zażywania Lynparzy, były nudności, zmęczenie oraz problemy z krwinkami krwi, lecz w mniejszym stopniu porównując do leczenia chemioterapią. Jest za wcześnie, aby móc stwierdzić, że Lynparza wpływa dużo bardziej pozytywnie na leczenie.

Koszt Lynparzy to na ten moment 13 tys. dolarów.

Zobacz także:

Uniwersalny lek?

Lek larotrectinib jest skierowany do wielu rodzajów raka, zarówno dla dzieci jak i dorosłych. W badaniach na 50 pacjentach, z 17 rodzajami raka, aż 76 proc. chorujących pozytywnie odebrało leczenie tym środkiem. Choroba wyraźnie spowolniła swój rozwój. Skutkami ubocznymi stosowania było ogólne zmęczenie oraz zawroty głowy.

Koncern Loxo Oncology Inc. zamierza rozpocząć starania o zaakceptowanie swojego leku przez Agencję Żywności i Leków, na podstawie przeprowadzonych obserwacji i badań. Istnieje duża szansa, że środek ten zostanie wprowadzony do leczenia raka bardzo szybko, zważywszy na uzyskane efekty.

Źródła

  1. Dailymail.uk

Treści w naszych serwisach służą celom informacyjno-edukacyjnym i nie zastępują konsultacji lekarskiej. Przed podjęciem decyzji zdrowotnych skonsultuj się ze specjalistą.

Wybrane dla Ciebie
Spotkanie na szczycie. Prezydent ma zdecydować o przekazaniu 3,6 mld zł na NFZ
Spotkanie na szczycie. Prezydent ma zdecydować o przekazaniu 3,6 mld zł na NFZ
Wspiera jelita, serce i daje uczucie sytości. Po ten napój warto sięgać codziennie
Wspiera jelita, serce i daje uczucie sytości. Po ten napój warto sięgać codziennie
Farmaceutka ostrzega przed brakiem leku. "Mogą nie mieć ciągłego dostępu do terapii"
Farmaceutka ostrzega przed brakiem leku. "Mogą nie mieć ciągłego dostępu do terapii"
Do niedawna mieliśmy "zero" zachorowań. Obecnie chorują dziesiątki tysięcy osób
Do niedawna mieliśmy "zero" zachorowań. Obecnie chorują dziesiątki tysięcy osób
Innowacyjne terapie raka trzustki. "To może być największy od 30 lat krok w leczeniu"
Innowacyjne terapie raka trzustki. "To może być największy od 30 lat krok w leczeniu"
Wirus z dzieciństwa, rak w dorosłości? BK na celowniku naukowców
Wirus z dzieciństwa, rak w dorosłości? BK na celowniku naukowców
Powikłania po wypełniaczach. Jak ultrasonografia może im zapobiec?
Powikłania po wypełniaczach. Jak ultrasonografia może im zapobiec?
Leki, które mogą niszczyć kości. Ciche ryzyko, o którym warto wiedzieć
Leki, które mogą niszczyć kości. Ciche ryzyko, o którym warto wiedzieć
Pomagają sercu i poprawiają trawienie. Sięgaj po nie codziennie
Pomagają sercu i poprawiają trawienie. Sięgaj po nie codziennie
Kardiolożka ostrzega. To "subtelne objawy zawału", od razu wzywaj pomoc
Kardiolożka ostrzega. To "subtelne objawy zawału", od razu wzywaj pomoc
Wczesne wykrycie raka z krwi. Na czym polega test Galleri?
Wczesne wykrycie raka z krwi. Na czym polega test Galleri?
Świadczenie wspierające w 2026 roku. Nawet 4134 zł miesięcznie
Świadczenie wspierające w 2026 roku. Nawet 4134 zł miesięcznie