Koronawirus. Senność, bóle głowy i nudności mogą zwiastować ciężki przebieg COVID-19. "Wirus atakuje układ nerwowy"

Zdaniem ekspertów wystąpienie objawów neurologicznych u pacjentów z COVID-19 może zwiastować ciężki przebieg zakażenia. - Kluczowe jest postępowanie na samym początku choroby, aby nie doprowadzić do inwazji wirusa w struktury mózgowe - opowiada prof. Konrad Rejdak, kierownik Katedry i Kliniki Neurologii Uniwersytetu Medycznego w Lublinie.

Senność, bóle głowy oraz wymioty omogą świadczyć o tym, że koronawirus zaatakował centralny układ nerwowySenność, bóle głowy oraz wymioty omogą świadczyć o tym, że koronawirus zaatakował centralny układ nerwowy
Źródło zdjęć: © Getty Images

Koronawirus atakuje układ nerwowy

Senność, bóle głowy, nudności, wymioty oraz zaburzenia stanu świadomości u pacjentów z COVID-19 mogą świadczyć o tym, że koronawirus zaatakował centralny układ nerwowy. Jak wynika z obserwacji prof. Konrada Rejdaka, pacjenci, którzy doświadczają takich objawów, przechodzą chorobę ciężej.

- COVID-19 może powodować pełne spektrum objawów neurologicznych. Mogą one być lekkie, lecz dokuczliwe, jak dość powszechnie spotykana utrata węchu i smaku, albo ciężkie, jak encefalopatia (ogólna dysfunkcja mózgu) lub udar mózgu, który dotyczy nawet 7 proc. hospitalizowanych pacjentów - opowiada prof. Rejdak. - Wielu pacjentów nawet po przejściu ostrej fazy infekcji, przez wiele tygodni, a czasami i miesięcy odczuwa objawy od strony układu nerwowego. Z naszych obserwacji wynika, że kluczowe są pierwsze dni przebiegu choroby. Wprawdzie wciąż nie mamy leków z udowodnionym działaniem hamującym inwazję wirusa w układ neurologiczny, ale szybka konsultacja lekarska i odpowiednio ustawiona terapia są najważniejsze w zapobieganiu ciężkim powikłaniom - podkreśla profesor.

Fenomen koronawirusa

Obserwacje prof. Konrada Rejdaka potwierdzają również badania naukowców z Oxford University.

Koronawirus w Polsce. Prof. Krzysztof Simon komentuje

Senność, bóle głowy oraz wymioty mogą świadczyć o tym, że koronawirus zaatakował centralny układ nerwowy
Senność, bóle głowy oraz wymioty mogą świadczyć o tym, że koronawirus zaatakował centralny układ nerwowy © Getty Imeges

- Osoby, u których rezonans magnetyczny głowy oraz ocena płynu mózgowo-rdzeniowego nie wykryły zmian, z reguły przechodziły COVID-19 łagodniej. Ale osoby, u których doszło do rozwinięcia encefalopatii w przebiegu COVID-19, miały nawet 7-krotnie wyższe ryzyko zgonu - komentuje wyniki badań dr Adam Hirschfeld, neurolog z Oddziału Neurologii i Udarowego Centrum Medycznego HCP w Poznaniu.

 Ból głowy może zwiastować ciężki przebieg COVID
Ból głowy może zwiastować ciężki przebieg COVID © Oxford University

Jeszcze inne badania wskazują, że nawet 80 proc. pacjentów doświadcza jakichś objawów neurologicznych. Z czego połowa odczuwała dolegliwości przez średnio 4 miesiące od wyzdrowienia. Najczęściej był to zespół przewlekłego zmęczenia oraz zaburzenia węchu i smaku.

Z obserwacji prof. Rejdaka wynika, że wielu pacjentów doświadcza podczas COVID-19 zaburzeń świadomości, pamięci, funkcji poznawczych oraz senności. Oprócz tego o zaatakowaniu układu nerwowego może świadczyć pieczenie skóry, drętwienie i mrowienie kończyn oraz neuropatie. W rzadkich przypadkach jednak dochodzi do bardzo ciężkich powikłań.

