Latami rósł na głowie kobiety. Do lekarza zgłosiła się, gdy guz miał 15 cm 

Ten niezwykły przypadek medyczny opisuje 52-letnią kobietę, która trafiła do lekarza z nietypowym guzem na głowie. W torbieli znaleziono złogi keratyny, tłuszczu i łoju, fibryny i włosów.

Zgłosiła się do lekarza z guzem. Miała go od dzieciństwaZgłosiła się do lekarza z guzem. Miała go od dzieciństwa
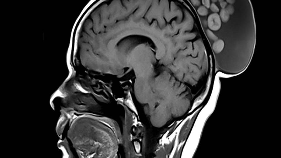
Źródło zdjęć: © Sumit Thakar, Pavan Vasoya, Radiology Vol. 307, No.5, RSNA
Karolina Rozmus

Rósł od dzieciństwa. Po latach lekarze usunęli guz

We wpisie opublikowanym na Twitterze przez @KopalnięWiedzy.pl pojawił się opis przypadku medycznego pochodzący z czasopisma "Radiology".

52-letnia kobieta zgłosiła się do lekarza z bezbolesnym guzem, który od czasu dzieciństwa pacjentki przez lata powiększał swój rozmiar. Badanie ujawniło, że ma on wymiary 15x10x12 cm. Wykonane badanie obrazowe MRI ujawniło dużą torbielowatą zmianę w płaszczyźnie podgałkowej skóry głowy, którą autorzy pracy porównali do "worka kulek". W opublikowanym na łamach "Radiology" obrazie MRI rzeczywiście widoczna jest okrągła torbiel wypełniona guzkami przypominającymi małe kulki.

"Po zakończeniu chirurgicznego wycięcia stwierdzono, że torbiel zawiera materiał przypominający sebum, twarde kuleczki i liczne kosmyki włosów" – piszą autorzy.

Guzy miednicy mniejszej

Guz okazał się dojrzałym potworniakiem torbielowatym
Guz okazał się dojrzałym potworniakiem torbielowatym © "Radiology"

Badanie histopatologicznie na podstawie pobranych po resekcji guza próbek ujawniło, że pacjentka miała dojrzałego potworniaka torbielowatego. Po miesiącach obserwacji, jak wskazują autorzy publikacji, guz nie wykazywał tendencji do nawrotu.

Czym są potworniaki?

Potworniaki należą do nowotworów powstających z tzw. wielopotencjalnych komórek zarodkowych, czyli takich, które mogą dawać początek wszystkim tkankom w ludzkim organizmie. Bywa, że guzy powstają z komórek, które w naturalnych warunkach stanowiłyby budulec tarczycy czy nadnerczy. Wówczas potworniak może wpływać na gospodarkę hormonalną, ponieważ sam "produkuje" hormony. Nierzadko zdarza się, że guz zawiera włosy, skórę, kości – tak jak było w przypadku opisywanej pacjentki – a nawet zęby.

Dojrzały potworniak, który powstaje z komórek tworzących włosy, skórę czy gruczoły, najczęściej należy do zmian łagodnych i choć rośnie powoli, to może osiągać duże rozmiary. Lokalizuje się często na jajnikach czy jądrach, ale bywa, że rośnie w innych miejscach – np. na głowie, ale też na kręgosłupie, w pęcherzu czy wątrobie. Potworniak dojrzały torbielowaty na jajnikach diagnozowany jest najczęściej – stanowi nawet 20 proc. wszystkich rozpoznań potworniaków.

Znacznie bardziej niebezpieczne są tzw. potworniaki niedojrzałe, zbudowane z komórek, które jeszcze nie mają ściśle określonej funkcji. To nowotwory złośliwe, które z kolei rosną szybko i mają tendencję do naciekania i przerzutów. Ten typ potworniaków wymaga podobnie jak potworniaki dojrzałe resekcji, ale również chemioterapii lub radioterapii. W przypadku guzów łagodnych wystarczy laparoskopowe lub poprzez klasyczną operację usunięcie zmiany.

Karolina Rozmus, dziennikarka Wirtualnej Polski

Masz newsa, zdjęcie lub filmik? Prześlij nam przez dziejesie.wp.pl

Treści w naszych serwisach służą celom informacyjno-edukacyjnym i nie zastępują konsultacji lekarskiej. Przed podjęciem decyzji zdrowotnych skonsultuj się ze specjalistą.

Wybrane dla Ciebie
Już 5 minut dziennie może obniżać ryzyko zgonu. Nowe wnioski z badania
Już 5 minut dziennie może obniżać ryzyko zgonu. Nowe wnioski z badania
Zapomniana choroba daje o sobie znać z ogromną siłą. Jedna osoba zaraża kilkanaście innych
Zapomniana choroba daje o sobie znać z ogromną siłą. Jedna osoba zaraża kilkanaście innych
Czy alzheimer może być odwracalny? Obiecujące wyniki badań
Czy alzheimer może być odwracalny? Obiecujące wyniki badań
Pierwsza taka Barbie. Nowa lalka reprezentuje osoby w spektrum autyzmu
Pierwsza taka Barbie. Nowa lalka reprezentuje osoby w spektrum autyzmu
Podnosi ciśnienie i zwiększa ryzyko choroby wieńcowej. Szczególnie zagrożone są kobiety
Podnosi ciśnienie i zwiększa ryzyko choroby wieńcowej. Szczególnie zagrożone są kobiety
Bakteria może wspierać leczenie raka jelita. Obiecujące wyniki badania
Bakteria może wspierać leczenie raka jelita. Obiecujące wyniki badania
Ukryty typ cukrzycy u noworodków. Naukowcy znaleźli gen, który wyłącza produkcję insuliny
Ukryty typ cukrzycy u noworodków. Naukowcy znaleźli gen, który wyłącza produkcję insuliny
Jak mróz może wpływać na leki? Ważna przestroga dla pacjentów zimą
Jak mróz może wpływać na leki? Ważna przestroga dla pacjentów zimą
Płace w samorządach do poprawy? ZGW RP chce zmian systemowych
Płace w samorządach do poprawy? ZGW RP chce zmian systemowych
Wysokość wypłaty wpływa na zdrowie kobiet w ciąży. Nowe badania naukowców
Wysokość wypłaty wpływa na zdrowie kobiet w ciąży. Nowe badania naukowców
Pacjent brutalnie zaatakował lekarkę. Poznaliśmy okoliczności
Pacjent brutalnie zaatakował lekarkę. Poznaliśmy okoliczności
Trudna sytuacja pacjentów onkologicznych. "Cierpimy nie tylko z powodu choroby"
Trudna sytuacja pacjentów onkologicznych. "Cierpimy nie tylko z powodu choroby"