Zwyrodnienie plamki żółtej - rodzaje, objawy, leczenie

Zwyrodnienie plamki żółtej (ang. Age-related Macular Degeneration – AMD) to postępująca choroba zwyrodnieniowa centralnej części siatkówki oka, która odpowiedzialna jest za ostre widzenie i rozróżnianie kolorów. Choroba występuje głównie u białych kobiet po 50. roku życia. Przyczyny nie są znane – sugeruje się, że ma ona podłoże genetyczne. Zwyrodnienie plamki żółtej częściej występuje też u osób palących papierosy, chorujących na nadciśnienie tętnicze, po zawale serca lub udarze mózgu. Szacuje się, że w Polsce już ponad 1,5 mln osób zmaga się z tym schorzeniem.

Zwyrodnienie plamki żółtej  - rodzaje, objawy, leczenieZwyrodnienie plamki żółtej - rodzaje, objawy, leczenie

Zwyrodnienie plamki żółtej - rodzaje, objawy

Zwyrodnienie plamki żółtej to przewlekła, postępująca choroba oczu, w wyniku której dochodzi do uszkodzenia siatkówki, a szczególnie jej centralnej części, czyli plamki żółtej. AMD prowadzi do pogorszenia widzenia, a niejednokrotnie do całkowitej ślepoty. Czasami dotyka również ludzi młodych.

Zwyrodnienie plamki żółtej ma dwie postacie:

  • postać sucha – w niej zanik widzenia postępuje wolniej, początkowo gorzej widzi się przy słabym świetle, pojedyncze litery tekstu są zniekształcone; postać sucha spowodowana jest obumieraniem komórek barwnikowych fotoreceptorów plamki i naczyń krwionośnych;
  • postać wysiękowa – zanik widzenia przebiega znacznie szybciej, w obręb siatkówki wrastają patologiczne naczynia krwionośne, co skutkuje nieodwracalnym zanikiem komórek barwnikowych i fotoreceptorów; ostrość wzroku i widzenie barw pogarsza się i pojawia się mroczek centralny.

Typowe objawy zwyrodnienia plamki żółtej oka obejmują widzenie linii prostych jako falistych lub zniekształconych oraz postępujące trudności w czytaniu.

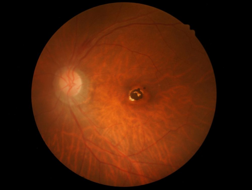
Zwyrodnienie plamki żółtej (AMD)
Zwyrodnienie plamki żółtej (AMD) © Shutterstock

Degeneracja plamki żółtej jest główną przyczyną utraty wzroku u osób powyżej 50. roku życia. Występuje u prawie 9 proc. populacji, częściej u kobiet, a jej ryzyko wzrasta z wiekiem. Przyczyny AMD są nadal nieznane. Największą rolę odgrywa wiek pacjenta. Innymi czynnikami ryzyka są: płeć żeńska, rasa biała, wcześniejsze występowanie w rodzinie, schorzenia układu sercowo-naczyniowego, palenie tytoniu, wieloletnie narażenie na intensywne światło, niedobór przeciwutleniaczy, np. witaminy C, beta-karotenu czy selenu.

Zwyrodnienie plamki żółtej - rozpoznanie

W rozpoznawaniu choroby stosuje się badanie dna oka, angiografię fluoresceinową, koherentną tomografię. W domu można wykonać test Amslera. Polega na obserwacji z odległości 30 cm siatki Amslera – kwadratu o boku 10 cm podzielonego czarnymi liniami przecinającymi się co pół centymetra. W centrum siatki znajduje się punkt, na który kieruje się oś widzenia. Przy AMD powstają nieprawidłowości obrazu w postaci mroczków lub zniekształceń. Najważniejszą metodą stosowaną w diagnozowaniu jest podstawowe badanie okulistyczne, które obejmuje badanie ostrości widzenia oraz ocenę dna oka. Monitorowanie przebiegu choroby jest możliwe przy użyciu perymetrów komputerowych w technologii PHP.

