Rewizyjna rekonstrukcja więzadła krzyżowego przedniego kolana

Rekonstrukcja więzadła krzyżowego przedniego kolana zalecana jest nie tylko zawodowym sportowcom, ale również amatorom, mającym zamiar powrócić do uprawiania ukochanego sportu. Uszkodzenie więzadła krzyżowego przedniego, nazywanego również ACL, to jeden z najczęściej występujących urazów kolana i częsta przyczyna kontuzji. Najbardziej narażone są na niego osoby młode, które czynnie uprawiają sporty – głównie te wymagające szybkiej zmiany tempa, nagłego zwolnienia, kontaktu z innym zawodnikiem, wyskoku lub zmiany kierunku ruchu. W grupie ryzyka znajdują się zatem osoby uprawiające sporty walki, narciarze, piłkarze, siatkarze lub koszykarze. Sprawdź, na czym polega rekonstrukcja więzadła krzyżowego przedniego.

Rekonstrukcja więzadła krzyżowego przedniego kolana zalecana jest nie tylko zawodowym sportowcom, ale również amatorom, mającym zamiar powrócić do uprawiania ukochanego sportu.Rekonstrukcja więzadła krzyżowego przedniego kolana zalecana jest nie tylko zawodowym sportowcom, ale również amatorom, mającym zamiar powrócić do uprawiania ukochanego sportu.
Źródło zdjęć: © iStock

Czym jest więzadło krzyżowe przednie

Więzadło krzyżowe przednie, określane również jako ACL (Anterior Cruciate Ligament) to więzadło stawu kolanowego zlokalizowane pomiędzy kością udową a piszczelową. Charakteryzuje się ono budową dwupęczkową. W jego skład wchodzi bowiem pęczek tylno-boczny oraz pęczek przednio-przyśrodkowy.

Więzadło krzyżowe przednie jest stabilizatorem kolana, które razem z więzadłem krzyżowym tylnym (nazywanym PCL) zapewnia stabilność i umożliwia ruch zawiasowy. Więzadło krzyżowe przednie nie regeneruje się, dlatego w przypadku zerwania konieczne może być leczenie operacyjne, nazywane również rekonstrukcją więzadła krzyżowego.

Uszkodzenie więzadła krzyżowego przedniego

Uszkodzenie więzadła krzyżowego przedniego, nazywanego również ACL, to jeden z najczęściej występujących urazów kolana i częsta przyczyna kontuzji.

5 nawyków, które niszczą kolana

Najbardziej narażone są na niego osoby młode, które czynnie uprawiają sporty – głównie te wymagające szybkiej zmiany tempa, nagłego zwolnienia, kontaktu z innym zawodnikiem, wyskoku lub zmiany kierunku ruchu. W grupie ryzyka znajdują się zatem osoby uprawiające sporty walki, narciarze, piłkarze, siatkarze lub koszykarze.

Komu zalecany jest zabieg rekonstrukcji więzadła krzyżowego przedniego

Zabieg rekonstrukcji więzadła krzyżowego zalecany jest nie tylko zawodowym sportowcom, ale również amatorom, mającym zamiar powrócić do uprawiania ukochanego sportu, a także tym, których charakter pracy wymaga dobrego stanu stawu kolanowego oraz tym, którym uraz uniemożliwia lub znacznie utrudnia codzienne poruszanie.

Leczenie operacyjne przywraca stabilność stawu kolanowego, dzięki czemu po jakimś czasie pacjent może powrócić do aktywności fizycznej.

Bardzo istotna jest również rehabilitacja. Ćwiczyć można zarówno przed operacji, jak i po niej, skupiając się szczególnie na mięśniach uda - podkreśla lek. Tomasz Kowalczyk, ortopeda.

Ciężko jest określić czas rekonwalescencji. Po zabiegu ważne są bowiem systematyczne ćwiczenia i odpowiednia rehabilitacja.

Przeszczep autologiczny w rekonstrukcji więzadła krzyżowego przedniego

Rekonstrukcja więzadła krzyżowego przedniego stawu kolanowego wykonywana jest metodą artroskopową, czyli bez otwierania stawu. W tym przypadku najczęściej stosuje się przeszczep autologiczny, czyli tzw. autoprzeszczep. Materiał pochodzący z tkanki pacjenta pobierany jest w czasie jednej operacji.

