Lekarz wyjaśnia, jak koronawirus niszczy płuca. Zmiany występują nawet u pacjentów, którzy ozdrowieli

Koronawirus atakuje przede wszystkim płuca. Tu znajduje się epicentrum choroby. U zakażonych w krótkim czasie rozwija się zapalenie płuc. Niepokojący jest fakt, że u ozdrowieńców, którzy nie mają już żadnych objawów choroby może utrzymać się obniżona wydolność tego organu i problemy z oddychaniem. Lekarze nie są w stanie powiedzieć, czy te zmiany są odwracalne.

Lekarz wyjaśnia, jak koronawirus niszczy płuca. Zmiany występują nawet u pacjentów, którzy ozdrowieliLekarz wyjaśnia, jak koronawirus niszczy płuca. Zmiany występują nawet u pacjentów, którzy ozdrowieli
Źródło zdjęć: © pixabay
Katarzyna Grzęda-Łozicka

COVID-19 atakuje płuca, prowadząc do duszności

Zdjęcia pokazujące jak wyglądają płuca u pacjentów zaatakowanych przez koronawiurusa dają najlepsze wyobrażenie tego, do jakich spustoszeń może doprowadzić wirus.

To zdjęcie wykonane przez lekarzy z Akademii Medycznej w Chengdu u jednej z pacjentek zakażonych koronawirusem. Tomografia komputerowa klatki piersiowej wykazała zmętnienie w lewym górnym płacie płuca.

Koronawirus atakuje przede wszystkim płuca, wywołując zapalenie tego organu. - Już w ciągu pierwszych pięciu dni u zakażonych dochodzi do wysięku w pęcherzykach płucnych - wyjaśnia prof. Robert Mróz, pulmonolog z II Kliniki Chorób Płuc i Gruźlicy Uniwersyteckiego Szpitala Klinicznego w Białymstoku.

Ile żyje koronawirus. Naukowcy zbadali różne powierzchnie

Płuca chorego na COVID-19
Płuca chorego na COVID-19 © Cardiothoracic Imaging

- Następnie dochodzi do reakcji w płucach polegającej na zwiększeniu objętości komórek, które wyściełają pęcherzyki płucne i pogrubieniu ich ścian, następuje też poszerzenie naczyń krwionośnych. Pojawienie się płynu w pęcherzykach płucnych powoduje wyłączenie tych obszarów z oddychania - tłumaczy prof. Mróz.

W ciągu pierwszych pięciu dni zmiany obejmują niewielkie obszary. Ekspert przyznaje, że najczęściej w pierwszej kolejności wirus atakuje prawe płuco, z czasem wysięki rozszerzają się na obie części organu. Wysięk doprowadza do duszności.

Umów się na teleporadę i opisz lekarzowi swoje obajwy.

- Na początku infekcji występuje kaszel, podwyższona temperatura, następnie, gdy pojawia się wysięk w pęcherzykach płucnych, dochodzi do duszności. Im większy jest obszar zajęty wysiękiem, czyli wyłączeniem pęcherzyków płucnych z oddychania, tym ta duszność jest większa. Około 10 dnia następuje okres kulminacji choroby tzw. piku - wyjaśnia pulmonolog. - U pacjentów, u których nie dochodzi do dalszego rozwoju zapalenia płuc, czyli tzw. ARDS, po tym okresie następuje cofanie się objawów choroby - dodaje ekspert.

Zobacz także: Zobacz, jak koronawirus niszczy płuca. Naukowcy z Akademii Medycznej w Czengdu udostępniają zdjęcia

Koronawirus wywołuje obniżoną wydolność płuc, nawet u ozdrowieńców

Typowe "covidowe" zapalenie płuc trwa średnio ok. 17 dni. U większości zakażonych po maksymalnie 26 dniach od zakażenia ustępują objawy i pacjenci są wypisywani ze szpitala. Niestety choroba może dawać też skutki długofalowe, nawet u tzw. ozdrowieńców.

- U części pacjentów mimo ustąpienia objawów, utrzymuje się obniżona wydolność płuc, tzn. w badaniach czynnościowych płuc obserwujemy 20, a nawet 30 proc. ubytku wydolności - mówi prof. Mróz.

Lekarz przyznaje jednak, że jest za wcześnie by jednoznacznie odpowiedzieć czy to stałe zmiany, czy z czasem organizm będzie w stanie je pokonać.

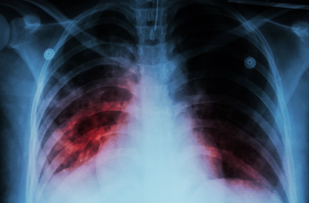
Koronawirus jest szczególnie groźny dla płuc (iStock)
Koronawirus jest szczególnie groźny dla płuc (iStock)

W trakcie zapalenia płuc wywołanego koronawirusem w płucach pojawia się włóknik, co może skutkować nawet u ozdrowieńców zmianami włóknistymi. Dotyczy to niewielkiego odsetka chorych. Włóknienie płuc to choroba prowadząca do uszkodzenia pęcherzyków płucnych, które ulegają bliznowaceniu, blokując prawidłową pracę części narządu. Konsekwencją mogą być problemy z oddychaniem.

- Włóknienie, bliznowacenie płuc w odpowiedzi na zapalenie w pęcherzykach płucnych we wczesnej fazie może ulegać cofaniu. Im większe zajęcie płuc, tym rozległość włóknienia może mieć większe natężenie i jest większe prawdopodobieństwo, że część płuc ulegnie uszkodzeniu - wyjaśnia pulmonolog z białostockiego Uniwersytetu Medycznego, przypominając jednocześnie, że nasze płuca mają duży zapas wysiłkowy. - Do oddychania w spoczynku potrzeba nam mniej niż 20 proc. W związku z tym, nawet jeśli po przebyciu zapalenia ten ubytek będzie rzędu 5 czy 10 proc., nie powinno to znacząco wpłynąć na naszą wydolność oddechową, ale to są tylko spekulacje - dodaje.