- Mieliśmy na oddziale kilka przypadków pacjentów z zespołem Guillaina-Barrego. Choroba ta powoduje ciężkie niedowłady kończyn, ale może też doprowadzić do niewydolności mięśni oddechowych. Tego się właśnie najbardziej boimy, ponieważ jest to stan zagrożony śmiercią - opowiada prof. Rejdak.

Jak tłumaczy neurolog, zespół Guillaina-Barrego zazwyczaj występuje 1-2 tygodni po przechorowaniu COVID-19. - Choroba pojawia się na skutek nieprawidłowej reakcji autoimmunologicznej. Organizm nieprawidłowo rozpoznaje własne tkanki i atakuje nerwy obwodowe - opowiada prof. Rejdak.

Oprócz tego zdarzają się przypadki zapalenia opon mózgowo-rdzeniowych, które często są skutkiem nadkażeń, czyli jednoczesnego zakażenia koronawirusem, a następnie innym patogenem.

- Fenomenem SARS-CoV-2 jest to, że nawet niewielka ilość kopii wirusa w układzie nerwowym może wywołać całą burzę zmian patologicznych. Reakcje zapalne, które powstają w mózgu, mogą doprowadzić do ciężkich uszkodzeń neurologicznych - wyjaśnia profesor.

Istnieje grupa osób, u których powikłania po COVID-19 nie znikają

Jak opowiada prof. Rejdak, koronawirus może uszkadzać układ nerwowy na wiele sposobów.

- Może to być bezpośredni atak wirusa na układ nerwowy albo skutek reakcji zapalnej lub autoimmunologicznej. W części przypadków winę ponosi zakrzepica zatok żylnych w mózgu, która doprowadza do udarów. Udary powstają na skutek zatorowości i zamykania światła tętnic mózgowia. Również hipoksja, czyli niedotlenienie może wywołać uszkodzenia w bardzo wrażliwych okolicach mózgu i przez to pozostawić trwały ślad - wyjaśnia prof. Rejdak.

prof. Konrad Rejdak, kierownik Katedry i Kliniki Neurologii Uniwersytetu Medycznego w Lublinie.
prof. Konrad Rejdak, kierownik Katedry i Kliniki Neurologii Uniwersytetu Medycznego w Lublinie.

Jak podkreśla profesor, większość pacjentów z czasem wraca do zdrowia. Istnieje jednak grupa osób, u których powikłania po COVID-19 nie znikają. - Szacujemy, że ten problem dotyczy 10-15 proc. pacjentów. Oczywiście, nasze obserwacje ograniczają się do roku trwania epidemii, więc jest to dość krótki okres, aby jednoznacznie stwierdzić, czy te powikłania będą mieć trwały charakter - opowiada prof. Rejdak.

Zdaniem eksperta, w Polsce pojawiła się cała grupa pacjentów, którzy po przejściu COVID-19 mają najróżniejsze objawy neurologiczne i teraz wymagają badań oraz opieki specjalistycznej.

