Limfocytoza - przyczyny, objawy, leczenie

Limfocytoza to stan chorobowy, w którym stwierdza się podwyższony poziom limfocytów. Nie zawsze przyczyną tego jest jakieś poważne schorznie, niemniej nie można tego lekceważyć. Jeśli badania krwi wykażą podwyższony poziom limfocytów, należy zgłosić się do lekarza rodzinnego, który wypisze potrzebne skierowania i poinformuje o dalszej diagnostyce, skieruje nas też do specjalisty. Zobacz, czym jest limfocytoza i jak można ją leczyć.

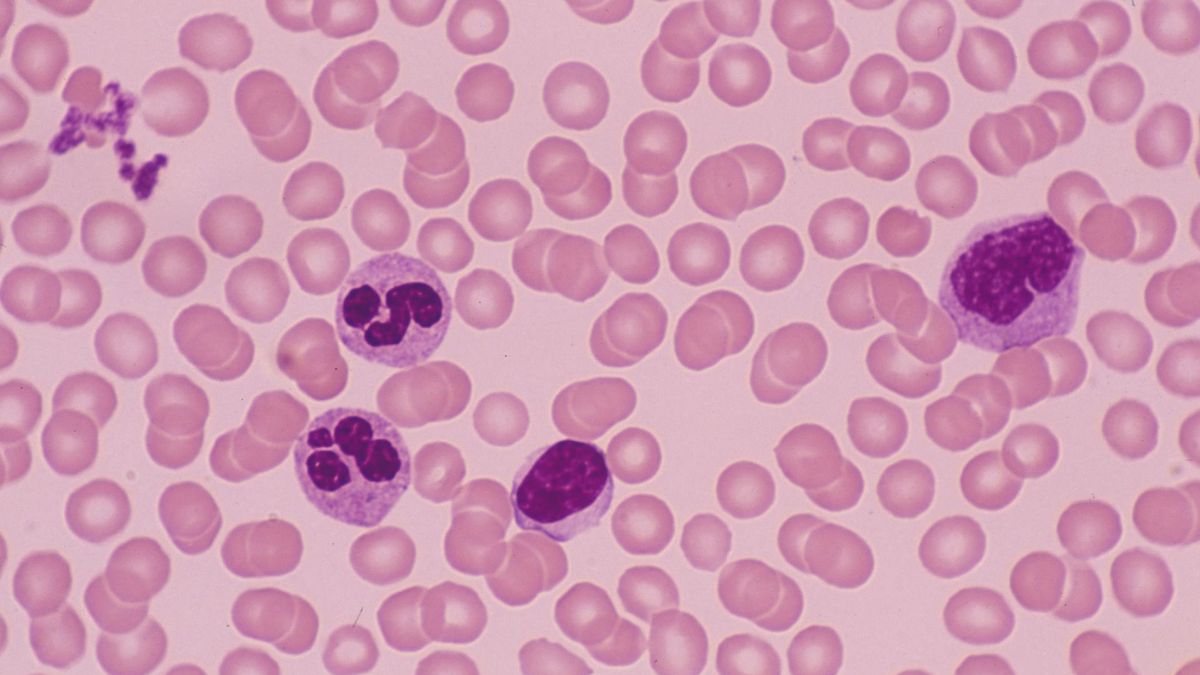
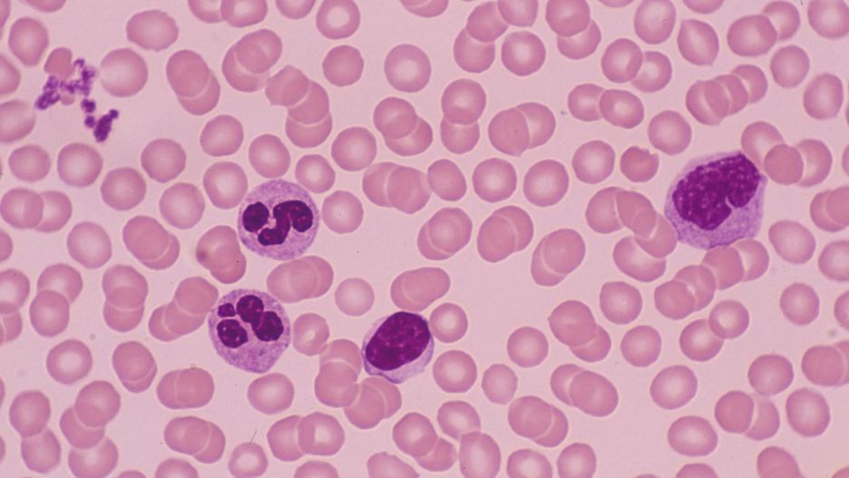
Limfocytoza to stan chorobowy, w którym stwierdza się podwyższony poziom limfocytów.Limfocytoza to stan chorobowy, w którym stwierdza się podwyższony poziom limfocytów.
Źródło zdjęć: © GettyImages
Kinga Olchowy