Zwyrodnienie plamki żółtej - leczenie

Nie ma skutecznego leczenia tej choroby. W terapii i zapobieganiu warto stosować dietę bogatą w przeciwutleniacze i wykonywać regularne badania wzroku. Suchą odmianę AMD można próbować leczyć przy zastosowaniu leków poprawiających ukrwienie i obniżając poziom cholesterolu. Bardziej niebezpieczna jest postać wysiękowa AMD. Terapia tej odmiany choroby polega na niszczeniu nieprawidłowych naczyń krwionośnych światłem lasera, o ile nie są one położone w centrum plamki żółtej. Od niedawna dostępna jet również tzw. metoda fotodynamiczna, polegająca na wprowadzeniu do krwiobiegu barwnika wychwytywanego przez patologiczne naczynia w oku. Tylko one są później niszczone za pomocą lasera.

Postęp AMD zatrzymują też dwa leki ziołowe – miłorząb japoński i wyciąg z czarnej borówki.

Najbardziej nowoczesną metodę w leczeniu AMD stanowi przeszczep komórek macierzystych ze szpiku kostnego pacjenta. Zanim komórki macierzyste zostaną ponownie wszczepione, szpik kostny jest przygotowywany w laboratorium, gdzie dokonane zostają pomiary ilości i jakości komórek macierzystych. Wstrzyknięte z powrotem komórki macierzyste dysponują potencjałem pozwalającym im na przekształcanie się w różnorakie rodzaje komórek, zdolne do regeneracji uszkodzonych tkanek oka.

Źródła

  1. Przeciwko zwyrodnieniu plamki żółtej
  2. Izdebska J. (red.), OKULISTYKA Podręcznik dla studentów, Urban & Partner, Wrocław 2006, ISBN 83-60290-15-6
  3. Kański J.J. Diagnostyka kliniczna w okulistyce, Urban & Partner, Wrocław 2008, ISBN 978-83-60290-84-2
  4. Kański J.J. Okulistyka kliniczna, Urban & Partner, Wrocław 2009, ISBN 978-83-7609-120-4

Treści w naszych serwisach służą celom informacyjno-edukacyjnym i nie zastępują konsultacji lekarskiej. Przed podjęciem decyzji zdrowotnych skonsultuj się ze specjalistą.

Wybrane dla Ciebie
Serce ostrzega wcześniej, niż myślisz. Tych siedmiu objawów pod żadnym pozorem nie ignoruj
Serce ostrzega wcześniej, niż myślisz. Tych siedmiu objawów pod żadnym pozorem nie ignoruj
Sześć milionów chorych i brak planu. Choroby płuc nadal bez krajowej strategii
Sześć milionów chorych i brak planu. Choroby płuc nadal bez krajowej strategii
Co sypiemy do świątecznych ciast? Mak i skórka pomarańczowa pod lupą fundacji Pro-Test
Co sypiemy do świątecznych ciast? Mak i skórka pomarańczowa pod lupą fundacji Pro-Test
GIF wycofuje z obrotu serie plastrów leczniczych. Produkt nie działa, jak powinien
GIF wycofuje z obrotu serie plastrów leczniczych. Produkt nie działa, jak powinien
Jedz, kiedy niedomaga serce. Te produkty wspomogą regenerację i spowolnią starzenie
Jedz, kiedy niedomaga serce. Te produkty wspomogą regenerację i spowolnią starzenie
Tych produktów unikaj, gdy jesteś przeziębiony. Lekarze ostrzegają
Tych produktów unikaj, gdy jesteś przeziębiony. Lekarze ostrzegają
"Zimowy wirus" rozkręca się w USA. Jest obecny także w Polsce
"Zimowy wirus" rozkręca się w USA. Jest obecny także w Polsce
Wysyp przypadków zapalenia wsierdzia. Kardiolodzy mówią, co "konsekwentnie niszczy serce"
Wysyp przypadków zapalenia wsierdzia. Kardiolodzy mówią, co "konsekwentnie niszczy serce"
Realne zagrożenie dla zdrowia. Raport WHO wskazuje nowy problem
Realne zagrożenie dla zdrowia. Raport WHO wskazuje nowy problem
Klucz do długowieczności. Według badań skuteczniejszy niż ćwiczenia
Klucz do długowieczności. Według badań skuteczniejszy niż ćwiczenia
W Niemczech zakazany, w Polsce nadal dostępny. Szkodliwy "oczyszczacz" organizmu
W Niemczech zakazany, w Polsce nadal dostępny. Szkodliwy "oczyszczacz" organizmu
Naukowcy ostrzegają. Grupa krwi może mieć związek z udarem
Naukowcy ostrzegają. Grupa krwi może mieć związek z udarem