Zgryz głęboki – leczenie, rysy twarzy i przyczyny wady

Zgryz głęboki to wada zgryzu i jedna z najczęściej występujących nieprawidłowości w ustawieniu zębów. Objawia się przesunięciem górnego rzędu zębów przed lub za rząd dolny. W takiej sytuacji konieczna może być korekta zębów na przykład przy użyciu nakładki lub aparatu ortodontycznego. Co warto wiedzieć?

Zgryz głęboki – leczenie, rysy twarzy i przyczyny wadyZgryz głęboki – leczenie, rysy twarzy i przyczyny wady
Źródło zdjęć: © Adobe Stock

Co to jest zgryz głęboki?

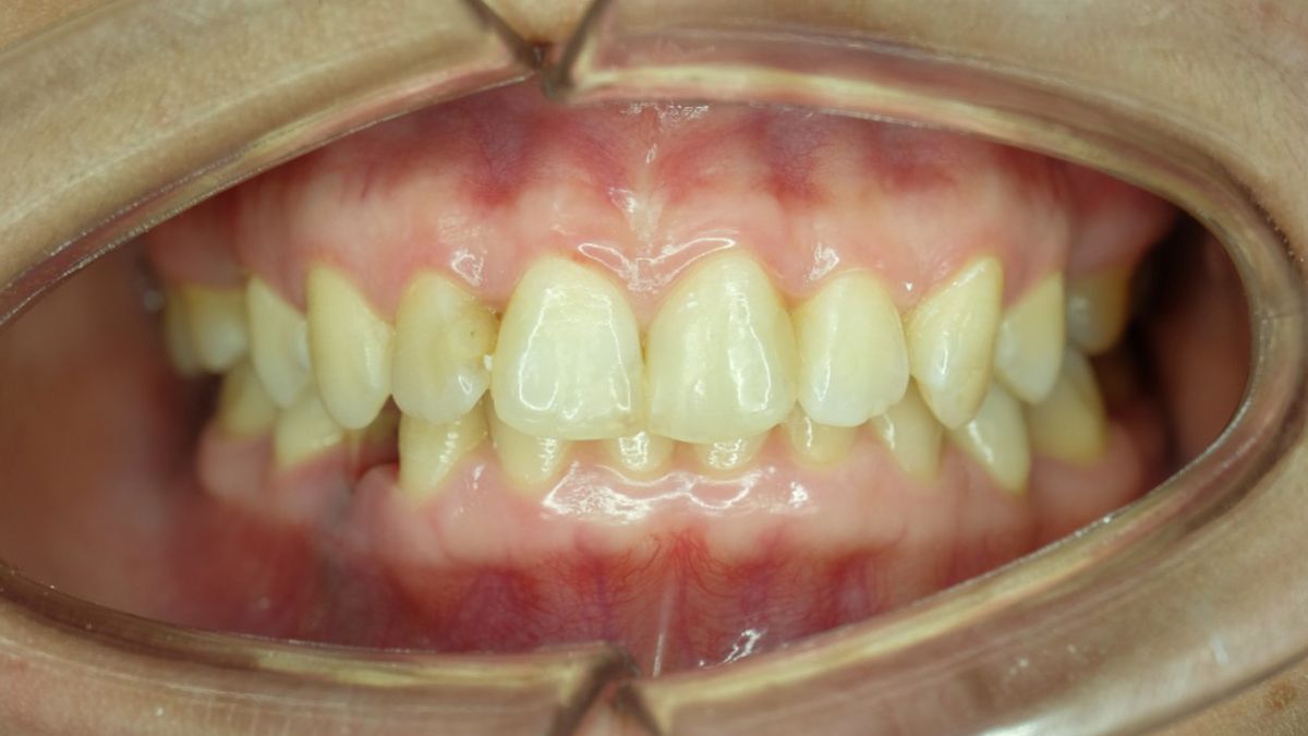
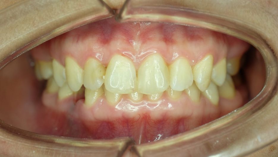
Zgryz głęboki to wada zgryzu, istotą której jest nadmierne nachodzenie przednich zębów górnych na zęby dolne. W wyniku tej nieprawidłowości, zęby dolne są przykryte co najmniej w 2/3 przez zęby górne. Zazwyczaj obserwuje się cofnięcie się dolnej szczęki, a wysunięcie się szczęki górnej. W przebiegu zaburzenia stwierdza się zatem zwiększony nagryz pionowy.

