Znaleźli w jego tchawicy ropień. Winny był pospolity grzyb

Chrząstkoskórnik purpurowy to powszechnie występujący grzyb, którego owocniki rosną przez cały rok w lasach różnego typu. Ten okaz okazuje się interesujący z innego powodu. Medycyna odnotowała po raz pierwszy przypadek, kiedy grzyb zasiedlił się w drogach oddechowych człowieka.

Objawy utrzymywały się przez kilka tygodni. Okazało się, że zaatakował go grzybObjawy utrzymywały się przez kilka tygodni. Okazało się, że zaatakował go grzyb
Źródło zdjęć: © Getty Images, Medical Mycology Case Reports
Karolina Rozmus

Pospolity grzyb, bywalec każdego lasu

Chrząstkoskórnik purpurowy (Chondrostereum purpureum), należący do rodziny kielisznikowatych, wcześniej w Polsce znany był także pod nazwami pleśniak purpurowy, skórniak purpurowy lub ziarnoskórnik purpurowy. Ten charakterystyczny grzyb występuje bardzo często gromadnie, a znaleźć go można w lasach, parkach, zaroślach, przy drogach, a nawet w ogrodach. Owocniki porastają gałęzie i pnie żywych oraz martwych drzew liściastych, na iglastych występują rzadko.

Jest interesujący z jednego powodu – jak się okazuje, może zasiedlać także organizm ludzki.

Odkryli ropień w tchawicy

Przypadek ten pojawił się w najnowszym numerze "Medical Mycology Xase Reports". 61-letni pacjent ze wschodnich Indii zgłosił się do lekarza z kilkoma dolegliwościami: chrypką, kaszlem, nawracającymi zapaleniami gardła, zmęczeniem, trudnościami w połykaniu i jadłowstrętem, które utrzymywały się od trzech miesięcy.

Czym jest grzybica?

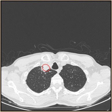
U pacjenta wykryto za pomocą badania TK ropień okołotchawiczy
U pacjenta wykryto za pomocą badania TK ropień okołotchawiczy © Medical Mycology Case Reports

Autorzy artykułu zwracają uwagę, że pacjent nie miał chorób przewlekłych – w tym cukrzycy czy chorób nerek, nie był zakażony wirusem HIV, a także nie stosował leków immunosupresyjnych. Tacy pacjenci bowiem są bardziej narażeni na infekcje grzybicze czy patogeny chorobotwórcze innego rodzaju, które u osób z niewłaściwie funkcjonującym układem immunologicznym mogą stanowić poważne zagrożenie.

Z opisu przypadku dowiadujemy się również, że pacjent z zawodu było mykologiem, "przez długi czas zajmował się materiałem rozkładającym, grzybami i różnymi grzybami roślinnymi w ramach swojej działalności badawczej".

Tomografia komputerowa ujawniła ropień okołotchawiczy. Lekarze dokonali aspiracji materiału, a badania początkowo nie ujawniły, jakiego rodzaju infekcja grzybicza doprowadziła do powstania ropnia. Ostatecznie próbkę odesłano Centrum Informacji i Badań nad Grzybami o znaczeniu medycznym należącego do Światowej Organizacji Zdrowia (WHO), gdzie sekwencjonowanie DNA ujawniło właśnie chrząstkoskórnika purpurowego.

Autorzy zwracają uwagę, że spośród milionów grzybów w środowisku zaledwie kilkaset ma zdolności do zarażania ludzi czy zwierząt.

Po leczeniu polegającym na aspiracji ropnia i farmakoterapii pacjent wyzdrowiał. Autorzy pracy zwracają uwagę, że nie doszło do nawrotu choroby.

Karolina Rozmus, dziennikarka Wirtualnej Polski

Masz newsa, zdjęcie lub filmik? Prześlij nam przez dziejesie.wp.pl

Treści w naszych serwisach służą celom informacyjno-edukacyjnym i nie zastępują konsultacji lekarskiej. Przed podjęciem decyzji zdrowotnych skonsultuj się ze specjalistą.

Wybrane dla Ciebie
Senior może przechodzić infekcje skąpoobjawowo. Eksperci apelują o większą czujność
Senior może przechodzić infekcje skąpoobjawowo. Eksperci apelują o większą czujność
Wirus Nipah może prowadzić do zapalenia mózgu. Tak zmniejszysz ryzyko
Wirus Nipah może prowadzić do zapalenia mózgu. Tak zmniejszysz ryzyko
Drzewa w mieście chronią serce, trawa może szkodzić. Zaskakujące wyniki badań
Drzewa w mieście chronią serce, trawa może szkodzić. Zaskakujące wyniki badań
Ma SM i straciła wzrok. Mimo to zdobywa medal za medalem. "Mówili, że to niemożliwe"
Ma SM i straciła wzrok. Mimo to zdobywa medal za medalem. "Mówili, że to niemożliwe"
Przemycają środki odurzające do szpitala. "Nie mamy narzędzi skutecznej prewencji"
Przemycają środki odurzające do szpitala. "Nie mamy narzędzi skutecznej prewencji"
Gen Z chce żyć zdrowiej. Młodzi dorośli wybierają konkretne strategie
Gen Z chce żyć zdrowiej. Młodzi dorośli wybierają konkretne strategie
Koniec osobnych rezerw na tężec i błonicę. Ministerstwo Zdrowia zmienia zasady zabezpieczenia szczepionek
Koniec osobnych rezerw na tężec i błonicę. Ministerstwo Zdrowia zmienia zasady zabezpieczenia szczepionek
Cierpi na rzadkie zaburzenie. Adoptowała dziecko z tym samym schorzeniem
Cierpi na rzadkie zaburzenie. Adoptowała dziecko z tym samym schorzeniem
Ukrywanie pacjentów i fikcyjne konsylia? Eksperci mówią o poważnych zaniedbaniach
Ukrywanie pacjentów i fikcyjne konsylia? Eksperci mówią o poważnych zaniedbaniach
Menopauza w mózgu. Badanie wykazało zmiany podobne do tych w alzheimerze
Menopauza w mózgu. Badanie wykazało zmiany podobne do tych w alzheimerze
Sandra Kubicka zamyka biznes. Popularność matchy jednak nie spada
Sandra Kubicka zamyka biznes. Popularność matchy jednak nie spada
Często używany suplement. Nie każdy powinien stosować
Często używany suplement. Nie każdy powinien stosować