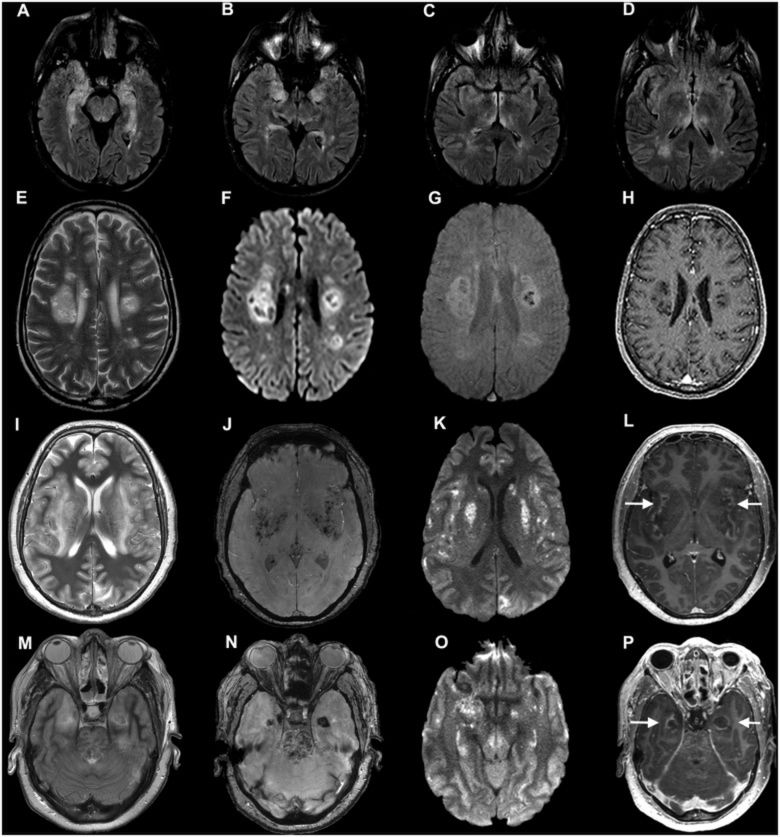
- Bardzo ważne jest, aby nie przeoczyć zmian organicznych w strukturach mózgu. Dlatego osoby, które przeszły COVID-19 i doświadczyły ciężkich objawów neurologicznych, powinny przejść badania obrazujące. W niektórych przypadkach zakażenie SARS-CoV-2 może uaktywnić stare bądź utajone choroby. Musimy więc być bardzo czujni - podkreśla prof. Konrad Rejdak.

Masz newsa, zdjęcie lub filmik? Prześlij nam przez dziejesie.wp.pl

Treści w naszych serwisach służą celom informacyjno-edukacyjnym i nie zastępują konsultacji lekarskiej. Przed podjęciem decyzji zdrowotnych skonsultuj się ze specjalistą.

Źródło artykułu: WP abcZdrowie
Wybrane dla Ciebie
Prezydent podpisał nowelizację ustawy o Funduszu Medycznym. "Nie ma i nie było mojej zgody"
Prezydent podpisał nowelizację ustawy o Funduszu Medycznym. "Nie ma i nie było mojej zgody"
Regularnie dostarczasz kwasów omega-3? Takie są skutki dla mózgu i serca
Regularnie dostarczasz kwasów omega-3? Takie są skutki dla mózgu i serca
Wirusy atakują układ pokarmowy. "Mamy trzykrotny wzrost przypadków"
Wirusy atakują układ pokarmowy. "Mamy trzykrotny wzrost przypadków"
Nietypowe objawy miażdżycy. Ten znak ma nawet 75 proc. chorych
Nietypowe objawy miażdżycy. Ten znak ma nawet 75 proc. chorych
Sieć wycofuje partię cytryn. Należy je zwrócić do sklepu lub wyrzucić
Sieć wycofuje partię cytryn. Należy je zwrócić do sklepu lub wyrzucić
Limitowanie badań znów zagrozi pacjentom. "Nie chcemy umierać w kolejkach"
Limitowanie badań znów zagrozi pacjentom. "Nie chcemy umierać w kolejkach"
Spotkanie na szczycie. Prezydent ma zdecydować o przekazaniu 3,6 mld zł na NFZ
Spotkanie na szczycie. Prezydent ma zdecydować o przekazaniu 3,6 mld zł na NFZ
Wspiera jelita, serce i daje uczucie sytości. Po ten napój warto sięgać codziennie
Wspiera jelita, serce i daje uczucie sytości. Po ten napój warto sięgać codziennie
Farmaceutka ostrzega przed brakiem leku. "Mogą nie mieć ciągłego dostępu do terapii"
Farmaceutka ostrzega przed brakiem leku. "Mogą nie mieć ciągłego dostępu do terapii"
Do niedawna mieliśmy "zero" zachorowań. Obecnie chorują dziesiątki tysięcy osób
Do niedawna mieliśmy "zero" zachorowań. Obecnie chorują dziesiątki tysięcy osób
Innowacyjne terapie raka trzustki. "To może być największy od 30 lat krok w leczeniu"
Innowacyjne terapie raka trzustki. "To może być największy od 30 lat krok w leczeniu"
Wirus z dzieciństwa, rak w dorosłości? BK na celowniku naukowców
Wirus z dzieciństwa, rak w dorosłości? BK na celowniku naukowców