Co to jest limfocytoza?

Limfocytozą nazywa się stan, w którym dochodzi do podwyższenia poziomu leukocytów, czyli części białych krwinek w organizmie. Ich ilość może być nieznacznie większa lub poważnie przekraczać dopuszczalne normy - żadnej z tych sytuacji nie powinno się lekceważyć. Nadmiar limfocytów zwykle wiąże się z zaburzeniami funkcjonowania układu odpornościwoego, często wynika z toczących się w organizmie infekcji i stanó zapalnych.

Limfocytoza nie zawsze jest objawem groźnych chorób, niemniej jednak warto skonsultować wyniki badań ze specjalistą.

Możliwe przyczyny limfocytozy

Limfocyty wspierają pracę układu odpornościowego i są wysyłane na pierwszy front w walce z infekcjami. Jeśli więc jesteśmy przeziębieni, mamy grypę lub anginę, poziom limfocytów w badaniach morfologicznych może być nieznacznie podwyższony. Nie ma wówczas powodów do obaw, ponieważ wszystko powinno wrócić do normy po pokonaniu infekcji.

#dziejesienazywo: Czy białaczka jest chorobą dziedziczną?

Na poziom limfocytów we krwi ma także wpływ nasz styl życia. Nadmiernie odczuwany stres i przyspieszone tempo życia może wpływać na obniżenie odporności organizmu, a co za tym idzie - także na podwyższenie poziomu leukocytów. Również palenie papierosów i nadmierny wysiłek fizyczny może być przyczyną takiego stanu.

Jeśli poziom limfocytów jest podwyższony i nie wynika to z przebiegającej akurat infekcji, może to świadczyć o poważniejszych schorzeniach. Wyniki wykraczające daleko ponad normę mogą świadczyć o białaczce, chłoniaku lub limfadenopatii.

Ponadto limfocytoza może świadczyć o takich schorzeniach, jak:

Podwyższony poziom limfocytów towarzyszy też często osobom, które przeszły operację usunięcia części lub całości śledziony.

Leki, które mogą wywołać leukocytozę

Niektóre środki farmakologiczne, szczególnie długo stosowane, mogą podnosić poziom leukocytów we krwi, są to między innymi:

Limfocytoza może także mieć swoje źródło w stosowaniu suplementów i preparatów ziołowych. Jednym z nich jest żeń-szeń.

Objawy leukocytozy

Niestety, podwyższony poziom leukocytów zwykle nie daje żadnych objawów, dlatego tak ważne są regularne badania kontrolne. Wszystkie niepokojące sygnały ze strony organizmu są związane z konkretną chorobą, która na skutek leukocytozy się rozwinęła.

Najczęściej pacjenci skarżą się na gorączkę, nagłą utratę masy ciała, ciągłe zmęczenie, a także na to, że na ich skórze często pojawiają się siniaki niewiadomego pochodzenia. Wszystkie te objawy dość łatwo zbagatelizować, ale warto o nich wspomnieć podczas rutynowych badań.