Pobierany jest ze ścięgien mięśni zginaczy lub z więzadła rzepki. Następnie, lekarz umieszcza go w uszkodzonym miejscu i mocuje przy pomocy specjalnych implantów.

Przebieg operacji kontrolowany jest przez lekarza na ekranie monitora. Możliwe jest to, dzięki kamerze wprowadzonej do stawu, który wypełniony jest fizjologicznym roztworem soli. W trakcie zabiegu lekarz może również usunąć uszkodzone struktury i oczyścić staw z pozostałości po zerwanym więzadle.

Przeszczep allogeniczny w rekonstrukcji więzadła krzyżowego przedniego

W wybranych przypadkach możliwy jest również przeszczep od dawcy (tzw. allograft) lub przeszczep z materiału syntetycznego.

Zainteresowanie przeszczepami allogenicznymi (allograftami) stosowanymi do rekonstrukcji więzadeł krzyżowych wciąż rośnie. Skrócenie czasu zabiegu, mniejszy dostęp operacyjny, brak bólu i ryzyka powikłań w miejscu pobrania, to od lat znane i istotne zalety związane z zastosowaniem allograftów.

Ograniczeniem zastosowania świeżych, mrożonych przeszczepów alogenicznych jest ryzyko przeniesienia infekcji od biorcy. Panuje pogląd, że choć sterylizacja radiacyjna eliminuje ryzyko zakażenia biorcy przez przeszczep, wymusza konieczność stosowania restrykcyjnego programu rehabilitacji związanego ze zmniejszoną wytrzymałością przeszczepu poddanego promieniowaniu jonizującemu oraz wydłużonym okresem wgajania obcej tkanki dawcy, która w wyniku sterylizacji radiacyjnej traci właściwości osteoindukcyjne i staje się jedynie rusztowaniem dla napełzających komórek biorcy.

Na obecnym etapie wiedzy, przy wyborze określonej metody konserwacji można zmniejszyć niekorzystny wpływ sterylizacji radiacyjnej na właściwości biologiczne allogenicznych przeszczepów tkankowych. W pracy podjęliśmy próbę wzbogacenia osteoindukcyjnych właściwości allogenicznego przeszczepu tkankowego przez śródoperacyjne jego nasączenie autologicznymi czynnikami wzrostu biorcy.

Źródłem autologicznych czynników wzrostu (ang. autologous growth factors, AGF) są płytki krwi, których koncentrat nazywany jest osoczem bogatopłytkowym (ang. platelet-rich plasma, PRP). Ziarnistości alfa płytek zawierają między innymi: płytkopochodny czynnik wzrostu (PDGF), transformujący czynnik wzrostu beta (TGF beta) do którego rodziny należą białka morfogenetyczne kości, insulinopodobne czynniki wzrostu I i II, czynnik wzrostu fibroblastów (FGF), czynnik wzrostu śródbłonka naczyń (VEGF), oraz naskórkowy czynnik wzrostu (EGF).

Mnogość czynników zawartych w płytkach umożliwia wykorzystanie naturalnych szlaków regeneracji, a kilkukrotne zagęszczenie powoduje amplifikację procesów naprawczych. Płytkopochodny czynnik wzrostu jest silnym mitogenem dla komórek linii mezenchymalnej, w tym również prekursorów osteoblastów.

Jest odpowiedzialny za inicjowanie procesu angiogenezy, polegającym na tworzeniu nowych naczyń włosowatych i ich namnażaniu przez pączkowanie In vitro wpływa on na proliferację, chemotaksję i odkładanie białkowych elementów macierzy przez osteoblasty oraz proliferację i różnicowanie chondroblastów.

Znaczną ekspresję PDGF (zarówno białka, jak i mRNA kodujące je oraz receptory dla PDGF) stwierdzono w miejscach tworzenia tkanki chrzęstnej i kostnej oraz w miejscach nasilonego remodelowania kości. W oparciu o własne doświadczenie kliniczne z autologicznymi czynnikami wzrostu, autorzy podjęli próbę wzmorzenia właściwości osteogennych alogenicznego przeszczepu z więzadła rzepki przez nasączenie go w bogatopłytkowym osoczu biorcy.

