Zdjęcia płodu

Płód w 32 tygodniu ciąży, na zdjęciu widoczne żeńskie narządy płciowe

Obraz

/ 10Zdjęcia płodu - 26 tydzień ciąży

Obraz

Płód w 26 tygodniu ciąży, na zdjęciu widoczne męskie narządy płciowe

/ 10Zdjęcia płodu - męskie narządy płciowe

Obraz

Płód w 32 tygodniu ciąży, na zdjęciu widoczne męskie narządy płciowe

/ 10Zdjęcia płodu - główka dziecka w 25 tygodniu ciąży

Obraz

Płód w 25 tygodniu ciąży, na zdjęciu widoczna głowa dziecka

/ 10Zdjęcia płodu - 24 tydzień ciąży

Obraz

Płód w 24 tygodniu ciąży, na zdjęciu widoczny móżdżek dziecka

/ 10Zdjęcia płodu - 25 tydzień ciąży

Obraz

Płód w 25 tygodniu ciąży, na zdjęciu zaznaczony pęcherz moczowy dziecka

/ 10Zdjęcia płodu - 29 tydzień ciąży

Obraz

Płód w 29 tygodniu ciąży, na zdjęciu widoczny profil dziecka

/ 10Zdjęcia płodu - 29 tydzień ciąży

Obraz

Płód w 29 tygodniu ciąży, na zdjęciu widoczne miejsce przyczepu pępowiny

/ 10Zdjęcia płodu - pępowina w 29 tygodniu ciąży

Obraz

Płód w 29 tygodniu ciąży, na zdjęciu widoczne miejsce przyczepu pępowiny

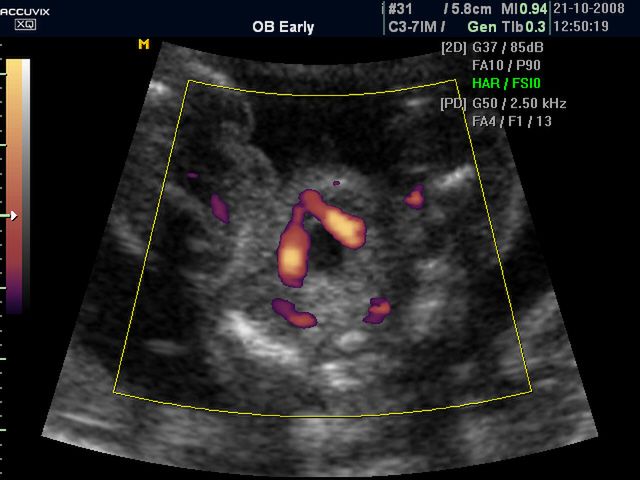
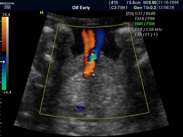
/ 10Zdjęcia płodu - serce

Obraz

Płód w 25 tygodniu ciąży, na zdjęciu widoczne serce dziecka

10 / 10Zdjęcia płodu - ucho dziecka w 33 tygodniu ciąży

Obraz

Płód w 33 tygodniu ciąży, na zdjęciu widoczne ucho dziecka

Źródło artykułu: WP abcZdrowie
Wybrane dla Ciebie
Izba bez lekarza zamiast porodówki? MZ nie chce dopłacać do nierentownych oddziałów
Izba bez lekarza zamiast porodówki? MZ nie chce dopłacać do nierentownych oddziałów
Uważaj na tę rybę. GIS ostrzega przed alternatywą dla karpia
Uważaj na tę rybę. GIS ostrzega przed alternatywą dla karpia
Tysiące chorych bez finansowania z NFZ. Eksperci alarmują o niedoszacowanych kontraktach
Tysiące chorych bez finansowania z NFZ. Eksperci alarmują o niedoszacowanych kontraktach
Dla tych Polaków grypa jest szczególnie niebezpieczna. Rośnie ryzyko zawału
Dla tych Polaków grypa jest szczególnie niebezpieczna. Rośnie ryzyko zawału
Tak objawia się rak trzustki. Trzeba być niezwykle czujnym
Tak objawia się rak trzustki. Trzeba być niezwykle czujnym
Nie bierz tego leku. Może zagrażać życiu. Jest pilna reakcja GIF
Nie bierz tego leku. Może zagrażać życiu. Jest pilna reakcja GIF
Nowe zasady finansowania rezonansu i tomografii. Zmiany od 1 stycznia
Nowe zasady finansowania rezonansu i tomografii. Zmiany od 1 stycznia
Tu na karetkę czeka się najdłużej. GUS wskazuje, gdzie przekracza to nawet 20 minut
Tu na karetkę czeka się najdłużej. GUS wskazuje, gdzie przekracza to nawet 20 minut
Łatwo przekroczyć ten limit. ZUS może wtedy pobrać pieniądze z automatu
Łatwo przekroczyć ten limit. ZUS może wtedy pobrać pieniądze z automatu
Trzy promile na dyżurze. Lekarz z Poniatowej pod lupą prokuratury po interwencji policji
Trzy promile na dyżurze. Lekarz z Poniatowej pod lupą prokuratury po interwencji policji
Białko ratunkiem dla serca? Badacze sprawdzili, że może spowalniać niewydolność
Białko ratunkiem dla serca? Badacze sprawdzili, że może spowalniać niewydolność
Jednorazowa terapia może obniżać LDL i trójglicerydy. "To piękny nowy świat"
Jednorazowa terapia może obniżać LDL i trójglicerydy. "To piękny nowy świat"