Zobacz także: Koronawirus. Mimo wyzdrowienia wirus COVID-19 może na trwałe uszkodzić płuca

ARDS, czyli zespół ostrej niewydolności oddechowej może prowadzić do śmierci

W najcięższych przypadkach u pacjentów zakażonych koronawirusem rozwija się ARDS i tzw. DAD – uogólnione zniszczenie pęcherzyków płucnych.

- Większość z tych chorych umiera. U pozostałej części pacjentów, u których rozwinie się ARDS i przeżyją, prawdopodobnie dojdzie do istotnego uszkodzenie płuc i trwałej niewydolności oddechowej - mówi prof. Robert Mróz. - To dotyczy tylko niewielkiego odsetka zakażonych - zaznacza lekarz.

Zobacz także: Koronawirus. Cukrzycy chorujący na Covid-19 z poważniejszymi powikłaniami po chorobie

Jak przebiega zakażenie koronawirusem?

Dokładny przebieg zakażenia pokazują lekarze z USA. Medycy ze Szpitala Uniwersyteckiego im. Jerzego Waszyngtona udostępnili film, który obrazuje spustoszenie płuc w wyniku zakażenia koronawirusem u 59-letniego pacjenta. Wirus w krótkim czasie zaatakował oba płuca mężczyzny.

Fragmenty zaznaczone na żółto to obszar płuc, w którym rozwinął się stan zapalny.

"U pacjentów demonstrujących tak duże zmiany uszkodzenia płuc postępują szybko i obejmują duży obszar. Zniszczone w tym stopniu płuca będą goić się długo. Dla 2 do 4 proc. osób z COVID-19 nie będzie pomocy" - tłumaczy dr Keith Mortman szef torakochirurgii w Szpitalu Uniwersyteckim im. Jerzego Waszyngtona. "Pokazujemy to wideo, by ludzie zrozumieli, że nasze prośby o unikanie tłumów, izolację - mają sens. Ludzie muszą tę chorobę traktować serio" - dodaje lekarz.

Zobacz także:Koronawirus może przebiegać bezobjawowo. Dr Szczepan Cofta wyjaśnia, że możemy być nieświadomymi nosicielami (WIDEO)

Prof. Robert Mróz przypomina to, na co zwracają uwagę również inni specjaliści - najlepszą formą walki z koronawirusem jest przede wszystkim unikanie miejsc, w których możemy się zarazić. Lekarz zachęca też do częstego wietrzenia pomieszczeń, zdrowej diety i ruchu, które poprawią ogólną kondycję naszego organizmu.

Zobacz także: Koronawirus - jak się przenosi i jak możemy się chronić

Dołącz do nas! Na wydarzeniu na FB Wirtualna Polska - Wspieram Szpitale - wymiana potrzeb, informacji i darów będziemy na bieżąco informować, który szpital potrzebuje wsparcia i w jakiej formie. #WSPIERAM

Zapisz się na nasz specjalny newsletter o koronawirusie.

Treści w naszych serwisach służą celom informacyjno-edukacyjnym i nie zastępują konsultacji lekarskiej. Przed podjęciem decyzji zdrowotnych skonsultuj się ze specjalistą.

Wybrane dla Ciebie
Izba bez lekarza zamiast porodówki? MZ nie chce dopłacać do nierentownych oddziałów
Izba bez lekarza zamiast porodówki? MZ nie chce dopłacać do nierentownych oddziałów
Uważaj na tę rybę. GIS ostrzega przed alternatywą dla karpia
Uważaj na tę rybę. GIS ostrzega przed alternatywą dla karpia
Tysiące chorych bez finansowania z NFZ. Eksperci alarmują o niedoszacowanych kontraktach
Tysiące chorych bez finansowania z NFZ. Eksperci alarmują o niedoszacowanych kontraktach
Dla tych Polaków grypa jest szczególnie niebezpieczna. Rośnie ryzyko zawału
Dla tych Polaków grypa jest szczególnie niebezpieczna. Rośnie ryzyko zawału
Tak objawia się rak trzustki. Trzeba być niezwykle czujnym
Tak objawia się rak trzustki. Trzeba być niezwykle czujnym
Nie bierz tego leku. Może zagrażać życiu. Jest pilna reakcja GIF
Nie bierz tego leku. Może zagrażać życiu. Jest pilna reakcja GIF
Nowe zasady finansowania rezonansu i tomografii. Zmiany od 1 stycznia
Nowe zasady finansowania rezonansu i tomografii. Zmiany od 1 stycznia
Tu na karetkę czeka się najdłużej. GUS wskazuje, gdzie przekracza to nawet 20 minut
Tu na karetkę czeka się najdłużej. GUS wskazuje, gdzie przekracza to nawet 20 minut
Łatwo przekroczyć ten limit. ZUS może wtedy pobrać pieniądze z automatu
Łatwo przekroczyć ten limit. ZUS może wtedy pobrać pieniądze z automatu
Trzy promile na dyżurze. Lekarz z Poniatowej pod lupą prokuratury po interwencji policji
Trzy promile na dyżurze. Lekarz z Poniatowej pod lupą prokuratury po interwencji policji
Białko ratunkiem dla serca? Badacze sprawdzili, że może spowalniać niewydolność
Białko ratunkiem dla serca? Badacze sprawdzili, że może spowalniać niewydolność
Jednorazowa terapia może obniżać LDL i trójglicerydy. "To piękny nowy świat"
Jednorazowa terapia może obniżać LDL i trójglicerydy. "To piękny nowy świat"