Na czym polega przeszczep allogeniczny

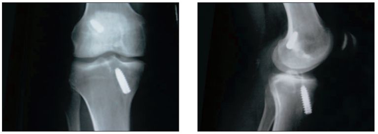
Zabieg rewizyjnej rekonstrukcji więzadła krzyżowego przedniego (ACL) przeprowadzono u 32 letniego pacjenta, u którego w 5 tygodniu po artroskopowej rekonstrukcji ACL doszło do ponownego urazu i zerwania przeszczepu autogenicznego. Nawrót niestabilności objawiał się dodatnim testem szufladowym przednim oraz dodatnim testem Lachmana.

Przy istniejącej niestabilności przedniej stawu kolanowego na zdjęciach radiologicznych stwierdzono prawidłowo przebiegające kanały kostne, co świadczyło o śródstawowym uszkodzeniu przeszczepu autogennego. Zaplanowano wykonanie zabiegu rewizyjnego z wykorzystaniem istniejących kanałów kostnych z użyciem allograftu z więzadła rzepki.

Wykonano badanie tomografii komputerowej aby precyzyjnie zaplanować rozmiar pobieranego przeszczepu ze zwłok. Badanie TK wykonane aparatem I rzędowym na „oknie tkankowym i kostnym”, kończyna podczas badania ułożona była w wyproście.

Pozwoliło to w precyzyjny sposób określić szerokość i długość kanałów, ich wzajemny stosunek do siebie, strukturę kości na brzegach kanałów oraz faktyczny przebieg kanałów w obrębie kości. Do pomiarów i lepszej wizualizacji przestrzennej wykorzystano rekonstrukcję wielopłaszczyznową MPR.

Do rekonstrukcji więzadła krzyżowego w Zakładzie Transplantologii i Centralnym Banku Tkanek Akademii Medycznej w Warszawie przygotowano allogeniczny przeszczep z więzadła rzepki pobranego ze zwłok. Przeszczep o strukturze kość-ścięgno-kość o wymiarach: bloczki kostne – 30×10×10 mm, więzadło – 60×10 mm przygotowano w oparciu o pomiary dokonane w czasie tomografii komputerowej kolana chorego przygotowywanego do zabiegu.

Przeszczep konserwowano przez mrożenie w temperaturze –72 st. C . Przeszczep sterylizowano radiacyjnie w akceleratorze elektronów dawką 35 kGy na suchym lodzie, w temperaturze –70 st. C, w Instytucie Chemii Techniki Jądrowej w Warszawie. Osocze bogatopłytkowe przygotowywane zostało śródoperacyjnie z krwi obwodowej pacjenta.

Krew żylna w objętości ok. 54 ml poddana została wirowaniu z dodatkiem antykoagulantu, co pozwoliło na pozyskanie ok. 8–10 ml skoncentrowanej zawiesiny płytek. Po wymieszaniu z autologiczną trombiną i chlorkiem wapnia otrzymano wygodny w stosowaniu żel płytkowy. Do separacji płytek krwi użyto zestawu GPS™ firmy Biomet Merck.

Po opracowaniu końców kostnych przeszczepu nasączono allograft w żelu płytkowym. Po wprowadzeniu allograftu pod kontrolą artroskopu do kanałów kostnych umocowano go tytanowymi śrubami interferencyjnymi firmy Medgal. Uzyskano stabilny staw kolanowy w pełnym zakresie ruchu. Ocena wgajania przeszczepu prowadzona była na postawie badania rezonansu magnetycznego. Badanie wykonano w 6 i 12 tygodniu po zabiegu.

W 6 tygodniu po zabiegu nie zaobserwowano w MR obrzęku szpiku ani zbiorników płynu, prawidłowy sygnał z rekonstruowanego przeszczepu, bez wysięku w stawie.

W badaniu MR wykonanym w 12 tygodniu po zabiegu zaobserwowano zacieranie się granicy między przeszczepem a kością biorcy, w porównaniu z badaniem poprzednim (6 tygodni po zabiegu) artefakt od przeszczepu jest zdecydowanie mniejszy, a sygnał widocznej sródstawowej części więzadłowej allograftu jest zbliżony do sygnału więzadła krzyżowego tylnego.

W 8 tygodniu od zabiegu stwierdzono klinicznie stabilny staw z pełnym zakresem ruchomości. Mimo przemawiającego za wgojeniem przeszczepu obrazu rezonansu magnetycznego utrzymano restrykcyjny program rehabilitacji, z zakazem ćwiczeń oporowych.