Rozpoznanie i leczenie limfocytozy

Prawidłową diagnozę można postawić na podstawie pełnej morfologii krwi obwodowej. Istnieje także specjalne badanie, które pozwala na ocenę poziomu leukocytów w organizmie - jest to cytomeria przepływowa. Badanie to pomaga ocenić ryzyko wystąpienia białaczki limfocytowej.

Normy dla prawidłowego poziomu leukocytów utala się na podstawie wieku. Zwykle jednak nie mogą one przekraczać 40% wszystkich białych krwinek.

W przypadku podejrzenia nowotworu, konieczne jest wykonanie biopsji szpiku kostnego. Bardzo ważny jest także szczegółowy wywiad lekarski i badanie fizykalne.

Leczenie limfocytozy uzależnione jest od jej przyczyny. Jeśli to zwykłe przeziębienie lub infekcja, wystarczy ją wyleczyć, wówczas poziom leukocytów powinien wrócić do normy. Jeśli jednak przyczyną może być nowotwór, należy podjąć dalszą diagnostykę i wdrożyć chemioterapię.

Treści w naszych serwisach służą celom informacyjno-edukacyjnym i nie zastępują konsultacji lekarskiej. Przed podjęciem decyzji zdrowotnych skonsultuj się ze specjalistą.

Wybrane dla Ciebie
Auchan wycofuje popularną przekąskę. Sprawdź numer partii
Auchan wycofuje popularną przekąskę. Sprawdź numer partii
Choroba, która zabiła Beethovena. Analiza DNA ujawniła niespodziewanego winowajcę
Choroba, która zabiła Beethovena. Analiza DNA ujawniła niespodziewanego winowajcę
Długie siedzenie szkodzi naczyniom. Zimowy napój pomaga w zapobieganiu zmianom
Długie siedzenie szkodzi naczyniom. Zimowy napój pomaga w zapobieganiu zmianom
Rak coraz częściej staje się chorobą przewlekłą. To sukces medycyny, ale też wyzwania dla systemu
Rak coraz częściej staje się chorobą przewlekłą. To sukces medycyny, ale też wyzwania dla systemu
Błagała o cesarskie cięcie. Dziś jej synek jest niepełnosprawny, a rodzice walczą o sprawiedliwość
Błagała o cesarskie cięcie. Dziś jej synek jest niepełnosprawny, a rodzice walczą o sprawiedliwość
Chudną przez Ozempic. Potem pojawiają się skutki uboczne. Specjaliści apelują ws. oznaczeń
Chudną przez Ozempic. Potem pojawiają się skutki uboczne. Specjaliści apelują ws. oznaczeń
Zwiększa ryzyko nowotworów. Wpływa na procesy zapalne i uszkadza DNA komórek
Zwiększa ryzyko nowotworów. Wpływa na procesy zapalne i uszkadza DNA komórek
Szpital w Bielsku-Białej zamknięty. W maju doszło tam do tragedii
Szpital w Bielsku-Białej zamknięty. W maju doszło tam do tragedii
Król Karol III apeluje, by badać się pod kątem chorób nowotworowych. Sam zmaga się z rakiem
Król Karol III apeluje, by badać się pod kątem chorób nowotworowych. Sam zmaga się z rakiem
Unikaj w czasie infekcji. Nasilają objawy choroby i spowalniają powrót do zdrowia
Unikaj w czasie infekcji. Nasilają objawy choroby i spowalniają powrót do zdrowia
Otwierasz oczy, zanim zadzwoni poranny alarm? To dlatego ciało czasem wyprzedza budzik
Otwierasz oczy, zanim zadzwoni poranny alarm? To dlatego ciało czasem wyprzedza budzik
Więcej pieniędzy, ale rosnąca dziura w budżecie NFZ. Mija dwa lata rządu Donalda Tuska
Więcej pieniędzy, ale rosnąca dziura w budżecie NFZ. Mija dwa lata rządu Donalda Tuska