Zgryz głęboki a twarz

Ten rodzaj wady zgryzu nie ma dużego wpływu na estetykę wyglądu, choć twarz może mieć lekko kwadratowy kształt. Zdarza się też, że zgryz głęboki skutkuje „wypukłymi zębami” i tzw. uciekającą brodą. Objawem zgryzu głębokiego może być także większe napięcie warg oraz częste ścieranie się szkliwa po wewnętrznej stronie górnych siekaczy oraz po zewnętrznej stronie siekaczy dolnych. Wiele zależy od stopnia zaawansowania nieprawidłowości.

Przyczyny zgryzu głębokiego

Zgryz głęboki to wada należąca do grupy pionowych zaburzeń szczękowo-zgryzowych rozpatrywanych w stosunku do płaszczyzny poziomej. Nieprawidłowość tę wywołuje wiele przyczyn. W większości przypadków ma ona podłoże genetyczne, nie bez znaczenia są jednak inne czynniki.

Czynniki pochodzenia wewnętrznego to:

  • predyspozycje genetyczne do rozwoju zaburzeń zgryzu,
  • wady genetyczne,
  • choroby przebyte przez matkę w trakcie ciąży.

Do przyczyn zewnętrznych zalicza się:

  • nieprawidłowy tor oddychania (tor ustny),
  • nieprawidłowe układanie niemowlaka do snu,
  • niewłaściwa funkcja połykania,
  • nieodpowiednia praca języka,
  • ssanie palca, warg czy policzków,
  • długotrwałe ssanie smoczka przez dziecko,
  • podpieranie brody,
  • zgrzytanie zębami.

Rodzaje zgryzu głębokiego

W zależności od stopnia zaawansowania zmian wyróżnia się różne rodzaje zgryzu głębokiego. To:

  • zgryz głęboki częściowy, czyli wydłużenie się górnych siekaczy tak, że przykrywają siekacze dolne. Określany jest on jako nadgryz, który w efekcie nieprawidłowego wzrostu wyrostka zębodołowego cechuje nadmiernie zwiększona podstawa korzeniowa siekaczy szczęki,
  • zgryz głęboki całkowity, czyli skrócenie szczęki oraz wywinięcie dolnej wargi, czemu może towarzyszyć pogłębienie się bruzdy wargowo-bródkowej. Ten rodzaj wady objawia się bardzo nasilonym nagryzem w odcinku przednim i wywołuje zmiany w estetyce twarzy: prowadzi do skrócenia jej dolnego odcinka oraz wywinięcia warg,
  • zgryz głęboki rzekomy. To występowanie skróconej części twarzy w obrębie szczęki oraz obniżenie jej zwarcia. Może się pojawić przy dużej utracie uzębienia, szczególnie we wczesnym dzieciństwie. Zgryz rzekomy jako jedyny charakteryzuje się dobrymi rokowaniami. Można go wyrównać.

Leczenie zgryzu głębokiego – czy to konieczne?

Do leczenia zgryzu głębokiego wykorzystuje się różne rozwiązania ortodontyczne, w tym aparaty. Jaka jest ich cena? Koszt aparatu zależy od tego, czy lekarz zalecił nakładki (kosztują kilkaset złotych) czy stały aparat na zgryz głęboki (kosztują nawet 3000 złotych za jeden łuk). Przy zębach mlecznych można zastosować płytki podniebienne, a przy uzębieniu mieszanym - płytkę z przednim wałem nagryzowym.

