Ropień mózgu – przyczyny, objawy i leczenie

Ropień mózgu to ogniskowe zapalenie mózgu. Uznaje się, że to choroba rzadka i bardzo niebezpieczna, która grozi poważnymi powikłaniami i śmiercią. Jej przyczyną może być uraz czaszki penetrujący do mózgu, zakażenie pooperacyjne, ale i infekcja. Jakie są objawy ropnia mózgu? Na czym polega leczenie?

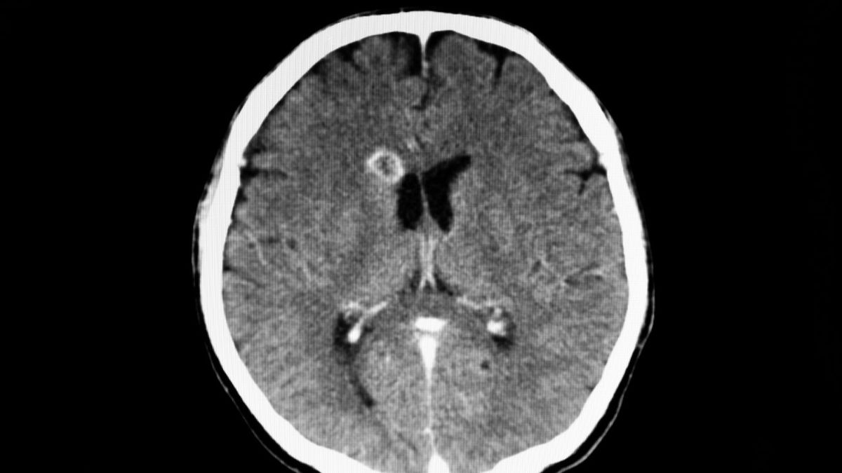
Ropień mózgu to ogniskowe zapalenie mózgu.Ropień mózgu to ogniskowe zapalenie mózgu.
Źródło zdjęć: © Adobe Stock

Co to jest ropień mózgu?

Ropień mózgu (łac. abscessus cerebri, ang. brain abscess) to odgraniczone zbiorowisko ropy w tkance mózgowej, które powstaje, gdy na skutek infekcji wywołanej przez bakterie, grzyby lub pierwotniaki pojawia się stan zapalny i rozpad tkanek, które w postaci płynu ulegają otorbieniu.

Ropa powstaje wskutek upłynnienia martwiczych tkanek oraz bakterii przez granulocyty i makrofagi, które ulegają rozpadowi, co prowadzi do uwolnienia enzymów proteolitycznych. Choć dokładna liczba przypadków w Polsce nie jest znana, ropień mózgu uznaje się za chorobę rzadką, a jednocześnie bardzo poważną. Śmiertelność w przypadku ropnia mózgu szacuje się na 5–20%.

Przyczyny ropnia mózgu

Przyczyną ropnia mózgu jest zakażenie bakteryjne ośrodkowego układu nerwowego. Do jego powstania najczęściej dochodzi drogą krwiopochodną lub przez ciągłość z ogniska zakażenia (z ropnego zapalenia zatok, ucha środkowego czy zęba). Zdarza się, że ropień mózgu jest powikłaniem urazu głowy lub zabiegu chirurgicznego czy neurochirurgicznego.

Były Króliczek Playboya walczy z rakiem mózgu

Szczególnym rodzajem ropnia mózgu jest ropniak podtwardówkowy, zwarte nagromadzenie ropy w przestrzeni podtwardówkowej, zwykle będące powikłaniem ropnego zapalenia opon mózgowo-rdzeniowych lub urazu głowy.

Rozwojowi choroby sprzyjają choroby, takie jak cukrzyca, alkoholizm, niewydolność nerek, zakażenie HIV, sinicza wada serca, sklerotyzacja żylaków przełyku, bakteryjne zapalenie wsierdzia, ropne choroby płuc, zakażenie dróg moczowych. U małych dzieci ropień mózgu jest zwykle związany z wrodzoną siniczą wadą serca.

Za ropień mózgu odpowiadają bakterie. Najczęstszymi są to paciorkowce tlenowe i beztlenowe, zwłaszcza Streptococcus intermedius, gronkowce złociste (Staphylococcus aureus), Gram-ujemne beztlenowe pałeczki z rodzaju Prevotella, Bacteroides i Fusobacterium, Gram-ujemne tlenowe pałeczki jelitowe, pałeczka ropy błękitnej oraz Gram-dodatnie bakterie beztlenowe.

Sam ropień mózgu nie jest zaraźliwy (nie można się nim zarazić od innego chorego). Źródłem zakażenia bakteriami, które mogą wywołać ropnie mózgu, mogą być jednak chorzy lub nosiciele, którzy rozsiewają patogeny (zwykle drogą kropelkową).

Objawy ropnia mózgu

Jak można się domyślać, ropne zakażenie ośrodkowego układu nerwowego zwykle daje ogniskowe objawy neurologiczne wynikające ze zwiększonego ciśnienia wewnątrzczaszkowego.