Rola osocza bogatopłytkowego w rekonstrukcjach ACL

Rosnąca liczba wykonywanych na świecie zabiegów rekonstrukcji ACL sprawia, iż problem operacji rewizyjnych stanie się w najbliższych latach coraz większym wyzwaniem dla chirurgii kolana.

Jednocześnie zalety metody wykorzystania przeszczepów allogenicznych, w obliczu coraz doskonalszych metod konserwacji, sterylizacji i doboru dawców, mogą spowodować istotny wzrost liczby pierwotnych zabiegów rekonstrukcji ACL z użyciem allograftu. Liczne publikacje naukowe i badania własne autorów przemawiają za istotnym wpływem PRP na gojenie stawów rzekomych kości długich, akcelerację dojrzewania kostniny i przyspieszenie wgajania allogenicznych przeszczepów kostnych.

Osocze bogatopłytkowe wydaje się stymulować inkorporację przeszczepu allogenicznego ACL, jakkolwiek potencjalna korzyść kliniczna wynikająca z tego faktu jest w chwili obecnej niemożliwa do oceny. Odpowiedź na to pytanie przynieść może obserwacja większej grupy pacjentów oraz badania histologiczne i biomechaniczne.

Treści w naszych serwisach służą celom informacyjno-edukacyjnym i nie zastępują konsultacji lekarskiej. Przed podjęciem decyzji zdrowotnych skonsultuj się ze specjalistą.

Źródło artykułu: WP abcZdrowie
Wybrane dla Ciebie
Choroba, która zabiła Beethovena. Analiza DNA ujawniła niespodziewanego winowajcę
Choroba, która zabiła Beethovena. Analiza DNA ujawniła niespodziewanego winowajcę
Długie siedzenie szkodzi naczyniom. Zimowy napój pomaga w zapobieganiu zmianom
Długie siedzenie szkodzi naczyniom. Zimowy napój pomaga w zapobieganiu zmianom
Rak coraz częściej staje się chorobą przewlekłą. To sukces medycyny, ale też wyzwania dla systemu
Rak coraz częściej staje się chorobą przewlekłą. To sukces medycyny, ale też wyzwania dla systemu
Błagała o cesarskie cięcie. Dziś jej synek jest niepełnosprawny, a rodzice walczą o sprawiedliwość
Błagała o cesarskie cięcie. Dziś jej synek jest niepełnosprawny, a rodzice walczą o sprawiedliwość
Chudną przez Ozempic. Potem pojawiają się skutki uboczne. Specjaliści apelują ws. oznaczeń
Chudną przez Ozempic. Potem pojawiają się skutki uboczne. Specjaliści apelują ws. oznaczeń
Zwiększa ryzyko nowotworów. Wpływa na procesy zapalne i uszkadza DNA komórek
Zwiększa ryzyko nowotworów. Wpływa na procesy zapalne i uszkadza DNA komórek
Szpital w Bielsku-Białej zamknięty. W maju doszło tam do tragedii
Szpital w Bielsku-Białej zamknięty. W maju doszło tam do tragedii
Król Karol III apeluje, by badać się pod kątem chorób nowotworowych. Sam zmaga się z rakiem
Król Karol III apeluje, by badać się pod kątem chorób nowotworowych. Sam zmaga się z rakiem
Unikaj w czasie infekcji. Nasilają objawy choroby i spowalniają powrót do zdrowia
Unikaj w czasie infekcji. Nasilają objawy choroby i spowalniają powrót do zdrowia
Otwierasz oczy, zanim zadzwoni poranny alarm? To dlatego ciało czasem wyprzedza budzik
Otwierasz oczy, zanim zadzwoni poranny alarm? To dlatego ciało czasem wyprzedza budzik
Więcej pieniędzy, ale rosnąca dziura w budżecie NFZ. Mija dwa lata rządu Donalda Tuska
Więcej pieniędzy, ale rosnąca dziura w budżecie NFZ. Mija dwa lata rządu Donalda Tuska
Nowy pasożyt w Polsce. Przybył z Ameryki, a szkodzić może nie tylko przyrodzie
Nowy pasożyt w Polsce. Przybył z Ameryki, a szkodzić może nie tylko przyrodzie