To, ile trwa leczenie zgryzu głębokiego, zależy od indywidualnego przypadku, głównie wieku pacjenta i jego zasobów finansowych (najlepsze efekty przynosi aparat stały). Korekta wady tego typu standardowo trwa około dwóch lat. Najbardziej efektywnie leczone są wady zgryzu u dzieci, ponieważ ich zęby i szczęki są łatwiejsze do ustawienia. Czy leczenie jest konieczne, skoro zgryz głęboki nie wpływa znacząco na estetykę i wygląd twarzy? Według specjalistów tak, ponieważ wada zgryzu ma poważne konsekwencje.

Z powodu nieprawidłowego ustawienia zębów i żuchwy istnieją punkty styku między dziąsłami i zębami, co może prowadzić do zapalenia dziąseł, próchnicy i chorób przyzębia. Mogą również pojawiać się dolegliwości bólowe mięśni szczęki, czasem także problemy z żuciem i oddychaniem. Cierpi na tym także szkliwo, ponieważ dochodzi do zaciskania i silnego kontaktu między zębami. Nieprawidłowość w postaci zgryzu głębokiego odpowiada za rozwój wad wymowy. Wskutek braku tarcia powietrza o krawędzie siekaczy pojawiają się kłopoty z prawidłową artykulacją i zniekształceniem brzmienia tzw. zgłosek dentalizowanych.

Treści w naszych serwisach służą celom informacyjno-edukacyjnym i nie zastępują konsultacji lekarskiej. Przed podjęciem decyzji zdrowotnych skonsultuj się ze specjalistą.

Wybrane dla Ciebie
Błagała o cesarskie cięcie. Dziś jej synek jest niepełnosprawny, a rodzice walczą o sprawiedliwość
Błagała o cesarskie cięcie. Dziś jej synek jest niepełnosprawny, a rodzice walczą o sprawiedliwość
Chudną przez Ozempic. Potem pojawiają się skutki uboczne
Chudną przez Ozempic. Potem pojawiają się skutki uboczne
Zwiększa ryzyko nowotworów. Wpływa na procesy zapalne i uszkadza DNA komórek
Zwiększa ryzyko nowotworów. Wpływa na procesy zapalne i uszkadza DNA komórek
Szpital w Bielsku-Białej zamknięty. Doszło tam do tragedii
Szpital w Bielsku-Białej zamknięty. Doszło tam do tragedii
Król Karol III apeluje, by badać się pod kątem chorób nowotworowych. Sam zmaga się z rakiem
Król Karol III apeluje, by badać się pod kątem chorób nowotworowych. Sam zmaga się z rakiem
Unikaj w czasie infekcji. Nasilają objawy choroby i spowalniają powrót do zdrowia
Unikaj w czasie infekcji. Nasilają objawy choroby i spowalniają powrót do zdrowia
Otwierasz oczy, zanim zadzwoni poranny alarm? To dlatego ciało czasem wyprzedza budzik
Otwierasz oczy, zanim zadzwoni poranny alarm? To dlatego ciało czasem wyprzedza budzik
Więcej pieniędzy, ale rosnąca dziura w budżecie NFZ. Mija dwa lata rządu Donalda Tuska
Więcej pieniędzy, ale rosnąca dziura w budżecie NFZ. Mija dwa lata rządu Donalda Tuska
Nowy pasożyt w Polsce. Przybył z Ameryki, a szkodzić może nie tylko przyrodzie
Nowy pasożyt w Polsce. Przybył z Ameryki, a szkodzić może nie tylko przyrodzie
Prosty sposób na dłuższe życie. Ten nawyk chroni przed chorobami serca i przedwczesną śmiercią
Prosty sposób na dłuższe życie. Ten nawyk chroni przed chorobami serca i przedwczesną śmiercią
Serce ostrzega wcześniej, niż myślisz. Tych siedmiu objawów pod żadnym pozorem nie ignoruj
Serce ostrzega wcześniej, niż myślisz. Tych siedmiu objawów pod żadnym pozorem nie ignoruj
Sześć milionów chorych i brak planu. Choroby płuc nadal bez krajowej strategii
Sześć milionów chorych i brak planu. Choroby płuc nadal bez krajowej strategii