Triadę najczęstszych objawów ropnia mózgu tworzy gorączka, bóle głowy i ogniskowe objawy neurologiczne (niedowłady, zaburzenia czucia, afazja). Inne objawy ropnia mózgu to:

Objawy w dużej mierze zalezą lokalizacji ropnia mózgu.

Diagnostyka i leczenie

Podstawą rozpoznania ropnia mózgu jest badanie lekarskie i zaobserwowanie typowych objawów oraz wywiad. Diagnozę pozwalają postawić badania obrazowe mózgu: tomografia komputerowa głowy z kontrastem lub rezonans magnetyczny z kontrastem. Duże znaczenie mają badania krwi, które wykazują podwyższony poziom krwinek białych i białka C-reaktywnego (CRP) oraz wysoki odczyn Biernackiego (OB).

A inne procedury diagnostyczne? Badanie płynu mózgowo-rdzeniowego nie tylko pozwala stwierdzić zmian typowych dla ropnia mózgu, ale i jest niewskazane. Obniżenie ciśnienia śródczaszkowego może prowadzić do wgłobienia mózgu. Ponieważ patogen odpowiedzialny za ropień w mózgu można wyhodować wyłącznie z materiału pobranego bezpośrednio z ropnia, posiew mikrobiologiczny krwi i płynu są najczęściej ujemne.

Ropień mózgu jest stanem zagrażającym życiu, dlatego wymaga natychmiastowej hospitalizacji i interwencji neurochirurgicznej. Celem terapii jest obniżenie ciśnienia śródczaszkowego, usunięcie ropnia, ale i pierwotnego źródła zakażenia. Stosuje się leczenie antybiotykami (podawane są drogą dożylną), zabieg operacyjny polegający na usunięciu ropnia lub drenaż ropnia (odsysa się płynną zawartość, pozostawiając torebkę). Ważnym elementem leczenia jest wczesna rehabilitacja.

Bez leczenia ropnia mózgu śmiertelność jest bardzo wysoka, a ryzyko powikłań bardzo duże. Najczęstsze to stan padaczkowy, obrzęk mózgu i napady drgawek, padaczka, upośledzenie słuchu, do głuchoty włącznie, wodogłowie, niedowłady lub porażenia spastyczne, upośledzenie umysłowe, upośledzenie czynności poznawczych i zaburzenia mowy.

Treści w naszych serwisach służą celom informacyjno-edukacyjnym i nie zastępują konsultacji lekarskiej. Przed podjęciem decyzji zdrowotnych skonsultuj się ze specjalistą.

Wybrane dla Ciebie
Choroba, która zabiła Beethovena. Analiza DNA ujawniła niespodziewanego winowajcę
Choroba, która zabiła Beethovena. Analiza DNA ujawniła niespodziewanego winowajcę
Długie siedzenie szkodzi naczyniom. Zimowy napój pomaga w zapobieganiu zmianom
Długie siedzenie szkodzi naczyniom. Zimowy napój pomaga w zapobieganiu zmianom
Rak coraz częściej staje się chorobą przewlekłą. To sukces medycyny, ale też wyzwania dla systemu
Rak coraz częściej staje się chorobą przewlekłą. To sukces medycyny, ale też wyzwania dla systemu
Błagała o cesarskie cięcie. Dziś jej synek jest niepełnosprawny, a rodzice walczą o sprawiedliwość
Błagała o cesarskie cięcie. Dziś jej synek jest niepełnosprawny, a rodzice walczą o sprawiedliwość
Chudną przez Ozempic. Potem pojawiają się skutki uboczne. Specjaliści apelują ws. oznaczeń
Chudną przez Ozempic. Potem pojawiają się skutki uboczne. Specjaliści apelują ws. oznaczeń
Zwiększa ryzyko nowotworów. Wpływa na procesy zapalne i uszkadza DNA komórek
Zwiększa ryzyko nowotworów. Wpływa na procesy zapalne i uszkadza DNA komórek
Szpital w Bielsku-Białej zamknięty. W maju doszło tam do tragedii
Szpital w Bielsku-Białej zamknięty. W maju doszło tam do tragedii
Król Karol III apeluje, by badać się pod kątem chorób nowotworowych. Sam zmaga się z rakiem
Król Karol III apeluje, by badać się pod kątem chorób nowotworowych. Sam zmaga się z rakiem
Unikaj w czasie infekcji. Nasilają objawy choroby i spowalniają powrót do zdrowia
Unikaj w czasie infekcji. Nasilają objawy choroby i spowalniają powrót do zdrowia
Otwierasz oczy, zanim zadzwoni poranny alarm? To dlatego ciało czasem wyprzedza budzik
Otwierasz oczy, zanim zadzwoni poranny alarm? To dlatego ciało czasem wyprzedza budzik
Więcej pieniędzy, ale rosnąca dziura w budżecie NFZ. Mija dwa lata rządu Donalda Tuska
Więcej pieniędzy, ale rosnąca dziura w budżecie NFZ. Mija dwa lata rządu Donalda Tuska
Nowy pasożyt w Polsce. Przybył z Ameryki, a szkodzić może nie tylko przyrodzie
Nowy pasożyt w Polsce. Przybył z Ameryki, a szkodzić może nie tylko przyrodzie